相关产品推荐更多 >
万千商家帮你免费找货
0 人在求购买到急需产品
- 详细信息
- 文献和实验
- 技术资料
- 形态:
Liquit
- 保存条件:
-20℃
- 克隆性:
单克隆
- 适应物种:
Human,(predicted:Mouse,Rat,)
- 保质期:
1年
- 抗原来源:
peptiede
- 目录编号:
TDCCM-0610
- 级别:
科研级
- 库存:
88
- 供应商:
武汉天德
- 宿主:
鼠
- 浓度:
1mg/ml
- 抗体英文名:
CD44 V6
- 抗体名:
CD44 V6
- 规格:
1ml工作液

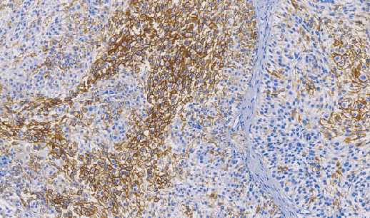
CD44 V6鼠抗人CD44变异体6单克隆抗体
CD44分子属于细胞粘附分子家族,广泛存在于上皮、间皮与造血组织的正常细胞和恶性细胞中。据报道,特异性细胞粘附分子CD44剪接变异体的表达与人某些恶性肿瘤转移有关,如乳腺癌。文献(Fox SB等人,曾经报道不同的肿瘤中CD变异体复杂类型表达与正常细胞中CD44表达的比较情况。在乳腺导管上皮起源的乳腺癌中观察到CD44变异体外显子呈高水平表达,在正常乳腺癌导管上皮中CD44不表达,相反,据报道在正常胃肠道上皮中许多CD44变异体呈低水平表达,它们发生的结肠癌呈低表达,而且CD44变异体呈现出不同水平的表达,呼吸道正常上皮细胞中CD44变异体呈高水平表达,在肺癌中这些上皮表达相同的变异体且表达水平相似。
- 货号:TDCCM-0610
- 克隆号:VFF-7
- 阳性部位:胞膜
- 适用组织:石蜡切片
- 预处理:热修复
风险提示:丁香通仅作为第三方平台,为商家信息发布提供平台空间。用户咨询产品时请注意保护个人信息及财产安全,合理判断,谨慎选购商品,商家和用户对交易行为负责。对于医疗器械类产品,请先查证核实企业经营资质和医疗器械产品注册证情况。
文献和实验抗体使用小技巧_技术资料_丁香通 (biomart.cn)
CD44变异体V6、V7/8在非小细胞肺癌中的表达及临床意义
马林固定,石蜡包埋,制成0.5μm的切片,以癌旁5 cm的正常肺组织作阴性对照。肺鳞、腺癌各38例,有淋巴结转移36例,转移淋巴结组织25例,病例中男性54例,女性22例,年龄33~72岁,平均年龄53岁。临床分期按UICC1997肺癌TNM分期标准。 1.2 实验用品 CD44 V 6 、CD44 V 7/8 鼠抗人单克隆抗体,HIGH-SABC免疫组化试剂盒(HIGH-SABC1081)及DAB显色剂均购自博士德生物工程有限公司。 1.3 实验方法 按HIGH
CD44/CD44R 分子 CD44 常用单克隆抗体或代号: GRHL1,Hermes,F10- 44- 2(Pgp- 1H- CAM,ECM- RⅢ) 主要表达细胞: Leu,上皮,Fb,RBC[AS] 分子质量(kDa)和结构: gp80- 95 功 能: 粘附ECM,T细胞活化,淋巴细胞归位受体,归位到HEV CD44R 常用单克隆抗体或代号: FM11,24
被抑制。 美国康奈提格州耶鲁大学医学院的PaulNoble和宾夕法尼亚州费城Wistar研 究所的EllenPure最近报告,在由博来霉素引发的肺损伤模型中,CD44缺失的老 鼠会伴随着受损部位中性粒细胞的凋亡和透明质酸残片清除过程的削弱而死于连 续不断的感染。研究人员推测CD44在由炎症到愈合的过程中起到了关键性的作用。 在肺炎模型中,CD44的缺失阻止了组织愈合,从而使动物死于失控的炎症。 与此同时,研究人员正在对缺乏某些CD44变异体的老鼠进行研究。在老鼠的 肠炎模型中
技术资料暂无技术资料 索取技术资料










