万千商家帮你免费找货
0 人在求购买到急需产品
- 详细信息
- 文献和实验
- 技术资料
- 形态:
Liquit
- 保存条件:
-20℃
- 克隆性:
单克隆
- 适应物种:
Human,(predicted:Mouse,Rat,)
- 保质期:
1年
- 抗原来源:
peptiede
- 目录编号:
TDCRM-0021
- 级别:
科研级
- 库存:
88
- 供应商:
武汉天德
- 宿主:
鼠
- 浓度:
1mg/ml
- 抗体英文名:
Renal CEll CArCInoma Marker(RCC)
- 抗体名:
Renal CEll CArCInoma Marker(RCC)
- 规格:
1ml工作液

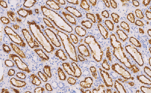
Renal Cell Carcinoma Marker(RCC)鼠抗人肾细胞癌标记物单克隆抗体
肾细胞癌,也称为Gurnistical 肿瘤,是最常见的由肾小管引起的肾癌,也是成年人肾癌中的常见类型。约90%的原发性肾细胞癌和85%的转移性肾细胞癌表达RCC阳性。此外,RCC还存在于一些乳腺癌、甲状腺肿瘤、卵黄囊癌、皮肤的基底细胞癌和副甲状腺腺瘤中。
- 货号:TDCRM-0021
- 克隆号:PN-15
- 阳性部位:胞质,胞膜
- 适用组织:石蜡组织
- 预处理:热修复
风险提示:丁香通仅作为第三方平台,为商家信息发布提供平台空间。用户咨询产品时请注意保护个人信息及财产安全,合理判断,谨慎选购商品,商家和用户对交易行为负责。对于医疗器械类产品,请先查证核实企业经营资质和医疗器械产品注册证情况。
文献和实验度可提高数千倍,达 ng/ml 水平。例如,用放射免疫测定法或酶免疫测定法测定 HBsAg,其敏感度可达 0.1 ng /ml。 免疫测定在临床检验中的应用: 由于各种抗原成份,包括小分子的半抗原,均可用以制备特异性的抗血清或单克隆抗体,利用此抗体作为试剂就可检测标本中相应的抗原,因此免疫测定的应用范围极广,在临床检验中可用于测定: 1) 体液中的各种蛋白质,包括含量极少的蛋白质如甲胎蛋白等。 2) 激素,包括小分子量的甾体激素等。 3) 抗生素和药物。 4) 病原体抗原,HBsAg
内或体外培养而分泌的抗体单克隆抗体(monoclonal antibody,McAb或Mab)。单克隆抗体仅针对一种抗原决定簇,具有很高的特异性。单克隆抗体通常用抗原免疫小鼠制备。将免疫的脾细胞(含产生抗体的B细胞)与小鼠肿瘤细胞融合,分离杂交瘤细胞,接种于小鼠腹腔,产生的腹水中含有浓度很高的单克隆抗体。(三)抗原抗体反应 1、可逆性 抗原与抗体结合形成抗原抗体复合物的过程是一种动态平衡,其反应式为:Ag+Ab→Ag•Ab.。抗体的亲和力(affinity)是抗原抗体间的固有结合力,可以平衡常数K
抗体/补体介导的特异性细胞毒作用分离法分离T细胞亚群 人T淋巴细胞按其表面标志分为CD4+ T和CD8+ T细胞两类,其细胞膜上分别有CD4和CD8分子,当它们与相应的鼠抗人单克隆抗体结合后,在补体的参与下,可溶解相应的T细胞亚群,从而分离出另一种细胞亚群。 【试剂及配制】 (1) 聚蔗糖-泛影葡胺分层液(D=1.077±0.001)。 (2) Hank’s液(内含5%小牛血清和1.0g/L叠氮钠)。
技术资料暂无技术资料 索取技术资料










