相关产品推荐更多 >
万千商家帮你免费找货
0 人在求购买到急需产品
- 详细信息
- 文献和实验
- 技术资料
- 形态:
Liquit
- 保存条件:
-20℃
- 克隆性:
单克隆
- 适应物种:
Human,(predicted:Mouse,Rat,)
- 保质期:
1年
- 抗原来源:
peptiede
- 目录编号:
TDCEM-0081
- 级别:
科研级
- 库存:
88
- 供应商:
武汉天德
- 宿主:
鼠
- 浓度:
1mg/ml
- 抗体英文名:
Estrogen ReCEptor (ER)
- 抗体名:
Estrogen ReCEptor (ER)
- 规格:
1ml工作液

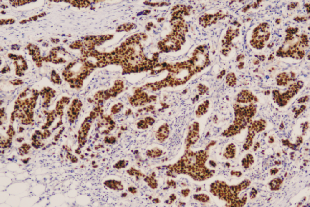
Estrogen Receptor(ER)鼠抗人雌激素受体单克隆抗体
ER受体存在于正常子宫的内膜层、肌层细胞、正常乳腺的上皮细胞和部分(约50-60%乳癌患者)乳腺癌细胞。研究表明,ER阳性的乳癌病人对激素治疗有效,且预后好于ER阴性组。因此,ER、PR和C-erbB- 2共同用于指导患者治疗。
- 货号:TDCEM-0081
- 克隆号:C6H7
- 阳性部位:胞核
- 适用组织:石蜡切片
- 预处理:热修复
风险提示:丁香通仅作为第三方平台,为商家信息发布提供平台空间。用户咨询产品时请注意保护个人信息及财产安全,合理判断,谨慎选购商品,商家和用户对交易行为负责。对于医疗器械类产品,请先查证核实企业经营资质和医疗器械产品注册证情况。
文献和实验抗体使用小技巧_技术资料_丁香通 (biomart.cn)
通过免疫组化的方法分析侵袭性乳腺癌中 GD2 表达的临床和病理相关性
来自纽约癌症中心的学者,对 396 例乳腺癌组织免疫组化染色 GD2 靶点,其结果与临床病理特征、生存结果进行相关性分析,结果支持 GD2 可以作为潜在治疗靶点。 双唾液酸神经节苷脂 GD2 是一种细胞表面相关抗原,在神经外胚层来源的肿瘤上表达,可作为某些癌症类型的免疫治疗靶点。但目前关于乳腺癌和 GD2 表达相关性的研究资料较少,来自纽约癌症中心的学者们研究了 GD2 作为潜在靶向治疗中生物标志物的可能性。研究团队收集了 396 例不同组织学类型的乳腺癌组织,用抗 GD2 3F8 单克隆抗体
免疫组织化学是一种什么方法? 免疫组织化学方法是一种把分子水平的物质准确具体表达出来的一种方法,这些分子水平的物质可能与癌细胞,细菌,病毒等等有关。自从成功地制作出这些特异性的抗体,使组织结构可以从分子水平中显示出来,这些特异性抗体可以与肿瘤细胞中特定的结构结合,这些抗体被称为单克隆抗体。把这些单克隆抗体孵育在组织切片上,与特定的靶细胞进行特异的反应。如单克隆抗体可以与癌细胞发生特异性反应,单克隆抗体可以从特定的肿瘤病人血细胞中获得。在组织
抗体/补体介导的特异性细胞毒作用分离法分离T细胞亚群 人T淋巴细胞按其表面标志分为CD4+ T和CD8+ T细胞两类,其细胞膜上分别有CD4和CD8分子,当它们与相应的鼠抗人单克隆抗体结合后,在补体的参与下,可溶解相应的T细胞亚群,从而分离出另一种细胞亚群。 【试剂及配制】 (1) 聚蔗糖-泛影葡胺分层液(D=1.077±0.001)。 (2) Hank’s液(内含5%小牛血清和1.0g/L叠氮钠)。
技术资料暂无技术资料 索取技术资料










