万千商家帮你免费找货
0 人在求购买到急需产品
- 详细信息
- 文献和实验
- 技术资料
- 形态:
Liquit
- 保存条件:
-20℃
- 克隆性:
单克隆
- 适应物种:
Human,(predicted:Mouse,Rat,)
- 保质期:
1年
- 抗原来源:
peptiede
- 目录编号:
TDCGR-0211
- 级别:
科研级
- 库存:
88
- 供应商:
武汉天德
- 宿主:
兔
- 浓度:
1mg/ml
- 抗体英文名:
GranzymeB(GrB)
- 抗体名:
GranzymeB(GrB)
- 规格:
1ml工作液

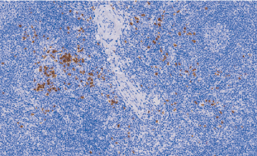
GranzymeB(GrB)免抗人粒酶B单克隆抗体
粒酶是外源性的丝氨酸蛋白酶,由细胞毒性T细胞和自然杀伤细胞的胞质颗粒分泌所得。他们的作用是诱导病毒感染的细胞自然凋亡,从而破坏感染的细胞。粒酶抗体用于检测自然杀伤细胞、T细胞淋巴瘤和间变性大细胞淋巴瘤,在霍奇金淋巴瘤中,高比例的毒性T细胞的存在是不好的预后指标的显示。
- 货号:TDCGR-0211
- 克隆号:EP230
- 阳性部位:胞质
- 适用组织:石蜡组织
- 预处理:热修复
风险提示:丁香通仅作为第三方平台,为商家信息发布提供平台空间。用户咨询产品时请注意保护个人信息及财产安全,合理判断,谨慎选购商品,商家和用户对交易行为负责。对于医疗器械类产品,请先查证核实企业经营资质和医疗器械产品注册证情况。
文献和实验相关专题 T细胞被激活后,释放含穿孔素与颗粒酶的颗粒,在Ca2+的借助下,颗粒在靶细胞膜 上穿孔,进而颗粒酶(granzyme)进入靶细胞内,引起靶细胞DNA降解活动。对这种颗粒酶的研究也较多,已从人及鼠体内提取了10余种酶,认为起主要作用的是granzymea与granzymeB。 One mechanism used by cytotoxic T cells to kill tumor cells
细胞毒性T细胞对靶细胞杀伤的主要机制是通过释放的穿孔素-颗粒酶系统介导的溶靶细胞作用或通过fas/fasL系统介导的细胞凋亡作用。因此,对CTL颗粒酶的胞泌作用分析可反映细胞毒性T细胞功能。该方法操作简便且无需靶细胞作为指示细胞。 一、基本原理 应用直接针对TCR的单克隆抗体,模拟特异性靶细胞的作用,诱导CTL细胞内颗粒丝氨酸酯酶等的释放。抗TCR可与CTL细胞表面TCR的α和β链及CD3复合物特异性结合。该法基本过程是,先用单克隆抗体包被微孔板,然后加入CTL或T
tissue,human testis tissue,human brain tissue IF:Hela,HepG2 另外有 HRP、FITC、Bintin 标记的多抗对应货号分别为: CSB-PA07179B0Rb、CSB-PA07179C0Rb、CSB-PA07179D0Rb 兔抗人淀粉样肽 beta A4 蛋白单克隆抗体 货号:CSB-MA0019501A0m 识别
技术资料暂无技术资料 索取技术资料









