相关产品推荐更多 >
万千商家帮你免费找货
0 人在求购买到急需产品
- 详细信息
- 文献和实验
- 技术资料
- 免疫原:
Human recombinant FABP1 protein fragment (around aa1-127)
- 亚型:
IgG2b
- 形态:
Liquid
- 保存条件:
Store as concentrated solution. Centrifuge briefly prior to opening vial. For short-term storage (1-2 weeks), store at 4ºC. For long-term storage, aliquot and store at -20ºC or below. Avoid multiple freeze-thaw cycles.
- 克隆性:
Monoclonal
- 标记物:
Unconjugated
- 保质期:
12 months from the shipping date of the product.
- 抗原来源:
Human
- 目录编号:
GTX04448
- 级别:
Primary Antibodies
- 库存:
Available
- 供应商:
GeneTex
- 宿主:
Mouse
- 应用范围:
IHC-P
- 浓度:
0.2 mg/ml (Please refer to the vial label for the specific concentration.)
- 抗体英文名:
L-FABP antibody [MSVA-501M] HistoMAX
- 抗体名:
L-FABP 抗体 [MSVA-501M] HistoMAX
- 规格:
500 μl
IHC-P analysis of human endometrium tissue section using GTX04448 L-FABP antibody [MSVA-501M] HistoMAX.
In the kidney L-FABP immunostaining preferentially occurs in proximal tubuli.
IHC-P analysis of human liver tissue section using GTX04448 L-FABP antibody [MSVA-501M] HistoMAX.
Strong L-FABP immunostaining of hepatocytes. Due to very high levels of L-FABP protein in these epithelia staining of adjacent tissues can occur contamination artifact.
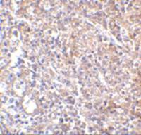
IHC-P analysis of human hepatocellular carcinoma tissue section using GTX04448 L-FABP antibody [MSVA-501M] HistoMAX.
Hepatocellular carcinoma with strong L-FABP immunostaining of 95% of tumor cells.
风险提示:丁香通仅作为第三方平台,为商家信息发布提供平台空间。用户咨询产品时请注意保护个人信息及财产安全,合理判断,谨慎选购商品,商家和用户对交易行为负责。对于医疗器械类产品,请先查证核实企业经营资质和医疗器械产品注册证情况。
文献和实验人肝脏型脂肪酸结合蛋白(L-FABP)ELISA试剂盒 说明书
上海西唐生物科技有限公司 021-55229872, 65333639 www.westang.com 人肝脏型脂肪酸结合蛋白 (L-FABP)ELISA 试剂盒 ( 用于血清、血浆、细胞培养上清液和其它生物体液内 ) 原理 本实验采用双抗体夹心 ABC-ELISA 法。用抗人 L-FABP 单抗包被于酶标板上,标准品和样品中的 L-FABP与单抗结合,加入生物
, which was detectable after 3 min of clivorine treatment. The results from the same membrane reprobed with total-p38 antibody demonstrated that the total amount of p38 MAP Kinase in L-02 cells was not changed. We also tested the effect of another pyrrolizidine alkaloid
monoclonal antibody production fusion
), 3 L, 0.22 (or 0.45) µm-filtered, store at -20ѓC = Asp-Arg x100, 1 L + Gluta x 50, 2 L + mercaptoethanol, 350 µl Asp-Arg x100, 1 L, pH 6.0 = L-Asparagine, 3.6 g (0.24 mM) + L-Arginine (0.55 mM), 11.6 g + HCl, 0.5N, 100 ml -> heat to 37ѓC
技术资料暂无技术资料 索取技术资料





![Cyclophilin E antibody [AT17E8]](https://img1.dxycdn.com/2022/0328/192/3430167378450800453-14.jpg!wh200)



![SQSTM1 / P62 antibody [N3C1], Internal](https://img1.dxycdn.com/2022/0328/310/2731023000189700453-14.jpg!wh200)

