相关产品推荐更多 >
万千商家帮你免费找货
0 人在求购买到急需产品
- 详细信息
- 文献和实验
- 技术资料
- 形态:
Liquit
- 保存条件:
-20℃
- 克隆性:
单克隆
- 适应物种:
Human,(predicted:Mouse,Rat,)
- 保质期:
1年
- 抗原来源:
peptiede
- 目录编号:
TDCCM-0170
- 级别:
科研级
- 库存:
88
- 供应商:
武汉天德
- 宿主:
鼠
- 浓度:
1mg/ml
- 抗体英文名:
CA19-9(Sialyl Lewis)
- 抗体名:
CA19-9(Sialyl Lewis)
- 规格:
1ml工作液

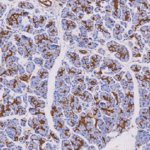
CA19-9 (Sialy1 Lewis)鼠抗人消化道癌抗原单克隆抗体
CA19-9是一种Sialated Lewisa 糖结构上的抗原决定簇。SialatedLewisa作为诱导粘附分子E-selectin的功能配体在细胞粘附中起作用。CA19-9与CA50(癌相关粘液素抗原)作为血清学标记物用于胃肠道癌和胰腺癌的诊断。据报道,在胰腺癌中CA19-9与CA50免疫组织化学的表达都与肿瘤分化有关,观察到在分化好的肿瘤中强染色。这两种标记物还在许多良性病变中表达、如慢性胰腺炎
- 货号:TDCCM-0170
- 克隆号:C241:5:1:4
- 阳性部位:胞膜,胞质
- 适用组织:石蜡切片/冰冻切片
- 预处理:热修复
风险提示:丁香通仅作为第三方平台,为商家信息发布提供平台空间。用户咨询产品时请注意保护个人信息及财产安全,合理判断,谨慎选购商品,商家和用户对交易行为负责。对于医疗器械类产品,请先查证核实企业经营资质和医疗器械产品注册证情况。
文献和实验,血清鳞状上皮细胞癌抗原增高,其浓度随病情加重而增高。测定鳞状上皮细胞癌抗原可监测这些肿瘤的疗效、复发、转移及评价预后。 增高:见于鳞癌,如子宫颈癌、肺癌、头颈部癌;肝炎。肝硬化、肺炎、结核病等也增高。 癌胚抗原(CEA) 正常范围:<5.Oμg/L。 检查介绍:癌胚抗原最初发现于结肠癌及胎儿肠组织中,故名。血清CEA升高,除见于消化道癌外,也见于其他系统。 临床意义:CEA测定主要用于结肠直肠癌、胃癌、胰癌
内容提要第一章 化学发光技术一、 免疫学检测发展阶段二、 化学发光免疫分析技术三、 技术优势四、 产品介绍第二章 肿瘤标志物检测一、肿瘤标志物简介二、瘤标志物的分类三、肝癌及甲胎蛋白(AFP)四、前列腺癌及其肿瘤标志物五、卵巢癌及癌抗原CA125六、乳腺癌及癌抗原CA15-3七、消化道肿瘤及癌抗原CA19-9八、人绒毛膜促性腺激素(HCG)检测及癌症诊断九、肿瘤普查十、肿瘤标志物检测图谱第三章 甲状腺激素检测一、甲状腺基本知识二、甲状腺功能的血清学检查第四章 生殖激素检测一、概述二、各激素
抗体/补体介导的特异性细胞毒作用分离法分离T细胞亚群 人T淋巴细胞按其表面标志分为CD4+ T和CD8+ T细胞两类,其细胞膜上分别有CD4和CD8分子,当它们与相应的鼠抗人单克隆抗体结合后,在补体的参与下,可溶解相应的T细胞亚群,从而分离出另一种细胞亚群。 【试剂及配制】 (1) 聚蔗糖-泛影葡胺分层液(D=1.077±0.001)。 (2) Hank’s液(内含5%小牛血清和1.0g/L叠氮钠)。
技术资料暂无技术资料 索取技术资料










