相关产品推荐更多 >
万千商家帮你免费找货
0 人在求购买到急需产品
- 详细信息
- 文献和实验
- 技术资料
- 形态:
Liquit
- 保存条件:
-20℃
- 克隆性:
单克隆
- 适应物种:
Human,(predicted:Mouse,Rat,)
- 保质期:
1年
- 抗原来源:
peptiede
- 目录编号:
TDCCR-0471
- 级别:
科研级
- 库存:
88
- 供应商:
武汉天德
- 宿主:
兔
- 浓度:
1mg/ml
- 抗体英文名:
CD21
- 抗体名:
CD21
- 规格:
1ml工作液

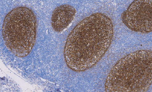
CD21兔抗人CD21单克隆抗体
CD21又称II 型补体受体和EB病毒受体,是补体激活调节剂家族的一员。主要分布在成熟的B细胞、淋巴滤泡内树突状细胞、部分T细胞。CD21的功能促进B细胞增殖,介导EBV转化B细胞CD21参与免疫记忆。主要用于滤泡树突状细胞及其肿瘤的诊断以及免疫补体激活调节的研究
- 货号:TDCCR-0471
- 克隆号:EP64
- 阳性部位:胞膜
- 适用组织:石蜡切片
- 预处理:热修复
风险提示:丁香通仅作为第三方平台,为商家信息发布提供平台空间。用户咨询产品时请注意保护个人信息及财产安全,合理判断,谨慎选购商品,商家和用户对交易行为负责。对于医疗器械类产品,请先查证核实企业经营资质和医疗器械产品注册证情况。
文献和实验Nature Cancer I 生物标志物多参数评估mTLS预测实体瘤免疫治疗效果
TLS 成熟度,需要对 CD8、CD4、CD20、CD21 和 CD23 进行多参数分析。 阻断 PD-1 受体与其主要配体 PD-L1 之间的相互作用具有显著抗癌作用,已有多种抗 PD-1 或抗 PD-L1 药物被批准用于多种实体瘤治疗。然而,大多数接受抗 PD-1 或抗 PD-L1 单克隆抗体的患者并没有从中获益。 免疫组织化学、肿瘤突变负荷 (TMB) 和微卫星不稳定性状态评估的 PD-L1 表达状态是迄今为止唯一被批准用于指导抗 PD-1 治疗的伴随诊断标志物。这些方法并不能有效区分出可能
CD21 分子 CD21 常用单克隆抗体或代号: B2,OKB- 1;(CR2) 主要表达细胞: Pre- B,B,FDC [B] 分子质量(kDa)和结构: p145(RCA) 功 能: C3d/EBV受体,B细胞活化,结合sCD23,信号转导 CD21 Aka CR2, C3d receptor, EBV receptor Binds to Epstein Barr
CD81 分子 CD81 常用单克隆抗体或代号: ID6,5A6;(TAPA- 1) 主要表达细胞: 广泛,包括B,T,M [B] 分子质量(kDa)和结构: p26(TM4-SF) 功 能: 增殖抗体靶抗原,与CD19、CD21相连,组成B细胞复合体 CD81 Aka Target of an Anti-Proliferative Antibody (TAPA1)
技术资料暂无技术资料 索取技术资料










