相关产品推荐更多 >
万千商家帮你免费找货
0 人在求购买到急需产品
- 详细信息
- 技术资料
- 库存:
9999
- 英文名:
EV- Nanobacteria Removal Agent
- 规格:
400 μL×5
产品简介
“黑胶虫”(Nanobacteria)是一种常见的细胞污染物,与细胞竞争性生长,对细胞生长不利,严重时导致细胞死亡。目前很多细胞存在被“黑胶虫”污染的现象,对细胞培养及其后续实验造成了极大地影响。
针对上述问题,推出的黑胶虫清除剂 (500×)已经用于上百种细胞的测试,如:小鼠胚胎干细胞或 iPS 细胞、人胚胎干细胞或iPS 细胞、HEK293、Hela、 HCT116、COS-7、Vero Huh-7、MDCK、PANC-1、SW620、U20S、MCF-7、MRC-5、NIH-3T3等。经验证本产品对细胞无毒害作用,可高效、特异性地清除“黑胶虫”,挽救珍贵的细胞。

图1.“黑胶虫”污染表现
产品用途
用于添加至细胞培养基清除细胞培养过程中的黑胶虫。
产品特点
性能稳定:通过细菌、真菌、支原体、内毒素检测;通过渗透压、pH检测;通过产品性能检测。
高效快速:有效实现对“黑胶虫”的抑制和灭杀,减少不必要的实验损失。
环保安全:经上百种细胞验证无毒害作用。
产品数据

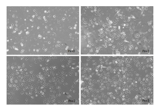
图2. 结果显示,使用产品第三天可完全除去培养基中的“黑胶虫”黑点
风险提示:丁香通仅作为第三方平台,为商家信息发布提供平台空间。用户咨询产品时请注意保护个人信息及财产安全,合理判断,谨慎选购商品,商家和用户对交易行为负责。对于医疗器械类产品,请先查证核实企业经营资质和医疗器械产品注册证情况。
黑胶虫清除剂500X
¥1300











