相关产品推荐更多 >
万千商家帮你免费找货
0 人在求购买到急需产品
- 详细信息
- 文献和实验
- 技术资料
- 形态:
Liquit
- 保存条件:
-20℃
- 克隆性:
单克隆
- 适应物种:
Human,(predicted:Mouse,Rat,)
- 保质期:
1年
- 抗原来源:
peptiede
- 目录编号:
TDCCM-0662
- 级别:
科研级
- 库存:
88
- 供应商:
武汉天德
- 宿主:
鼠
- 浓度:
1mg/ml
- 抗体英文名:
CD56 (NCAM) SCLC
- 抗体名:
CD56 (NCAM) SCLC
- 规格:
1ml工作液

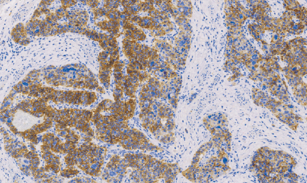
CD56(NCAM)SCLC鼠抗人CD56单克隆抗体
CD56属于细胞表面糖蛋白,是一种神经细胞黏附分子,也是NK细胞的标志物。在胚胎发生发育以及神经细胞的相互联系中发挥重要的作用。CD56在癌症侵袭性研究过过程当中也具有重要的意义。其主要表达于神经元、星形细胞、施万细胞、NK细胞和小部分活化的T淋巴细胞。
- 货号:TDCCM-0662
- 克隆号:C5A2
- 阳性部位:胞膜
- 适用组织:石蜡切片
- 预处理:热修复
风险提示:丁香通仅作为第三方平台,为商家信息发布提供平台空间。用户咨询产品时请注意保护个人信息及财产安全,合理判断,谨慎选购商品,商家和用户对交易行为负责。对于医疗器械类产品,请先查证核实企业经营资质和医疗器械产品注册证情况。
文献和实验抗体使用小技巧_技术资料_丁香通 (biomart.cn)
步:选择抗体 在弹出的界面中列出了所有已选抗原可选的荧光素种类,并且在每一个通道内仅可选择一个抗原。 点击其中一种抗原与荧光素搭配,即可查看可供选择的所有货号信息,这里以抗CD56抗体偶联PE为例,在跳出的窗口中可以对比可选货号的信息,这里建议选择克隆号以REA开头的REAfinityTM重组抗体,比传统的单克隆抗体有更高的特异性和可重复性,点击select即可将选择保存至配色方案中。 依次在每个通道中选择需要的抗体即可完成配色。再次点击右上方的Continue,即可得到一份可以下载保存
于细胞阳选,也能用于细胞阴选中。 为了评估 Strep-Tactin®TACS 琼脂糖柱细胞阴选的效率,实验从外周血单个核细胞(PBMC)样品中富集了 CD3- CD56+自然杀伤细胞(NK)。材料为Strep-Tactin®TACS 琼脂糖柱以及生物素化的抗体,仅 10 分钟,便完成了细胞阴选(图 1)。 流程如下: 阴选流程:生物素化抗体与 PBMC 孵育标记非目的细胞,加入至亲和层析柱后,即可收集目的细胞 实验方案 CD3- CD56+ NK 的细胞阴选 · 将 1 x
一、材料与试剂 1. 抗体 (1)鼠抗人CD56FITC(BD,340410) (2)鼠抗人CD2FITC(BD555326) (3)鼠抗人CD19FITC(555412) (4)鼠抗人CD14PerCP(Invitrogen,MHCD1431) (5)鼠抗人CD16PacBlue(BD,558122) (6)鼠抗人HLA-DRAPC-Cy7(BioLegend,307617) 2. 其他材料 (1)带K3
技术资料暂无技术资料 索取技术资料









