相关产品推荐更多 >
万千商家帮你免费找货
0 人在求购买到急需产品
- 详细信息
- 文献和实验
- 技术资料
- 免疫原:
Recombinant full-length human HPCA1 protein
- 亚型:
IgG
- 形态:
Liquid
- 保存条件:
Store as concentrated solution. Centrifuge briefly prior to opening vial. Store at 4ºC.
- 克隆性:
Monoclonal
- 标记物:
Unconjugated
- 适应物种:
Human, Rat
- 保质期:
12 months from the shipping date of the product.
- 抗原来源:
Human
- 目录编号:
GTX02602
- 级别:
Primary Antibodies
- 库存:
Available
- 供应商:
GeneTex
- 宿主:
Rabbit
- 应用范围:
IHC-P, FACS
- 浓度:
200 μg/ml (Please refer to the vial label for the specific concentration.)
- 靶点:
CD34
- 抗体英文名:
CD34 antibody [HPCA1/2598R]
- 抗体名:
CD34 抗体 [HPCA1/2598R]
- 规格:
100 μg
IHC-P analysis of human colon carcinoma section using GTX02602 CD34 antibody [HPCA1/2598R].
IHC-P analysis of human tonsil tissue section using GTX02602 CD34 antibody [HPCA1/2598R].
FACS analysis of Jurkat cells using GTX02602 CD34 antibody [HPCA1/2598R].
Blue : Primary antibody
Red : Isotype control
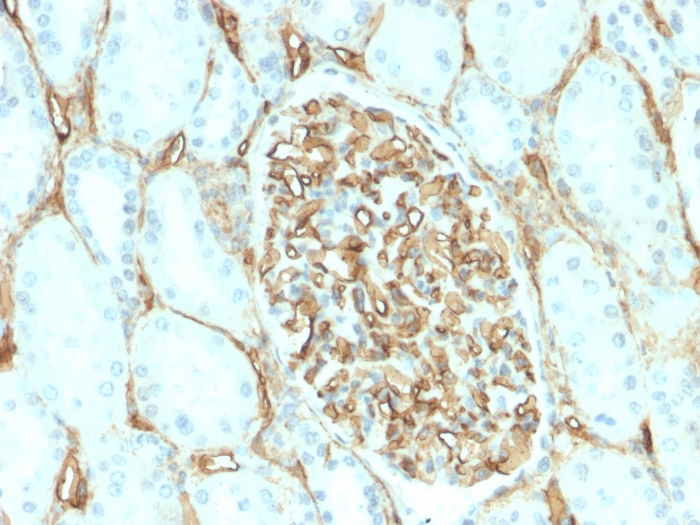
IHC-P analysis of human renal cell carcinoma section using GTX02602 CD34 antibody [HPCA1/2598R].
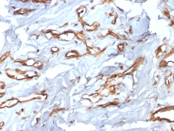
IHC-P analysis of human angiosarcoma section using GTX02602 CD34 antibody [HPCA1/2598R].
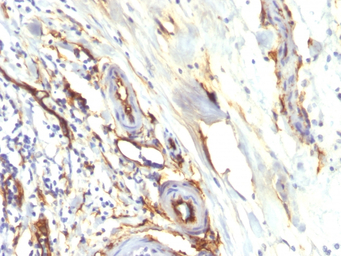
IHC-P analysis of human breast carcinoma section using GTX02602 CD34 antibody [HPCA1/2598R].
风险提示:丁香通仅作为第三方平台,为商家信息发布提供平台空间。用户咨询产品时请注意保护个人信息及财产安全,合理判断,谨慎选购商品,商家和用户对交易行为负责。对于医疗器械类产品,请先查证核实企业经营资质和医疗器械产品注册证情况。
文献和实验工作由 Nordic Myeloma 研究组广泛开展,他们组织了两个协作组来制定计数标准方案并在 24 个实验室中进行来提高 CD34 计数的准确性。第一次协作工作主要集中于标准化标本处理方法;其间制定了一样本处理的标准方法:要求样本在 4 小内分析;使用 Ortho 溶血剂与标本孵育 8 至 10 分钟溶血; 5-10 x 105 细胞与克隆号为 HPCA 的 PE 标记的 CD34 抗体室温下孵育 15 分钟,同型对照同等条件处理;洗涤 2-3 次后用 150ul 1% 的多聚甲醛固定。用米兰方案识别低
for 10 min at 400 x g to remove excess DETACHaBEAD. 14) Resuspend the cells in Buffer or Culture Medium. 15) The isolated cells are pure, viable and free from antibody bound to the surface, and may be used in any downstream application
Hematopoietic Stem Cell Targeting with Surface-Engineered Lentiviral Vectors
antibody and resuspend in PBS/2% FCS. 10. Separate the CD34+ cells as follows: i. Wash a MACS cell separation column with 200 µL of PBS/2% FCS. ii. Add the labeled cells to the column and place
技术资料暂无技术资料 索取技术资料






![TNF alpha antibody [XT22] (Biotin)](https://img1.dxycdn.com/2022/0328/311/9199679316327300453-14.jpg!wh200)



