相关产品推荐更多 >
万千商家帮你免费找货
0 人在求购买到急需产品
- 详细信息
- 文献和实验
- 技术资料
- 免疫原:
A recombinant fragment (around aa 2-466) of human Vimentin protein
- 亚型:
IgG
- 形态:
Liquid
- 保存条件:
Store as concentrated solution. Centrifuge briefly prior to opening vial. For short-term storage (1-2 weeks), store at 4ºC. For long-term storage, aliquot and store at -20ºC or below. Avoid multiple freeze-thaw cycles.
- 克隆性:
Monoclonal
- 标记物:
Unconjugated
- 保质期:
12 months from the shipping date of the product.
- 抗原来源:
Human
- 目录编号:
GTX04418
- 级别:
Primary Antibodies
- 库存:
Available
- 供应商:
GeneTex
- 宿主:
Rabbit
- 应用范围:
IHC-P
- 浓度:
0.2 mg/ml (Please refer to the vial label for the specific concentration.)
- 抗体英文名:
Vimentin antibody [MSVA-458R] HistoMAX
- 抗体名:
Vimentin 抗体 [MSVA-458R] HistoMAX
- 规格:
500 μl
IHC-P analysis of human duodenum mucosa tissue section using GTX04418 Vimentin antibody [MSVA-458R] HistoMAX.
IHC-P analysis of human endometrium tissue section using GTX04418 Vimentin antibody [MSVA-458R] HistoMAX.
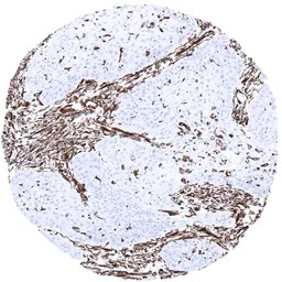
IHC-P analysis of human squamous cell carcinoma tissue section using GTX04418 Vimentin antibody [MSVA-458R] HistoMAX.
Strong vimentin positivity of the tumor stroma in a squamous cell carcinoma.
风险提示:丁香通仅作为第三方平台,为商家信息发布提供平台空间。用户咨询产品时请注意保护个人信息及财产安全,合理判断,谨慎选购商品,商家和用户对交易行为负责。对于医疗器械类产品,请先查证核实企业经营资质和医疗器械产品注册证情况。
文献和实验secondary antibody review -- data from 99 publications
cytometry used as a control to detect cell responses targeted antigen 7 Alexa Fluor 488 7 Cy3 8 goat IgG Alexa Fluor 488 1:2000 detect antibody binding in human embryonic kidney 293T cells Invitrogen 9 donkey
v468. chapter 4 WNT 细胞通路 检测细胞GSK3活性与表达水平
1 selectively inhibits the GSK3-catalysedphosphorylation of axin and beta-catenin. FEBS Lett. 458, 247–251. 10. Ding, V. W., Chen, R. H., and McCormick, F. (2000) Differential regulation of glycogensynthase kinase 3beta by insulin and Wnt signaling. J. Biol
Dynamic Monitoring of Cellular Remodeling Induced by the Transforming Growth Factor-β1
of the quality and quantity of remodeling of epithelial cells is a complex issue. It usually includes quantification of expression of epithelial and mesenchymal markers (E-cadherin, N-cadherin, and vimentin), visualization of cytoskeletal rebuilding (F-
技术资料暂无技术资料 索取技术资料









![CD86 antibody [BU63] (FITC)](https://img1.dxycdn.com/2022/0328/866/0425747803627700453-14.jpg!wh200)

