相关产品推荐更多 >
万千商家帮你免费找货
0 人在求购买到急需产品
- 详细信息
- 文献和实验
- 技术资料
- 库存:
100⁺支
- 英文名:
Anti-Glutamate Receptor 2 Antibody,extracellular,clone 6C4
- 保质期:
1年
- 供应商:
上海睿安生物13611631389
- 保存条件:
-20°C
- 规格:
100ug/支
现货Sigma货号MAB397抗谷氨酸受体2抗体(细胞外)克隆6C4上海睿安生物13611631389
抗谷氨酸受体2抗体,细胞外,克隆6C4
clone 6C4,Chemicon®,from mouse
别名:GluR2
Sigma货号MAB397现货Anti-Glutamate Receptor 2 Antibody,extracellular,clone 6C4上海睿安生物13611631389
说明
一般描述
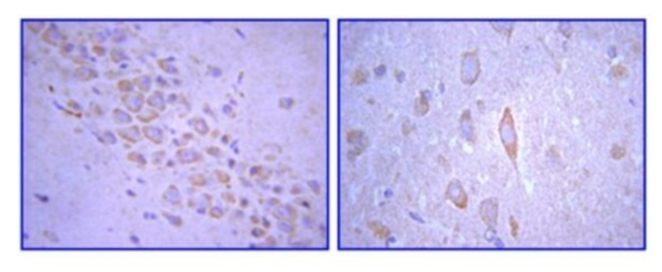
谷氨酸受体(GluR)可以分为离子型或代谢型,并可再根据其激动剂的偏好型(NMDA、AMPA或海仁藻酸)而进一步分类。存在有四种类型的AMPA选择性GluR亚基(GluR1、GluR2、GluR3和GluR4)。不同亚基的四聚体或五聚体组合有助于AMPA受体的功能多样性。通常,AMPA受体可在大多数兴奋性突触中介导快速突触电流,具有以亚型组成为特征的化学计量。尽管AMPA受体的亚基组成各不相同,但它们必须包含至少一个经过编辑的GluR2亚基,使钙不可渗透。控制钙渗透性的关键残基位于孔环区域。在GluR1、GluR3和GluR4中,该位置被一个Gln残基所占据。在GluR2中,它被一个Arg残基所占据。实验表明,位于该位置的Arg会阻止CA2+离子的渗透,而Gln则不会。AMPA受体通道中的相对钙渗透性在病理性神经毒性损害和神经系统反应的长期变化中可能很重要。
特异性
识别谷氨酸受体2(GluR2)的大N末端胞外结构域。未观察到与其他AMPA/红藻氨酸GluR亚基具有交叉反应性。在对大鼠、猕猴和狗的脑提取物的western blot分析中,MAB397可在约102 kDa处识别一条对应于全长GluR2的条带。通过Western blot在66 kDa或更低分子量下发现的其他蛋白质似乎是GluR2的分解产物(Vissavajjhala,1996)。通过免疫组织化学可知GluR2在细胞和突触水平均广泛分布。MAB397可识别绝大多数但并非全部GABA能级神经元中存在的GluR2(Vissavajjhala,1996)。
应用
免疫细胞化学:
使用了之前的一次批次用于4%多聚(jù)甲(jiǎ)醛固定的细胞:2-3µg/ml(Vissavajjhala,1996;Osten,1998;Passafaro,2001)。
ELISA/RIA:之前一个批次的该抗体被用于ELISA/RIA(Vissavajjhala,1996)。
免疫组化用于50µm 4%多聚(jù)甲(jiǎ)醛固定的脑切片:1:500-1:800(Vissavajjhala,1996;Yung,1998;Kumar;2002)。
免疫沉淀2-4µg/ml(Osten,1998)。
蛋白质印迹:1-2µg/ml(Vissavajjhala,1996;Osten,1998);推荐使用膜制品以获得更强的信号。
最佳的工作稀释度和实验方法必须由终端用户确定。
细胞外6C4克隆的抗-谷氨酸受体2抗体可检测谷氨酸受体2的水平&且已被发表&验证用于ELISA、IC、IH、IP、RIA&WB,具有超过50篇的产品引文。
质量
通过Western Blot对小鼠大脑裂解物进行常规评估。
Western Blot分析:
该批次1:1000的稀释液对10μg小鼠大脑裂解液中的谷氨酸受体2进行了检测。
目标描述:102 kDa
外形
从培养上清液中纯化的免疫球蛋白
在含PBS且无防腐剂的缓冲液中的纯化小鼠免疫球蛋白IgG2a液体。
形式:纯化
储存及稳定性
自收到之日起,在未稀释的分装液中可于-20ºC条件下稳定保存6个月。
使用建议:收到后,在取下瓶盖之前,将小瓶离心并轻轻混合溶液。分装到微量离心管中,并储存于-20°C。避免反复冻融,其可能会损伤到IgG2a并影响产品性能。
分析说明
对照
阳性对照:脑皮质和锥体神经元,小鼠大脑裂解物。
其他说明
浓度:请参考批次特异性浓缩物的分析证书

同行评审论文(部分文献)






