相关产品推荐更多 >

Santa Cruz货号SC-13551现货SREBP-1抗体(2A4)上海睿安生物19121878899
¥2377.01
Sigma货号07-352抗乙酰组蛋白H3(Lys9)抗体19121878899上海睿安生物
¥7724.57
Sigma货号C8104单克隆抗(神经酰胺)(小鼠抗)13611631389上海睿安生物
¥7902.85
Novus货号NB100-1953现货Phosphoserine Antibody-BSA Free上海睿安生物Novus官方授权19121878899
¥4397.01
Sigma货号217669抗CD28小鼠单克隆抗体(ANC28.1/5D10)上海睿安生物13611631389
¥6020.01
万千商家帮你免费找货
0 人在求购买到急需产品
- 详细信息
- 文献和实验
- 技术资料
- 英文名:
Anti-MAP1LC3B Antibody
- 保质期:
1年
- 保存条件:
-20°C
- 库存:
100⁺支
- 供应商:
上海睿安生物13611631389
- 规格:
100μl/支
Sigma货号L7543-100μl现货Anti-LC3B兔抗(Anti-MAP1LC3B Antibody)上海睿安生物13611631389
Sigma货号L7543-200μl现货Anti-LC3B兔抗(Anti-MAP1LC3B Antibody)上海睿安生物13611631389
Anti-MAP1LC3B Antibody
rabbit polyclonal
别名:LC3B抗体-产自兔中的抗-LC3B抗体,Lc3B抗体,Sigma Lc3抗体,抗-MAP1A/1B轻链3B,抗-MAP1A/1B轻链3样蛋白2,抗-MAP1A/MAP1B LC3 B,抗-微管相关蛋白1A/B轻链3B前体,抗-自噬相关泛素样修饰物LC3 B,抗-自噬相关蛋白LC3 B
说明
一般描述
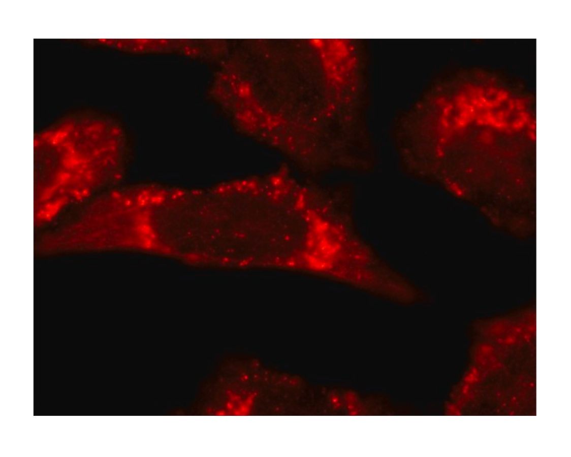
特异性:通过免疫印迹,LC3B抗体可识别人、大鼠和小鼠LC3B-1和LC3B-II(分别为~18 kDa和~16 kDa)。
免疫原:对应于人LC3B第2-15个氨基酸的合成肽,通过C-末端的半胱氨酸残基与KLH发生偶联。相应的序列在大鼠和小鼠中相差一个氨基酸。
应用
生化/生理作用
外形:含有15mM叠(dàn)化钠的pH 7.4 0.01M磷酸盐缓冲液中的溶液。
其他说明:2024年CiteAb奖,授予在帕金森氏病研究方面取得成功的供应商
免责声明:除非在我们的产品目录或产品随附的其他公司文档中另有说明,我们的产品仅供研究使用并不得用于任何其他目的,包括但不限于未经授权的商业用途、体外诊断用途、离体或体内治疗用途、任何类型的食用或应用于人或动物。





同行评审论文(部分文献)








