相关产品推荐更多 >
万千商家帮你免费找货
0 人在求购买到急需产品
- 详细信息
- 文献和实验
- 技术资料
- 形态:
Liquit
- 保存条件:
-20℃
- 克隆性:
单克隆
- 适应物种:
Human,(predicted:Mouse,Rat,)
- 保质期:
1年
- 抗原来源:
peptiede
- 目录编号:
TDCSM-0270
- 级别:
科研级
- 库存:
88
- 供应商:
武汉天德
- 宿主:
鼠
- 浓度:
1mg/ml
- 抗体英文名:
SDHB
- 抗体名:
SDHB
- 规格:
1ml工作液

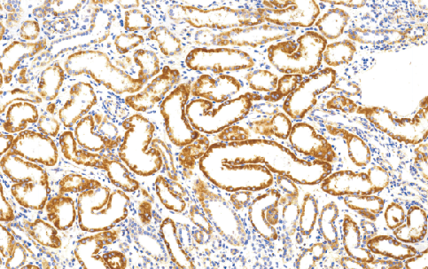
SDHB鼠抗人琥珀酸脱氢酶复合体亚基B单克隆抗体
在有氧呼吸反应中,琥珀酸脱氢酶分别催化琥珀酸和泛醒转化为延胡索酸酷和泛醇。SDH蛋白质由四种亚基构成,分别为: 黄色素亚基(SDHA)、铁硫蛋白(SDHB)以及两个与膜结合的亚基(SDHC和SDHD)。这些亚基突变会引起线粒体的不同功能障碍。
- 货号:TDCSM-0270
- 克隆号:21A11AE7
- 阳性部位:胞膜
- 适用组织:石蜡切片
- 预处理:热修复
风险提示:丁香通仅作为第三方平台,为商家信息发布提供平台空间。用户咨询产品时请注意保护个人信息及财产安全,合理判断,谨慎选购商品,商家和用户对交易行为负责。对于医疗器械类产品,请先查证核实企业经营资质和医疗器械产品注册证情况。
文献和实验多亚基的蛋白复合体。它由聚光色素复合体Ⅱ、中心天线、反应中心、放氧复合体、细胞色素和多种辅助因子组成。PSⅡ的聚光色素复合体(PSⅡ light harvesting pigment complex,LHCⅡ),因离反应中心远而称“远侧天线”。LHCⅡ除具有吸收、传递光能的作用外,还具有耗散过多激发能,保护光合器免受强光破坏的作用。另外,LHCⅡ磷酸化后,可在类囊体膜上移动,从堆叠的基粒(富含PSⅡ)区域横向移动至非堆叠的基质(富含PSⅠ)区域,并成为PSⅠ的聚光色素系统,扩大了PSⅠ的捕光
效用的时期,在基因调控方面有着重要意义。 转录延长促进因子b(P-TEFb)是一个帮助RNAPII转录复合物从停顿位点释放的具有激酶活性的重要辅助因子。通常情况下,P-TEFb被束缚于7SK snRNP复合体以中一种非活化状态存在,当其解离出来时才能激活转录。现在已经证实了7SK snRNP复合体的组成元件SRSF2(SR剪接因子)积聚在了基因的启动子上,在转录停顿释放中发挥了直接的作用。通过 SRSF2结合转录起始位点附近的新生RNA,SRSF2以一种RNA依赖性的方式,介导了P-TEFb
1 个关键药物,实现小鼠全能干细胞体外捕获和长期维持,北大杜鹏 Cell 报道新技术
背景介绍 干细胞研究与再生医学、辅助生殖、癌症、代谢紊乱和衰老有着广泛的联系,其中,在体外捕获和维持具有高分化潜能的胚胎干细胞 (ESCs) 是进行干细胞相关研究的基础。目前,体外培养的 ESCs 通常来自于内细胞团,能够分化为成年生物体的任何细胞类型,具有最高的发育潜能。但是到目前为止,在体外捕获和维持与体内全能卵裂球分子和功能相似的全能干细胞仍然是领域内的难题。 剪接体是由 5 个核心亚基和若干辅助因子组成的大分子核糖核蛋白复合体,是信使 RNA (mRNA) 剪接和成熟的动态分子机器
技术资料暂无技术资料 索取技术资料