风险提示:丁香通仅作为第三方平台,为商家信息发布提供平台空间。用户咨询产品时请注意保护个人信息及财产安全,合理判断,谨慎选购商品,商家和用户对交易行为负责。对于医疗器械类产品,请先查证核实企业经营资质和医疗器械产品注册证情况。
文献和实验| 上海睿安生物13611631389微信同号 | ||||
| 货号 | (授权代理Merck-Millipore-Sigma上海睿安生物)产品名称描述 | 规格 | 目录价(¥) | |
| AP308P | Goat Anti-Mouse IgG Antibody(H+L)HRP conjugate | 山羊抗小鼠IgG抗体(H+L)HRP共轭标记 | 1ml | 3209.54 |
| AP132P | Goat Anti-Rabbit IgG Antibody,Peroxidase Conjugated | 山羊抗兔IgG抗体(过氧化物酶偶联) | 2ml | 2886.88 |
| AP124P | Goat Anti-Mouse IgG Antibody,Peroxidase Conjugated,H+L | 山羊抗小鼠IgG抗体(过氧化物酶偶联)H+L | 2ml | 3048.21 |
| 12-370 | Normal Rabbit IgG | 正常兔IgG | 250ug | 2402.88 |
| 12-371 | Normal Mouse IgG | 正常小鼠IgG | 250ug | 2402.88 |
| 12-348 | Goat Anti-Rabbit IgG Antibody,HRP-conjugate | 山羊抗兔IgG抗体(HRP偶联物) | 500ug | 3048.21 |
| AB152 | Anti-Tyrosine Hydroxylase Antibody | 抗酪氨酸羟化酶抗体 | 100ul | 6272.17 |
| ABN78 | Anti-NeuN Antibody(rabbit) | 抗NeuN抗体(兔) | 100ug | 6272.17 |
| MAB1637 | Anti-Tubulin Antibody,β III isoform(CT)clone TU-20(Similar to TUJ1) | 抗微管蛋白抗体(βIII亚型)计算机X线体层(克隆TU-20)(类似于TUJ1) | 100ul | 6272.17 |
| AB10533 | Anti-LMX-1 Antibody | 抗-LMX-1抗体 | 100ul | 6272.17 |
| AB5603 | Anti-Sox2 Antibody | 抗Sox2抗体 | 100ug | 6272.17 |
| AB1530 | Anti-Peripherin Antibody | 抗外周蛋白抗体 | 100ul | 6272.17 |
| MAB377 | Anti-NeuN Antibody,clone A60 | 抗NeuN抗体,克隆A60 | 500ug | 6433.50 |
| MAB397 | Anti-Glutamate Receptor 2 Antibody,extracellular,clone 6C4 | 抗谷氨酸受体2抗体(细胞外)克隆6C4 | 100ug | 6433.50 |
| AB15282 | Anti-Cone Arrestin Antibody | 抗锥体抑制蛋白抗体 | 100ug | 6433.50 |
| MABE1016 | Anti-pan-ADP-ribose binding reagent | 抗-泛腺苷二磷酸核糖结合试剂 | 200ul | 6433.50 |
| AB5320 | Anti-NG2 Chondroitin Sulfate Proteoglycan Antibody | 抗NG2硫酸软骨素蛋白聚糖抗体 | 100ug | 6433.50 |
| MABN50 | Anti-Olig2 Antibody,clone 211F1.1 | 抗Olig2抗体(克隆211F1.1) | 100ug | 6433.50 |
| 07-360 | Anti-acetyl-Histone H3(Lys27) Antibody | 抗乙酰组蛋白H3(Lys27)抗体 | 100ul | 6433.50 |
| 05-321 | Anti-Phosphotyrosine Antibody,clone 4G10® | 抗磷酸酪氨酸抗体,克隆4G10® | 100ug | 7078.82 |
| 04-263 | Anti-Ubiquitinylated proteins Antibody,clone FK2 | 抗泛素化蛋白抗体(克隆FK2) | 100ul | 7078.82 |
