相关产品推荐更多 >
万千商家帮你免费找货
0 人在求购买到急需产品
- 详细信息
- 文献和实验
- 技术资料
- 形态:
Liquit
- 保存条件:
-20℃
- 克隆性:
单克隆
- 适应物种:
Human,(predicted:Mouse,Rat,)
- 保质期:
1年
- 抗原来源:
peptiede
- 目录编号:
TDCCM-1113
- 级别:
科研级
- 库存:
88
- 供应商:
武汉天德
- 宿主:
鼠
- 浓度:
1mg/ml
- 抗体英文名:
Cytokeratin 20 CK20
- 抗体名:
Cytokeratin 20 CK20
- 规格:
1ml工作液

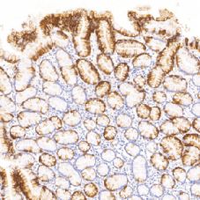
Cytokeratin 20(CK20)鼠抗人细胞角蛋白20单克隆抗体
CK20是分子量为46KD的细胞角蛋白,在正常的胃肠道上皮Merkel细胞、尿道上皮中均呈现染色阳性。主要用于胃肠道腺癌Merkel细胞癌、卵巢粘液性肿瘤的诊断,CK20多与CK7联合检测用于确定癌的原发部位。
- 货号:TDCCM-1113
- 克隆号:C7C11
- 阳性部位:胞质
- 适用组织:石蜡切片
- 预处理:热修复
风险提示:丁香通仅作为第三方平台,为商家信息发布提供平台空间。用户咨询产品时请注意保护个人信息及财产安全,合理判断,谨慎选购商品,商家和用户对交易行为负责。对于医疗器械类产品,请先查证核实企业经营资质和医疗器械产品注册证情况。
文献和实验抗体使用小技巧_技术资料_丁香通 (biomart.cn)
取引产胎儿肾,无菌操作,1小时内完成。2用生理盐水冲洗干净。取肾皮质,用小外科剪剪成碎麽。依次研磨过80目,100目,200目筛网,不断用生理盐水冲洗,最后在200目筛网上收集肾小球,先用0。4%的胶原酶四消化半小时,接种于50ML的培养瓶里,加含有20%小牛血清的DMEM培养基放二氧化碳培养箱培养。三天后可在倒置镜下观察见有细胞贴壁生长。一周后换液一次,以后约三到四天就能长满瓶底。此时可常规传代,到第三代时,基本上生长的全是肾小球系膜细胞了,这时要进鉴定了,方法包括:常规HE染色,细胞
Nature 综述导读:FDA 批准第 100 个抗体药物!抗体药物的研究方向在哪里?
Nature Reviews Drug Discovery 20, 10 (2021)单克隆抗体 (mAbs) 由 B 细胞产生,特异性靶向抗原。该产品能够得以大量生产制备归功于 Köhler 和 Milstein 于 1975 年发明的杂交瘤技术,该技术极大地提高了基础研究和临床应用的潜力,利用该技术,Schlossman 和他的合作者鉴定出一种针对特殊 T 细胞抗原的单克隆抗体 - OKT3,它针对的抗原便是 CD3。1981 年,他们在临床测试 OKT3 作为预防移植排斥的免疫抑制剂。1986 年
上皮、前列腺上皮等。细胞角蛋白包括颌下腺,胰腺,胸腺,细胞,肝细胞,肾小管细胞等。目前,应用上述细胞中间丝角蛋白作为抗原所制备的抗体有单克隆抗体和多克隆抗体。角蛋白可有19个亚型 ,分为碱性和酸性,从1-8为碱性,9-19为酸性,分子量40-68不等,复层鳞上皮多为高分子量,单层上皮则多为低分子量,了解这些在临床的鉴别诊断及抗体的应用中都 有极大的帮助。目前,检测这类特质的抗体很多,根据不同的克隆生产出不周类型的抗体。常用的抗体有: ①单克隆小鼠抗人细胞角蛋白(Monoclonal
技术资料暂无技术资料 索取技术资料










