相关产品推荐更多 >
万千商家帮你免费找货
0 人在求购买到急需产品
- 详细信息
- 文献和实验
- 技术资料
- 形态:
Liquit
- 保存条件:
-20℃
- 克隆性:
单克隆
- 适应物种:
Human,(predicted:Mouse,Rat,)
- 保质期:
1年
- 抗原来源:
peptiede
- 目录编号:
TDCEM-0051
- 级别:
科研级
- 库存:
88
- 供应商:
武汉天德
- 宿主:
鼠
- 浓度:
1mg/ml
- 抗体英文名:
Epithelial SpeCIfic Antigen/Ep-CAM
- 抗体名:
Epithelial SpeCIfic Antigen/Ep-CAM
- 规格:
1ml工作液

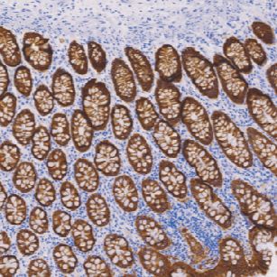
EpithelialSpecific Antigen/Ep-CAM鼠抗人上皮特异性抗原单克隆抗体
MOC-31是一种细胞表面糖蛋白,表达于大多数正常和恶性上皮细胞,主要用于腺癌的诊断及其与恶性间皮瘤的鉴别诊断。
- 货号:TDCEM-0051
- 克隆号:MOC-31
- 阳性部位:胞膜
- 适用组织:石蜡切片
- 预处理:热修复
风险提示:丁香通仅作为第三方平台,为商家信息发布提供平台空间。用户咨询产品时请注意保护个人信息及财产安全,合理判断,谨慎选购商品,商家和用户对交易行为负责。对于医疗器械类产品,请先查证核实企业经营资质和医疗器械产品注册证情况。
文献和实验,以该抗体序列作为改造的基础,所以REAfinity抗体亲和力更高、特异性更好;REAfinity抗体本身背景值低、抗体与荧光素结合的优良工艺,二者保证了抗体的高染色指数。 美天旎 REAfinityTM 重组抗体——为流式而生 什么是REAfinity 抗体? REAfinity 抗体是一种重组基因工程改造抗体,是将传统的小鼠或大鼠杂交瘤来源的单克隆抗体的抗原结合区(Fab)与经过突变的人 IgG1 的恒定区(Fc)进行基因重组而成。 将传统的小鼠或大鼠杂交瘤来源的单克隆抗体的抗原结合区序列
Nature 综述导读:FDA 批准第 100 个抗体药物!抗体药物的研究方向在哪里?
Nature Reviews Drug Discovery 20, 10 (2021)单克隆抗体 (mAbs) 由 B 细胞产生,特异性靶向抗原。该产品能够得以大量生产制备归功于 Köhler 和 Milstein 于 1975 年发明的杂交瘤技术,该技术极大地提高了基础研究和临床应用的潜力,利用该技术,Schlossman 和他的合作者鉴定出一种针对特殊 T 细胞抗原的单克隆抗体 - OKT3,它针对的抗原便是 CD3。1981 年,他们在临床测试 OKT3 作为预防移植排斥的免疫抑制剂。1986 年
厦门大学的研究团队评估了 EGFR 作为三阴乳腺癌免疫治疗靶点的可能性,通过体内实验和体外实验的结果得出,EGFR CAR-T 细胞展示出对三阴乳腺癌细胞强大的杀伤效果和潜力,提出 EGFR CAR-T 可以进一步向临床方向进行探索,获益更多的患者。 三阴乳腺癌(TNBC)以其侵袭性强、复发快速和预后效果差而闻名。目前以嵌合抗原受体 T (CAR-T)细胞为首的免疫疗法,已经成为治疗 TNBC 的一种有效工具,而其中肿瘤特异性抗原的选择和 CAR 结构的设计成为 CAR-T 治疗的挑战。 中国
技术资料暂无技术资料 索取技术资料