| MAB3120 | Anti-Cre Recombinase Antibody,clone 2D8 | 抗Cre重组酶抗体(克隆2D8) | 100ul | 7078.82 |
| 07-352 | Anti-acetyl-Histone H3(Lys9) Antibody | 抗乙酰组蛋白H3(Lys9)抗体 | 100ul | 7078.82 |
| 07-413 | Anti-dimethyl-Arginine Antibody,symmetric(SYM11) | 抗-二甲基精氨酸抗体[对称(SYM11)] | 200ug | 7078.82 |
| 16-232 | Anti-α-Tubulin Antibody,clone DM1A,Alexa Fluor® 488 conjugate | 抗-α-微管蛋白抗体(克隆DM1A)Alexa Fluor 488结合物 | 100ug | 7078.82 |
| 05-829X-555 | Anti-α-Tubulin Antibody,Alexa Fluor® 555 conjugate | 抗-α-微管蛋白抗体(Alexa Fluor 555偶联物) | 100ug | 7078.82 |
| MABE343 | Anti-Puromycin Antibody,clone 12D10 | 抗嘌呤霉素抗体(克隆12D10) | 100ul | 5788.18 |
| MABE340 | Anti-MDM2 Antibody,clone IF2 | 抗-MDM2抗体(克隆IF2) | 100ug | 5788.18 |
| 询订13611631389微信同号 | ||||
| (授权代理Merck-Millipore-Sigma上海睿安生物)产品名称描述 | ||||
| AB1031 | Anti-Aggrecan Antibody | 抗聚集蛋白聚糖抗体 | 50ug | 5788.18 |
| MABE1126 | Anti-DNA G-quadruplex(G4) Antibody,clone 1H6 | 抗-DNA G-四链体(G4)抗体(克隆1H6) | 100ug | 5788.18 |
| MABC196 | Anti-Chitinase-3-like protein 1(YKL-40) Antibody,clone mAY | 抗-几丁质酶-3样蛋白1(YKL-40)抗体(克隆mAY) | 100ug | 5788.18 |
| 07-449 | Anti-trimethyl-Histone H3(Lys27) Antibody | 抗-三甲基-组蛋白H3(Lys27)抗体 | 200ug | 7401.48 |
| 06-599 | Anti-acetyl-Histone H3 Antibody | 抗乙酰组蛋白H3抗体 | 100ug | 7401.48 |
| 06-570 | Anti-phospho-Histone H3(Ser10) Antibody,Mitosis Marker | 抗磷酸组蛋白H3(Ser10)抗体(有丝分裂标记) | 200ug | 7401.48 |
| MAB348 | Anti-APP A4 Antibody,a.a.66-81 of APP{NT},clone 22C11 | 抗APP A4抗体(a.a.APP){NT}的66-81(克隆22C11) | 100ul | 7401.48 |
| 04-745 | Anti-trimethyl-Histone H3(Lys4) Antibody(clone MC315)rabbit monoclonal | 抗三甲基组蛋白H3(Lys4)抗体(克隆MC315)兔单克隆 | 100ul | 7401.48 |
| 07-473 | Anti-trimethyl-Histone H3(Lys4) Antibody | 抗三甲基组蛋白H3(Lys4)抗体 | 100ul | 7401.48 |
| 06-866 | Anti-acetyl-Histone H4 Antibody | 抗乙酰组蛋白H4抗体 | 200ul | 7401.48 |
| 07-030 | Anti-dimethyl-Histone H3(Lys4) Antibody | 抗二甲基组蛋白H3(Lys4)抗体 | 200ul | 7401.48 |
| AB9610 | Anti-Olig-2 Antibody | 抗-寡糖-2抗体 | 100ul | 6756.17 |
