相关产品推荐更多 >
万千商家帮你免费找货
0 人在求购买到急需产品
- 详细信息
- 文献和实验
- 技术资料
- 库存:
9999
- 规格:
5 T
产品简介
支原体(Mycoplasma)是最小、最简单的原核生物。支原体污染可能会严重影响细胞的状态,使细胞的基因表达、代谢特征发生变化,导致细胞生长减缓、分化和死亡异常,严重影响细胞功能。这些影响因素会严重影响实验结果的可靠性、可重复性和一致性,因此支原体污染的检测非常重要。
逸微健华支原体检测试剂盒(PCR法),采用一对支原体特异性引物,对样品的支原体基因组DNA进行PCR扩增,接着通过琼脂糖凝胶电泳对PCR产物进行检测,能够实现快速、准确地支原体检测。
产品特点
高特异性:本产品通过特异性扩增支原体DNA片段,能够识别目前已发现的所有支原体,是一种广谱的支原体检测试剂盒。
适用范围广:可适用于细胞培养上清、血液样本、唾液、尿液、鼻腔分泌物等。
快速便捷:易于使用,当天即可获得结果。
产品数据

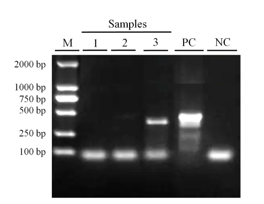
图1. 结果显示,本产品能精准检测样品中支原体的污染情况
样本1为阴性,样本2为弱阳性,样本3为阳性
风险提示:丁香通仅作为第三方平台,为商家信息发布提供平台空间。用户咨询产品时请注意保护个人信息及财产安全,合理判断,谨慎选购商品,商家和用户对交易行为负责。对于医疗器械类产品,请先查证核实企业经营资质和医疗器械产品注册证情况。
文献和实验,支原体DNA会显示为特异性条带,以此指示支原体的存在。PCR法可以检测大多数支原体,但谨慎起见最好同时使用另一种检测方法来进行验证。 普健生物生产的支原体PCR检测试剂盒(Mycoplasma PCR Test Kit)是一款具有快速、灵敏、特异性高等特点的支原体检测试剂盒,可用于细胞、培养基、动物血清等的支原体检测。本产品通过聚合酶链式反应技术(PCR)特异扩增支原体16s-rRNA 基因保守区域片段进行支原体检测,能够检测包括M. arthritidis, M
培养法也有力所不及的时候,例如支原体M. hyorhinis。 DNA检测法,也称直接培养法将可疑样品与指示细胞共同培养,一般需要几天时间。DNA检测所用的指示细胞通常是细胞质区域较大的Vero细胞,如果原样本中含有支原体,那么当细胞DNA被荧光染料(如Hoechst染料)染色时,就可以在指示细胞的核周围观察到荧光斑点或荧光颗粒。但是这种方法灵敏度太低,当检测成阳性时,细胞经常已经严重污染。且Hoechst荧光染色:操作复杂,操作不当易造成假阳性或假阴性。 PCR法市面上有许多商机提供基于PCR的支原体检测试剂盒
对你的实验有用。 首先,细胞来源支原体污染的最常见原因之一是引入的培养物已经被感染。一旦进入实验室,这些小东西会蔓延到每个角落,让你崩溃。要避免这种情况,最简单的办法就是不从其他实验室要细胞,而从供应商或菌种保藏中心购买,这些细胞经过严格检测,确保不含有支原体。如果购买有难度,或基于其他原因,不得不使用其他实验室的细胞,那么也要保持警惕,在单独的培养箱中隔离,同时进行支原体的检测。市场上有多家公司提供支原体检测试剂盒,你可自行选择。 其次,定期检测即使实验室没有新来的细胞,支原体也可能通过操作











