相关产品推荐更多 >
万千商家帮你免费找货
0 人在求购买到急需产品
- 详细信息
- 文献和实验
- 技术资料
- 形态:
Liquit
- 保存条件:
-20℃
- 克隆性:
单克隆
- 适应物种:
Human,(predicted:Mouse,Rat,)
- 保质期:
1年
- 抗原来源:
peptiede
- 目录编号:
TDCIM-0170
- 级别:
科研级
- 库存:
88
- 供应商:
武汉天德
- 宿主:
鼠
- 浓度:
1mg/ml
- 抗体英文名:
Insulin
- 抗体名:
Insulin
- 规格:
1ml工作液

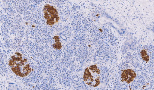
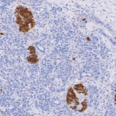
Insulin鼠抗人胰岛素单克隆抗体
Insulin是胰腺胰岛B细胞分泌的一种激素。能够促进糖原贮存,甘油三醋形成及蛋白与核酸合成。免疫细胞化学研究显示胰岛素存在于某些胰岛肿瘤细胞的胞质中。然而,在部分实例中胰岛素阳性颗粒稀少并且沿着细胞膜形成空白区
- 货号:TDCIM-0170
- 克隆号:2D11-H5
- 阳性部位:胞质
- 适用组织:石蜡切片
- 预处理:热修复
风险提示:丁香通仅作为第三方平台,为商家信息发布提供平台空间。用户咨询产品时请注意保护个人信息及财产安全,合理判断,谨慎选购商品,商家和用户对交易行为负责。对于医疗器械类产品,请先查证核实企业经营资质和医疗器械产品注册证情况。
文献和实验抗体使用小技巧_技术资料_丁香通 (biomart.cn)
R&D Systems 适用于神经细胞培养的无血清培养基添加剂
。 海马神经元表现出突触标记的可靠表达。e18大鼠海马神经元用添加了N21-MaX Media Supplement(目录号ar008)的培养基在体外培养21天。(a) 利用小鼠抗大鼠突触结合蛋白-1单克隆抗体(目录号MaB4364),以及Northernlights™ 557结合的驴抗小鼠igg二抗(目录号Nl007;黄色)对细胞染色,或(B) 利用小鼠抗人caM激酶iiα单克隆抗体(目录号MaB5584),接着用Northernlights™ 557结合的驴抗小鼠 igg二抗(目录号Nl
stem cell公司MACS产品主要技术有以下几类:一、EasySep® 磁性正选或负选细胞,不需柱子;二、StemSep® 磁性正负分选,需要柱子;三、RosetteSep® 免疫梯度离心分选,不需磁极,不需柱子;四、SpinSep®负选产品 。以下一一介绍。一、EasySep®磁性正选或负选细胞,不需柱子用于正、负选人或其它种类动物的细胞EasySep® 是一种新型而高效的免疫磁珠细胞分选技术,具有单克隆抗体的特异性和无分离柱磁性系统的简便性。靶细胞表面特异性的抗原抗体反应为富集细胞提供
性和效价比,因此不管是应用于科研还是预实验,都具有更好的目的性和指导性。艾美捷推荐各种不同规格及不同偶联标记的地高辛单克隆抗体产品如下: 小鼠抗地高辛Digoxin单克隆抗体 IgG Fraction Monoclonal Mouse Anti-Digoxin 产品详情
技术资料暂无技术资料 索取技术资料