| MAB5374 | Anti-Huntingtin Protein Antibody,clone mEM48 | 抗-亨廷顿蛋白抗体(克隆mEM48) | 100ul | 6756.17 |
| 05-636 | Anti-phospho-Histone H2A.X(Ser139) Antibody,clone JBW301 | 抗磷酸组蛋白H2A.X(Ser139)抗体(克隆JBW301) | 200ug | 8045.50 |
| 05-636 | Anti-phospho-Histone H2A.X(Ser139) Antibody,clone JBW301 | 抗磷酸组蛋白H2A.X(Ser139)抗体(克隆JBW301) | 200ug | 8045.50 |
| AB144P | Anti-Choline Acetyltransferase Antibody | 抗胆碱乙酰基转移酶抗体 | 200ul | 4821.52 |
| ABE457 | Anti-c-Fos Antibody | 抗-c-Fos抗体 | 100ug | 4821.52 |
| MABS1251 | Anti-CYP11B2 Antibody,clone 41-17B | 抗-CYP11B2抗体(克隆41-17B) | 100ug | 4821.52 |
| MABC1152 | Anti-LINE-1 ORF1p Antibody,clone 4H1 | 抗-LINE-1 ORF1p抗体(克隆4H1) | 100ul | 4821.52 |
| 05-636-I | Anti-phospho-Histone H2A.X(Ser139) Antibody,clone JBW301 | 抗磷酸化组蛋白H2A.X(Ser139)抗体(克隆JBW301) | 200ug | 7722.84 |
| AB144P | Anti-Choline Acetyltransferase Antibody | 抗胆碱乙酰基转移酶抗体 | 500ul | 7722.84 |
| AB144P | Anti-Choline Acetyltransferase Antibody | 抗胆碱乙酰基转移酶抗体 | 1ml | 13023.09 |
| MAB1281 | Anti-Nuclei Antibody,clone 235-1 | 抗核抗体(克隆235-1) | 100ul | 5949.51 |
| MAB318 | Anti-Tyrosine Hydroxylase Antibody,clone LNC1 | 抗酪氨酸羟化酶抗体,克隆LNC1 | 100ul | 5949.51 |
| MAB4360 | Anti-TRA-1-60 Antibody,clone TRA-1-60 | 抗-TRA-1-60抗体(克隆TRA-1-60) | 100ug | 5949.51 |
| AB1569 | Anti-Dopa Decarboxylase Antibody | 抗多巴脱羧酶抗体 | 100ul | 5949.51 |
| MAB1398Z | Anti-PECAM-1 Antibody,clone 2H8,Azide Free | 抗-PECAM-1抗体(克隆2H8)无叠氮化物 | 100ug | 5949.51 |
| MAB360 | Anti-Glial Fibrillary Acidic Protein Antibody,clone GA5 | 抗神经胶质纤维酸性蛋白抗体,克隆GA5 | 100ul | 4337.53 |
| MAB354 | Anti-Somatostatin Antibody,clone YC7 | 抗-生长抑素抗体(克隆YC7) | 100ul | 4337.53 |
| MABE917 | Anti-DNA G-quadruplex structures Antibody,clone BG4 | 抗DNA G-四链体结构抗体(克隆BG4) | 200ul | 4337.53 |
| MAB1572 | Anti-Parvalbumin Antibody | 抗小清蛋白抗体 | 100ul | 4337.53 |
| MABE1095 | Anti-DNA-RNA Hybrid Antibody,clone S9.6 | 抗-DNA-RNA杂交抗体(克隆S9.6) | 100ug | 4660.19 |
| AB5535 | Anti-Sox9 Antibody | 抗Sox9抗体 | 100ug | 5466.84 |
