万千商家帮你免费找货
0 人在求购买到急需产品
- 详细信息
- 文献和实验
- 技术资料
- 形态:
Liquit
- 保存条件:
-20℃
- 克隆性:
单克隆
- 适应物种:
Human,(predicted:Mouse,Rat,)
- 保质期:
1年
- 抗原来源:
peptiede
- 目录编号:
TDCBR-0051
- 级别:
科研级
- 库存:
88
- 供应商:
武汉天德
- 宿主:
兔
- 浓度:
1mg/ml
- 抗体英文名:
Bcl-6 oncoprotein
- 抗体名:
Bcl-6 oncoprotein
- 规格:
1ml工作液

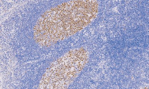
Bcl-6 免抗人Bcl-6癌基因蛋白单克隆抗体
Bcl-6主要表达于正常生发中心B细胞和相关的淋巴瘤,在滤泡性淋巴瘤、部分弥漫性大B细胞淋巴瘤、Burkitt淋巴瘤、一些间变性大细胞淋巴瘤、滤泡中心T细胞淋巴瘤以及淋巴细胞为主型霍奇金淋巴瘤呈胞核阳性表达。和CD10联用可用于惰性淋巴瘤和其他淋巴瘤的鉴别。
- 货号:TDCBR-0051
- 克隆号:EP278
- 阳性部位:胞核
- 适用组织:石蜡切片/冰冻切片
- 预处理:热修复
风险提示:丁香通仅作为第三方平台,为商家信息发布提供平台空间。用户咨询产品时请注意保护个人信息及财产安全,合理判断,谨慎选购商品,商家和用户对交易行为负责。对于医疗器械类产品,请先查证核实企业经营资质和医疗器械产品注册证情况。
文献和实验抗体使用小技巧_技术资料_丁香通 (biomart.cn)
于流式细胞仪检测。如在细胞周期研究中,根据DNA荧光染料(如PI)与细胞DNA双链的结合有一定量效关系,即DNA含量的多少与PI结合量成正比,因此,通过荧光强度可以反映细胞内DNA含量。 在免疫学中,运用流式细胞术与单克隆抗体结合,在免疫分型、细胞分选、肿瘤细胞免疫监视、机体免疫状态监测、免疫细胞的系统发生及特性研究等方面均起着极为重要的作用。 在肿瘤学中,利用流式细胞术除了进行细胞周期和DNA倍体分析外,还可定量分析检测细胞增殖标志物、细胞表面标志、癌基因蛋白产物、耐药蛋白及细胞
时受激光发出特定波长的荧光,通过一定波长选择通透性的滤色片,我们可将不同波长的散射光、荧光信号区分开来,并送到不同的光电倍增管中,经过一系列的信号转换、放大,数字化处理,我们就可以在计算机直观的统计染上各种荧光染料的细胞各自的百分率。选择不同的单克隆抗体及荧光染料,我们可以利用FC同时测定一个细胞上的多种不同特征;如果对具有某种特征的细胞有兴趣,我们还可以利用流式的分选功能将其分选出来,以便进一步培养、研究。3、意义:FCM与单克隆抗体结合,可对细胞表面和细胞内抗原、癌基因蛋白及膜受体进行定量
光,通过一定波长选择通透性的滤色片,我们可将不同波长的散射光、荧光信号区分开来,并送到不同的光电倍增管中,经过一系列的信号转换、放大,数字化处理,我们就可以在计算机直观的统计染上各种荧光染料的细胞各自的百分率。选择不同的单克隆抗体及荧光染料,我们可以利用FC同时测定一个细胞上的多种不同特征;如果对具有某种特征的细胞有兴趣,我们还可以利用流式的分选功能将其分选出来,以便进一步培养、研究。3、意义:FCM与单克隆抗体结合,可对细胞表面和细胞内抗原、癌基因蛋白及膜受体进行定量检测,成为临床检验与研究的重要指标
技术资料暂无技术资料 索取技术资料









