相关产品推荐更多 >
万千商家帮你免费找货
0 人在求购买到急需产品
- 详细信息
- 文献和实验
- 技术资料
- 形态:
Liquit
- 保存条件:
-20℃
- 克隆性:
单克隆
- 适应物种:
Human,(predicted:Mouse,Rat,)
- 保质期:
1年
- 抗原来源:
peptiede
- 目录编号:
TDCER-0032
- 级别:
科研级
- 库存:
88
- 供应商:
武汉天德
- 宿主:
兔
- 浓度:
1mg/ml
- 抗体英文名:
Epidermal Growth Factor ReCEptor(EGFR)
- 抗体名:
Epidermal Growth Factor ReCEptor(EGFR)
- 规格:
1ml工作液

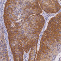
EpidermalGrowth Factor Receptor(EGFR)兔抗人表皮生长因子受体单克隆抗体
表皮生长因子受体是ErbB家族的一员,ErbB家族由四个密切相关的四种受体酪氨酸激酶亚基组成,包含EGFR、HFR-2neu、HER-3和HER-4。EGFR主要应用于各种肿瘤的研究,其过度表达与很多肿瘤的发生发展相关,恶性上皮性肿瘤如EGFR过度表达,预示着其预后差,乳腺癌预示其生存期短、激素疗效差。
- 货号:TDCER-0032
- 克隆号:EP22
- 阳性部位:胞膜
- 适用组织:石蜡组织
- 预处理:热修复
风险提示:丁香通仅作为第三方平台,为商家信息发布提供平台空间。用户咨询产品时请注意保护个人信息及财产安全,合理判断,谨慎选购商品,商家和用户对交易行为负责。对于医疗器械类产品,请先查证核实企业经营资质和医疗器械产品注册证情况。
文献和实验抗体使用小技巧_技术资料_丁香通 (biomart.cn)
人表皮生长因子受体2(Her2) 酶联免疫 分析( ELISA ) 试剂 盒使用说明书 本试剂仅供研究使用 目的:本试剂盒用于测定人血清,血浆及相关液体样本中 表皮生长因子受体2(Her2) 的 含量。 实验原理 : 本试剂盒应用双抗体夹心法测定 标本 中 人 表皮生长因子受体2 ( Her2 ) 水平。用纯化的 人 表皮生长因子受体2 ( Her2 ) 抗体包被微孔板,制成固相抗体,往包被单抗的微孔中依次加入 表皮
人表皮生长因子受体 ( EGF R )ELISA 试剂盒 ( 用于血清、血浆、细胞培养上清液和其它生物体液内 ) 原理 本实验采用双抗体夹心 ABC-ELISA 法。用抗人 EGF R 单抗包被于酶标板上,标准品和样品中的 EGF R与单抗结合,加入生物素化的抗人 EGF R ,形成免疫复合物连接在板上,辣根过氧化物酶标记的 Streptavidin 与生物素结合,加入底物工作液显蓝色,最后
批次间稳定一致 重组抗体源于一段只编码一种重链和轻链的DNA序列,从而确保抗体的超高纯度。标准化的培养条件下,由哺乳动物细胞表达,保证了抗体质量的批次间稳定性。 图1:对抗体进行质谱分析,数据表明:REAfinity抗体纯度非常高,而杂交瘤来源的抗体是一种混合物。(A)对两个杂交瘤来源的单克隆抗体样本进行质谱分析,可以看出,它们都含有一条分子量接近23,635Da的污染轻链。(B)两个REAfinity抗体样本的质谱分析结果显示,其含有极高纯度的轻链。 通用型同型
技术资料暂无技术资料 索取技术资料