风险提示:丁香通仅作为第三方平台,为商家信息发布提供平台空间。用户咨询产品时请注意保护个人信息及财产安全,合理判断,谨慎选购商品,商家和用户对交易行为负责。对于医疗器械类产品,请先查证核实企业经营资质和医疗器械产品注册证情况。
文献和实验Sigma货号L7543-100μl现货Anti-LC3B兔抗(Anti-MAP1LC3B Antibody)上海睿安生物13611631389
Sigma货号L7543-200μl现货Anti-LC3B兔抗(Anti-MAP1LC3B Antibody)上海睿安生物13611631389
Anti-MAP1LC3B Antibody
rabbit polyclonal
别名:LC3B抗体-产自兔中的抗-LC3B抗体,Lc3B抗体,Sigma Lc3抗体,抗-MAP1A/1B轻链3B,抗-MAP1A/1B轻链3样蛋白2,抗-MAP1A/MAP1B LC3 B,抗-微管相关蛋白1A/B轻链3B前体,抗-自噬相关泛素样修饰物LC3 B,抗-自噬相关蛋白LC3 B
说明
一般描述
特异性:通过免疫印迹,LC3B抗体可识别人、大鼠和小鼠LC3B-1和LC3B-II(分别为~18 kDa和~16 kDa)。
免疫原:对应于人LC3B第2-15个氨基酸的合成肽,通过C-末端的半胱氨酸残基与KLH发生偶联。相应的序列在大鼠和小鼠中相差一个氨基酸。
应用
生化/生理作用
外形:含有15mM叠(dàn)化钠的pH 7.4 0.01M磷酸盐缓冲液中的溶液。
其他说明:2024年CiteAb奖,授予在帕金森氏病研究方面取得成功的供应商
免责声明:除非在我们的产品目录或产品随附的其他公司文档中另有说明,我们的产品仅供研究使用并不得用于任何其他目的,包括但不限于未经授权的商业用途、体外诊断用途、离体或体内治疗用途、任何类型的食用或应用于人或动物。





同行评审论文(部分文献)








。如果单克隆一抗是小鼠IgG的某一亚类(IgG1,IgG2a,IgG2b,IgG3),那么几乎所有的抗小鼠IgG都可以与之结合,或者你也可以选择专门针对这一亚类的二抗,例如,如果你的一抗是小鼠IgG1,那么你可以选择抗IgG1的二抗,此种抗体在双标记实验中尤其适合。在不清楚一抗为何种类/亚类的情况下,可以选用抗相应物种IgG。艾美捷能为您提供通用的IgG(H+L)二抗,或者特异性只结合IgM的Anti IgM (mu) Antibody、IgA的Anti IgA (alpha-Antibody、IgE
-IgG(H+L)、Anti-IgG (gamma)、Anti-IgM (mu)、Anti-IgA (alpha)】 在一些特殊的实验里,只需要检测样本里的IgG或者IgM,常规的Anti-IgG (H+L)由于与IgG的重链和轻链都有结合反应,而IgG、IgM、IgA都有保守的轻链结构域,因此不能特异性的检测某种类型的IgG或者IgM。这时候就需要针对特殊类型Ig分子的二抗。艾美捷备有全面的二抗现货产品并能提供最完整的二抗产品线。
)、Anti-IgA (alpha)】 在一些特殊的实验里,只需要检测样本里的IgG或者IgM,常规的Anti-IgG (H+L)由于与IgG的重链和轻链都有结合反应,而IgG、IgM、IgA都有保守的轻链结构域,因此不能特异性的检测某种类型的IgG或者IgM。这时候就需要针对特殊类型Ig分子的二抗。***捷备有全面的二抗现货产品并能提供最完整的二抗产品线。主要二抗品牌为全球最大的二抗产品Jackson二抗以及前沿抗体生产商EarthOx。按照标记分,有HRP、AP、生物素等标记二抗,FITC
技术资料需要更多技术资料 索取更多技术资料
资料下载:
⁺询订13611631389微信同号.png 附 (下载 0 次)
35579720上海睿安生物科技有限SLSCC化学类2025授权书Sigma.pdf 附 (下载 0 次)
610012187上海睿安生物科技公司SLSCC化学类2025授权书Merck.pdf 附 (下载 0 次)
35579720上海睿安生物SLSCA分析化学品Sigma标准物质2025授权.pdf 附 (下载 0 次)
610012187上海睿安生物SLSCA分析化学品Merck标准物质2025授权.pdf 附 (下载 0 次)
请 [登录] 后再下载!






