相关产品推荐更多 >
万千商家帮你免费找货
0 人在求购买到急需产品
- 详细信息
- 文献和实验
- 技术资料
- 形态:
Liquit
- 保存条件:
-20℃
- 克隆性:
单克隆
- 适应物种:
Human,(predicted:Mouse,Rat,)
- 保质期:
1年
- 抗原来源:
peptiede
- 目录编号:
TDCPM-0140
- 级别:
科研级
- 库存:
88
- 供应商:
武汉天德
- 宿主:
鼠
- 浓度:
1mg/ml
- 抗体英文名:
P53 Protein
- 抗体名:
P53 Protein
- 规格:
1ml工作液

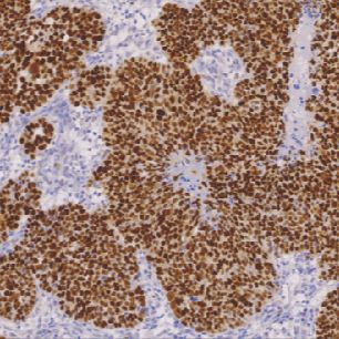
p53鼠抗人p53蛋白单克隆抗体
这种单克隆抗体(DO-7)可在变性和非变性状态下均能识别人的野生型和突变型p53蛋白。被克隆DO-7识别的抗原决定簇,在福尔马林固定液固定时间过长的情况下容易被破坏,在一些情况下加热诱导抗原决定簇修复技术可以改善染色效果
- 货号:TDCPM-0140
- 克隆号:DO-7
- 阳性部位:胞核
- 适用组织:石蜡切片 /冰冻切片
- 预处理:热修复
风险提示:丁香通仅作为第三方平台,为商家信息发布提供平台空间。用户咨询产品时请注意保护个人信息及财产安全,合理判断,谨慎选购商品,商家和用户对交易行为负责。对于医疗器械类产品,请先查证核实企业经营资质和医疗器械产品注册证情况。
文献和实验whl111 P53蛋白具有肿瘤抑制作用,其机制可能是影响肿瘤细胞的凋亡。各位战友有没有想过如果将P53于体外直接作用于肿瘤细胞是不是会引起细胞的凋亡?而如果想办法让P53蛋白在体内能够接触到肿瘤细胞是不是可以起到抑制肿瘤细胞生长的作用呢? pub_wang 不太可能,其通路在肿瘤发生中已被打破,肿瘤中整个平衡都变了。 5米 一颗种子当它还是种子的时候,你把种子煮一下也许再也不会发芽,当这颗
bowenwei P53蛋白可以用WESTERN BLOT法测定吗 lnzyxyqy2003 可以啊 fangweibin119 当然可以 这个蛋白还是很好做的哦 jgl2008 请教版主,这个p53蛋白在hela细胞中的检测如何,我做了好久,均未见条带,可否赐教下呢,感谢! 忧兴逸亡 看下P53存在于细胞
野生型p53蛋白可以通过诱导凋亡而抑制肿瘤的生长,突变型p53基因丧失了诱导细胞凋亡的能力,从而增强了细胞的恶性转化能力,而且在恶性肿瘤常可检测出突变型p53基因。p53蛋白也可能参与化疗药物诱导的细胞凋亡。本法运用一步夹心免疫法,定量检测野生型或突变型p53蛋白。 样本来源 1. 人、鼠、兔的组织切片 2. 肿瘤细胞株 材料与试剂 1. 过氧化物酶标记的多克隆抗人-p53全抗体(检测抗体); 2. 洗涤缓冲液(10x); 3. 过氧化物酶底物液: 四甲基联苯
技术资料暂无技术资料 索取技术资料










