相关产品推荐更多 >
万千商家帮你免费找货
0 人在求购买到急需产品
- 详细信息
- 文献和实验
- 技术资料
- 形态:
Liquit
- 保存条件:
-20℃
- 克隆性:
单克隆
- 适应物种:
Human,(predicted:Mouse,Rat,)
- 保质期:
1年
- 抗原来源:
peptiede
- 目录编号:
TDCSM-0270
- 级别:
科研级
- 库存:
88
- 供应商:
武汉天德
- 宿主:
鼠
- 浓度:
1mg/ml
- 抗体英文名:
SDHB
- 抗体名:
SDHB
- 规格:
1ml工作液

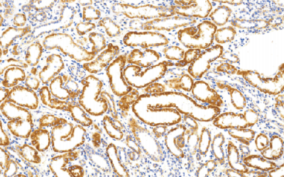
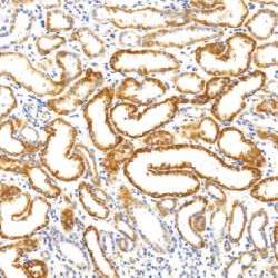
SDHB鼠抗人琥珀酸脱氢酶复合体亚基B单克隆抗体
在有氧呼吸反应中,琥珀酸脱氢酶分别催化琥珀酸和泛醒转化为延胡索酸酷和泛醇。SDH蛋白质由四种亚基构成,分别为: 黄色素亚基(SDHA)、铁硫蛋白(SDHB)以及两个与膜结合的亚基(SDHC和SDHD)。这些亚基突变会引起线粒体的不同功能障碍。
- 货号:TDCSM-0270
- 克隆号:21A11AE7
- 阳性部位:胞膜
- 适用组织:石蜡切片
- 预处理:热修复
风险提示:丁香通仅作为第三方平台,为商家信息发布提供平台空间。用户咨询产品时请注意保护个人信息及财产安全,合理判断,谨慎选购商品,商家和用户对交易行为负责。对于医疗器械类产品,请先查证核实企业经营资质和医疗器械产品注册证情况。
文献和实验该产品被引用文献
抗体使用小技巧_技术资料_丁香通 (biomart.cn)
技术资料暂无技术资料 索取技术资料
文献支持
鼠抗人琥珀酸脱氢酶复合体亚基B单克隆抗体 TDCSM-0270
询价