| MAB386 | Anti-Myelin Basic Protein Antibody,a.a.82-87 | 抗-髓磷脂碱性蛋白抗体(a.a.82-87) | 1ml | 5466.84 |
| 询订13611631389微信同号 | ||||
| (授权代理Merck-Millipore-Sigma上海睿安生物)产品名称描述 | ||||
| MABS451 | Anti-Linear Ubiquitin Antibody,clone LUB9 | 抗-线性泛素抗体(克隆LUB9) | 100ug | 5466.84 |
| 217669 | Anti-CD28 Mouse mAb(ANC28.1/5D10) | 抗CD28小鼠单克隆抗体(ANC28.1/5D10) | 100ug | 5626.86 |
| MABF836 | Anti-EBI3 Antibody/IL-35,clone V1.4H6.25(Neutralizing) | 抗-EBI3抗体/IL-35(克隆V1.4H6.25)(中和) | 100ug | 5626.86 |
| ABN90 | Anti-NeuN Antibody | 抗-NeuN抗体 | 100ul | 6110.84 |
| AB3786 | Anti-Prosurfactant Protein C(proSP-C) Antibody | 抗-Prosurfactant蛋白C(proSP-C)抗体 | 100ul | 6110.84 |
| AB5541 | Anti-Glial Fibrillary Acidic Protein Antibody | 抗胶质纤维酸性蛋白抗体 | 50ul | 6110.84 |
| AB1542 | Anti-Tyrosine Hydroxylase Antibody | 抗酪氨酸羟化酶抗体 | 100ul | 6110.84 |
| AB5407 | Anti-Opsin Antibody,blue | 抗视蛋白抗体(蓝色) | 100ug | 6110.84 |
| AB5864 | Anti-Myelin Basic Protein Antibody | 抗髓磷脂碱性蛋白抗体 | 50ul | 6110.84 |
| ABN91 | Anti-NeuN Antibody | 抗-NeuN抗体 | 100ug | 6110.84 |
| ABN100 | Anti-Vesicular Acetylcholine Transporter(VAChT) Antibody | 抗囊泡乙酰胆碱转运蛋白(VAChT)抗体 | 100ug | 6110.84 |
| MAB374 | Anti-Glyceraldehyde-3-Phosphate Dehydrogenase Antibody,clone 6C5 | Anti-GAPDH(克隆6C5) | 200ug | 5144.17 |
| MABE1134 | Anti-dsRNA Antibody,clone rJ2 | 抗-dsRNA抗体(克隆rJ2) | 100ul | 5144.17 |
| ABE76-IM | Anti-Enterobacterio Phage MS2 Coat Protein | 抗-肠杆菌噬菌体MS2外壳蛋白 | 100ug | 5144.17 |
| MAB5406 | Anti-GAD67 Antibody,clone 1G10.2 | 抗GAD67抗体(克隆1G10.2) | 25ug | 1360.15 |
| 07-729 | Anti-CTCF Antibody | 抗CTCF抗体 | 25ul | 1360.15 |
| 05-724 | Anti-Myc Tag Antibody,clone 4A6 | 抗Myc标签抗体(克隆4A6) | 25ug | 1360.15 |
| MAB353 | Anti-Nestin Antibody,clone rat-401 | 抗Nestin抗体(克隆rat-401) | 100ug | 5945.51 |
| AB1541 | Anti-Tryptophan Hydroxylase Antibody | 抗色氨酸羟化酶抗体 | 100ul | 5945.51 |
| AB5905 | Anti-Vesicular Glutamate Transporter 1 Antibody | 抗-囊泡谷氨酸转运蛋白1抗体 | 50ul | 6594.84 |
