相关产品推荐更多 >
万千商家帮你免费找货
0 人在求购买到急需产品
- 详细信息
- 文献和实验
- 技术资料
- 形态:
Liquit
- 保存条件:
-20℃
- 克隆性:
单克隆
- 适应物种:
Human,(predicted:Mouse,Rat,)
- 保质期:
1年
- 抗原来源:
peptiede
- 目录编号:
TDCCR-0441
- 级别:
科研级
- 库存:
88
- 供应商:
武汉天德
- 宿主:
兔
- 浓度:
1mg/ml
- 抗体英文名:
CD16
- 抗体名:
CD16
- 规格:
1ml工作液

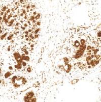
CD16兔抗人CD16单克隆抗体
CD16是种低亲和力的Fc受体,主要存在于自然杀伤细胞的表面嗜中性粒细胞多形核白细胞、单核细胞和巨噬细胞中。在免疫组化染色技术中,CD16可从外周T细胞淋巴瘤中鉴别诊断出v6T细胞淋巴瘤和v6T细胞大颗粒淋巴细胞性白血病。据报道,结直肠癌患者高CD16阳性细胞浸润表达与改善整体的存活率有一定的关系。
- 货号:TDCCR-0441
- 克隆号:EP364
- 阳性部位:胞质,胞膜
- 适用组织:石蜡切片
- 预处理:热修复
风险提示:丁香通仅作为第三方平台,为商家信息发布提供平台空间。用户咨询产品时请注意保护个人信息及财产安全,合理判断,谨慎选购商品,商家和用户对交易行为负责。对于医疗器械类产品,请先查证核实企业经营资质和医疗器械产品注册证情况。
文献和实验γRⅢ/Ⅱ 结合,封闭非特异性染色,使阴性细胞的背景荧光降至未标记细胞的水平。加入 0.5-1 μg 纯的抗小鼠 CD16/32 单克隆抗体,室温孵育 10 分钟。 对于人和大鼠,可直接使用过量的,与荧光抗体相同来源和亚型的纯化 Ig 或者与目标种属相同来源的血清进行阻断,或者用商业化的 Fc 受体阻断剂。 五、细胞染色 按照说明书的推荐用量加入荧光标记抗体,混匀后置于 4℃,避光孵育 30 分钟。 加入细胞染色 buffer (或含 1%BSA 的 PBS)重悬细胞,300g 离心
能和 FcγR Ⅲ/Ⅱ结合,封闭非特异性染色,使阴性细胞的背景荧光降至未标记细胞的水平。加入 0.5-1μg 纯的抗小鼠 CD16/32 单克隆抗体,室温孵育 10min。 对于人和大鼠,可直接使用过量的与荧光抗体相同来源和亚型的纯化 Ig 或者与目标种属相同来源血清进行阻断,或者用商业化的 Fc 受体阻断剂。 五、细胞表面抗体孵育 根据实验设计,除空白对照外,对应的单染管、全染管加入相应的抗体 5μL,混匀,4℃ 避光孵育 30min。 六、固定破膜 按照说明书稀释固定破膜液。 每管加入
性染色,使阴性细胞的背景荧光降至未标记细胞的水平。加入0.5-1μg纯的抗小鼠CD16/32单克隆抗体,室温孵育10分钟。 对于人和大鼠,可直接使用过量的与荧光抗体相同来源和亚型的纯化Ig或者相同来源血清进行阻断,或者用商业化的Fc受体阻断剂。 细胞染色 4.1 按照说明书的推荐用量加入荧光标记的抗体,混匀后置于4℃,避光孵育30分钟。 4.2 加入适量细胞染色buffer (或含1%BSA的PBS)重悬细胞,300g离心细胞悬液5分钟,弃掉上清。 4.3 加入0.2 mL
技术资料暂无技术资料 索取技术资料










