相关产品推荐更多 >
万千商家帮你免费找货
0 人在求购买到急需产品
- 详细信息
- 文献和实验
- 技术资料
- 免疫原:
Recombinant human MCM3 fragment
- 亚型:
IgG1
- 形态:
Liquid
- 保存条件:
Store as concentrated solution. Centrifuge briefly prior to opening vial. For short-term storage (1-2 weeks), store at 4ºC. For long-term storage, aliquot and store at -20ºC or below. Avoid multiple freeze-thaw cycles.
- 克隆性:
Monoclonal
- 标记物:
Unconjugated
- 保质期:
12 months from the shipping date of the product.
- 抗原来源:
Human
- 目录编号:
GTX04424
- 级别:
Primary Antibodies
- 库存:
Available
- 供应商:
GeneTex
- 宿主:
Mouse
- 应用范围:
IHC-P
- 浓度:
0.2 mg/ml (Please refer to the vial label for the specific concentration.)
- 抗体英文名:
MCM3 antibody [MSVA-503M] HistoMAX
- 抗体名:
MCM3 抗体 [MSVA-503M] HistoMAX
- 规格:
500 μl
IHC-P analysis of human duodenal crypt cells using GTX04424 MCM3 antibody [MSVA-503M] HistoMAX.
A strong MCM3 immunostaining occurs in duodenal crypt cells.
IHC-P analysis of human esophageal squamous epithelium tissue section using GTX04424 MCM3 antibody [MSVA-503M] HistoMAX.
Esophageal squamous epithelium with moderate to strong nuclear MCM3 staining of suprabasal and basal cells.
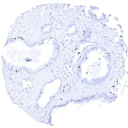
IHC-P analysis of human prostatic adenocarcinoma tissue section using GTX04424 MCM3 antibody [MSVA-503M] HistoMAX.
Prostatic adenocarcinoma (Gleason 336) with strong MCM3 positivity of few tumor cells.
风险提示:丁香通仅作为第三方平台,为商家信息发布提供平台空间。用户咨询产品时请注意保护个人信息及财产安全,合理判断,谨慎选购商品,商家和用户对交易行为负责。对于医疗器械类产品,请先查证核实企业经营资质和医疗器械产品注册证情况。
文献和实验祝贺〖雅裕睿安〗成为Signalway Antibody(SAB)独家
货号T501,产品描述:HA-Tag Rabbit Polyclonal Antibody;规格 50 ul / 100 ul; 货号T503,产品描述:Anti-DYKDDDDK Polyclonal Antibody;规格 50 ul / 100 ul; 货号T504,产品描述:Myc-Tag Mouse Monoclonal Antibody;规格 50 ul / 100 ul; 货号
Silver Enhancement of Colloidal Gold
separately in a freezer. Incubation time for 1-nm gold is about 20 min, for Nanogold about 25 min (20 - 22°C). Silver lactate (Lah et al., 1990) As above, replace citrate buffer by 0.2 M HEPES buffer, pH 6.8. Incubation time ~3 min
Studies of the Ubiquitin Proteasome System
phosphatase inhibitors and 50 µM MG132 (or lactacystin) Anti‐E3 or anti‐substrate antibody Nondenaturing Triton X‐100 wash buffer (see recipe ) Tris‐buffered saline (TBS
技术资料暂无技术资料 索取技术资料









![Bcl-2 antibody [BCL2/1878R]](https://img1.dxycdn.com/2022/0328/611/0562379386303700453-14.jpg!wh200)

