相关产品推荐更多 >
万千商家帮你免费找货
0 人在求购买到急需产品
- 详细信息
- 文献和实验
- 技术资料
- 形态:
Liquit
- 保存条件:
-20℃
- 克隆性:
单克隆
- 适应物种:
Human,(predicted:Mouse,Rat,)
- 保质期:
1年
- 抗原来源:
peptiede
- 目录编号:
TDCCM-0213
- 级别:
科研级
- 库存:
88
- 供应商:
武汉天德
- 宿主:
鼠
- 浓度:
1mg/ml
- 抗体英文名:
CAlponin
- 抗体名:
CAlponin
- 规格:
1ml工作液

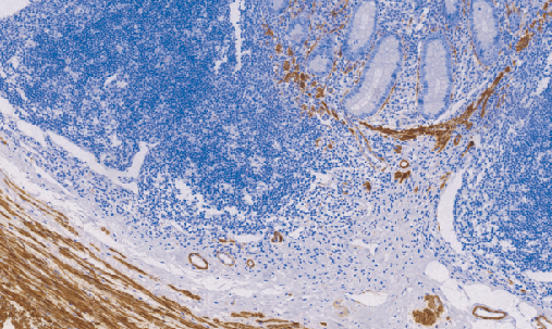
Calponin 鼠抗人钙调节蛋白单克隆抗体
Calponin是结合肌球蛋白和F-肌动蛋白的一种钙调蛋白,与平滑肌细胞收缩和调节有关。为平滑肌特异性蛋白,表达于平滑肌及肌上皮细胞胞质。用于标记乳腺肌上皮及平滑肌细胞肿瘤。肌纤维母细胞也可阳性。
- 货号:TDCCM-0213
- 克隆号:C6A12
- 阳性部位:胞质
- 适用组织:石蜡切片
- 预处理:热修复
风险提示:丁香通仅作为第三方平台,为商家信息发布提供平台空间。用户咨询产品时请注意保护个人信息及财产安全,合理判断,谨慎选购商品,商家和用户对交易行为负责。对于医疗器械类产品,请先查证核实企业经营资质和医疗器械产品注册证情况。
文献和实验抗体/补体介导的特异性细胞毒作用分离法分离T细胞亚群 人T淋巴细胞按其表面标志分为CD4+ T和CD8+ T细胞两类,其细胞膜上分别有CD4和CD8分子,当它们与相应的鼠抗人单克隆抗体结合后,在补体的参与下,可溶解相应的T细胞亚群,从而分离出另一种细胞亚群。 【试剂及配制】 (1) 聚蔗糖-泛影葡胺分层液(D=1.077±0.001)。 (2) Hank’s液(内含5%小牛血清和1.0g/L叠氮钠)。
肌肉的主要调节蛋白质。由3种成分( TN- C, TN- I, TN- T)所组成的复合蛋白质。在 I细丝( filament)上以 40毫微米周期与原肌球蛋白结合,直接参与钙所控制的肌肉收缩。它占肌原纤维蛋白的 5%。钙从肌质网( sarcoplasmic reticulum)释放出来,与肌钙蛋白结合而结构发生改变,于是被抑制的肌动蛋白和肌球蛋白相互作用开始,而肌肉发生收缩。如果钙被除去,肌钙蛋白恢复原来状态,肌肉便发生松弛。 TN- C(肌钙蛋白 C)分子量为 1万 8千
萧湘 最近写论文,是关于GRPs和BAPTA的。哪位高人有关于BAPTA作用机制或与GRPs关系的图片,请赐教!急需!谢谢!(可以邮件形式发到我的邮箱:jiang-scorpio@163.com) kaige88 BAPTA是由Tsien博士发明的一种钙选择性螯合剂。(logKCa=6.97,logKMg=1.77)它基本的螯合单位和EDTA类似,只是两个脂肪氮被芳香氮所替代。因此,BAPTA在生理pH下不会被质子
技术资料暂无技术资料 索取技术资料










