相关产品推荐更多 >
万千商家帮你免费找货
0 人在求购买到急需产品
- 详细信息
- 文献和实验
- 技术资料
- 形态:
Liquit
- 保存条件:
-20℃
- 克隆性:
单克隆
- 适应物种:
Human,(predicted:Mouse,Rat,)
- 保质期:
1年
- 抗原来源:
peptiede
- 目录编号:
TDCCM-0844
- 级别:
科研级
- 库存:
88
- 供应商:
武汉天德
- 宿主:
鼠
- 浓度:
1mg/ml
- 抗体英文名:
C-erB-2 Oncoprotin (HER-2)
- 抗体名:
C-erB-2 Oncoprotin (HER-2)
- 规格:
1ml工作液

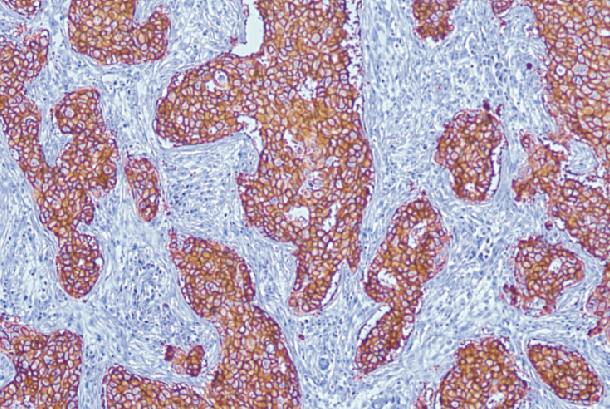
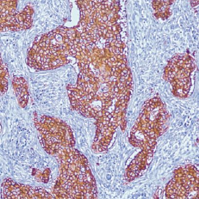
C-erB-2Oncoprotin(HER-2)鼠抗人C-erbB-2癌基因蛋白单克隆抗体
C-eroB-2基因所编码的蛋白是分子量为185KDa的穿膜蛋白,是细胞表面生长因子受体大家族中的成员,可以抑制酪氨酸激酶活性,该基因的过度表达为判断乳腺癌、与肿瘤的分化程度和分级有密切关系。此抗体主要作为判断乳腺癌、卵巢癌、子宫内膜癌及消化道肿瘤预后的参考指标。
- 货号:TDCCM-0844
- 克隆号:C1F7
- 阳性部位:胞膜
- 适用组织:石蜡切片
- 预处理:热修复
风险提示:丁香通仅作为第三方平台,为商家信息发布提供平台空间。用户咨询产品时请注意保护个人信息及财产安全,合理判断,谨慎选购商品,商家和用户对交易行为负责。对于医疗器械类产品,请先查证核实企业经营资质和医疗器械产品注册证情况。
文献和实验性PCR两种方法定量检测治疗期间连续收集的结核病人痰标本,结果显示两种方法有较好的重复性和准确性。痰中结核杆菌DNA定量结果与抗酸染色显微镜下计数的结果一致。 (二)肿瘤研究 意大利Gelmini等[2]用FQ-PCR技术检测乳腺癌标本c-erbB-2基因拷贝数目变异情况。他们以β-肌动蛋白基因为参照探索最佳实验条件,当扩增循环数在28~31之间时,△RQ与模板DNA有着较好的剂量依赖关系。他们在此条件下扩增了c-erbB-2基因和β-球蛋白基因,发现△RQ都与各自的模板DNA浓度存在着线性
恶性肿瘤病人外周血免疫指标的流式细胞仪检测及免疫治疗前后免疫功能变化的研究
,其中年龄和性别构成比与病人组差异无显著性(P>0.05)。 1.2 材料与仪器 小鼠抗人单克隆抗体CD4/CD8/CD3、CD19、CD20、CD3/CD16+56、CD3/HLA-DR、CD3/CD25及同型对照、红细胞裂解液(Optilyse C)均为法国Immunotech公司出品。流式细胞仪(Epics XL·MCL)是美国BECKMAN COULTER公司生产。 1.3 研究方法 使用直接免疫荧光标记全血溶血法,流式细胞仪测定肿瘤病人外周血淋巴细胞表面抗原表达。
于流式细胞仪检测。如在细胞周期研究中,根据DNA荧光染料(如PI)与细胞DNA双链的结合有一定量效关系,即DNA含量的多少与PI结合量成正比,因此,通过荧光强度可以反映细胞内DNA含量。 在免疫学中,运用流式细胞术与单克隆抗体结合,在免疫分型、细胞分选、肿瘤细胞免疫监视、机体免疫状态监测、免疫细胞的系统发生及特性研究等方面均起着极为重要的作用。 在肿瘤学中,利用流式细胞术除了进行细胞周期和DNA倍体分析外,还可定量分析检测细胞增殖标志物、细胞表面标志、癌基因蛋白产物、耐药蛋白及细胞
技术资料暂无技术资料 索取技术资料