| AB5084P | Anti-Dopamine D2 Receptor Antibody | 抗-多巴胺D2受体抗体 | 50ug | 6594.84 |
| AB5405 | Anti-Opsin Antibody,Red/Green | 抗视蛋白抗体(红色/绿色) | 100ug | 6594.84 |
| 询订13611631389微信同号 | ||||
| (授权代理Merck-Millipore-Sigma上海睿安生物)产品名称描述 | ||||
| AB5622 | Anti-Microtubule-Associated Protein 2(MAP2) Antibody | 抗微管相关蛋白2(MAP2)抗体 | 100ul | 7240.15 |
| CBL186 | Anti-DNA Antibody,clone AC-30-10 | 抗DNA抗体(克隆AC-30-10) | 50ug | 5637.36 |
| MAB302 | Anti-Glutamine Synthetase Antibody,clone GS-6 | 抗谷氨酰胺合成酶抗体(克隆GS-6) | 100ug | 8529.48 |
| AB769 | Anti-Collagen Type IV Antibody | 抗IV型胶原抗体 | 200ug | 7263.78 |
| MAB1596 | Anti-Post Synaptic Density Protein 95 Antibody,clone 6G6-1C9 | 抗突触后密度蛋白95抗体(克隆6G6-1C9) | 100ug | 6917.49 |
| MAB3420 | Anti-Tau-1 Antibody,clone PC1C6 | 抗Tau-1抗体(克隆PC1C6) | 100ug | 6917.49 |
| MAB1585 | Anti-Brn-3a Antibody,POU-domain protein,clone 5A3.2 | 抗Brn-3a抗体(POU域蛋白)克隆5A3.2 | 1ml | 5998.05 |
| MABE1006 | Anti-N6-methyladenosine Antibody(m6A),clone 17-3-4-1 | 抗N6-甲基腺苷抗体(m6A)(克隆17-3-4-1) | 100ug | 5305.50 |
| AB5804 | Anti-Glial Fibrillary Acidic Protein(GFAP) Antibody | 抗胶质纤维酸性蛋白(GFAP)抗体 | 50ul | 5305.50 |
| MAB2263 | Anti-GluR1-NT(NT) Antibody,clone RH95 | 抗GluR1-NT(NT)抗体(克隆RH95) | 100ug | 6594.84 |
| MABE343-AF647 | Anti-Puromycin,clone 12D10,Alexa Fluor® 647 Conjugate Antibody | 抗嘌呤霉素(克隆12D10)Alexa Fluor 647偶联抗体 | 100ul | 6594.84 |
| AB5078P | Anti-Beta-Amyloid 1-42 Antibody | 抗β-淀粉样蛋白1-42抗体 | 50ug | 6594.84 |
| AB9702 | Anti-Tyrosine Hydroxylase Antibody | 抗酪氨酸羟化酶抗体 | 500ul | 6283.99 |
| MAB1794 | Anti-Human B cells(CD19) Antibody,clone FMC63 | 抗人B细胞(CD19)抗体(克隆FMC63) | 100ug | 3861.41 |
| MAB5360 | Anti-Spinocerebellar Ataxia Type 3 Antibody,clone 1H9 | 抗-脊髓小脑共济失调3型抗体(克隆1H9) | 100ul | 8690.81 |
,我用20 ml,仍然不够稀?有人告诉我菌液应该稀一些,200 ml用30-40 ml重悬。但实际操作也不够理想。 SDS-PAGE总是观察到细胞破碎效果不够彻底。超声那么多次,蛋白都要被超碎变性了。 3、酵母的破碎 酵母是一类单细胞真菌的总称,其成员分别属于不同的真菌纲,细胞壁成分是否会有较大差别,这些都是做破碎酵母细胞前要考虑的。我归纳了一下,做破碎酵母的几种方法: 1 机械的方法:一般的PROTOCOL都是用glass beads:如 sigma G-8772,加玻璃珠后超声,蛋白










