相关产品推荐更多 >
万千商家帮你免费找货
0 人在求购买到急需产品
- 详细信息
- 文献和实验
- 技术资料
- 免疫原:
Recombinant fragment of human CD66e.
- 亚型:
IgG
- 形态:
Liquid
- 保存条件:
Store as concentrated solution. Centrifuge briefly prior to opening vial. For short-term storage (1-2 weeks), store at 4ºC. For long-term storage, aliquot and store at -20ºC or below. Avoid multiple freeze-thaw cycles.
- 克隆性:
Monoclonal
- 标记物:
Unconjugated
- 保质期:
12 months from the shipping date of the product.
- 抗原来源:
Human
- 目录编号:
GTX638816
- 级别:
Primary Antibodies
- 库存:
Available
- 供应商:
GeneTex
- 宿主:
Rabbit
- 应用范围:
WB, IHC-P
- 浓度:
1 mg/ml (Please refer to the vial label for the specific concentration.)
- 抗体英文名:
CD66e antibody [HL2467]
- 抗体名:
CD66e 抗体 [HL2467]
- 规格:
100 μl/25 μl
| 规格: | 100 μl | 产品价格: | ¥4000.0 |
|---|---|---|---|
| 规格: | 25 μl | 产品价格: | ¥1700.0 |
Various whole cell extracts (30 μg) were separated by 5% SDS-PAGE, and the membrane was blotted with CD66e antibody [HL2467] (GTX638816) diluted at 1:1000. The HRP-conjugated anti-rabbit IgG antibody (GTX213110-01) was used to detect the primary antibody. Corresponding RNA expression data for the same cell lines are based on Human Protein Atlas program.
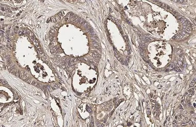
CD66e antibody [HL2467] detects CD66e protein at cell membrane and cytoplasm by immunohistochemical analysis.
Sample: Paraffin-embedded human colon cancer.
CD66e stained by CD66e antibody [HL2467] (GTX638816) diluted at 1:100.
Antigen Retrieval: Citrate buffer, pH 6.0, 15 min
Untreated (–) and treated (+) MCF-7 whole cell extracts (30 μg) were separated by 7.5% SDS-PAGE, and the membrane was blotted with CD66e antibody [HL2467] (GTX638816) diluted at 1:1000. The HRP-conjugated anti-rabbit IgG antibody (GTX213110-01) was used to detect the primary antibody.
风险提示:丁香通仅作为第三方平台,为商家信息发布提供平台空间。用户咨询产品时请注意保护个人信息及财产安全,合理判断,谨慎选购商品,商家和用户对交易行为负责。对于医疗器械类产品,请先查证核实企业经营资质和医疗器械产品注册证情况。
文献和实验CD66a/CD66b/CD66c/CD66d/CD66e/CD66f/CD67分子
CD66a/CD66b/CD66c/CD66d/CD66e/CD66f/CD67 分子 CD66a 常用单克隆抗体或代号: BGP- 1 主要表达细胞: G,En [M] 分子质量(kDa)和结构: gp180- 200(胆汁糖蛋白- 1)(IgSF) 功 能: 嗜同性结合,也可识别CD62E CD66b 常用单克隆抗体或代号: MF25.1;(P100,原CD67,CGM6) 主要表达
Lightning-Link 30 seconds hands on Very Easy to use 100% Antibody Recovery No separation steps Little antibody needed Easy to Scale Up Over 40 available labels http://www.youtube.com/v/w0XmU
charge (GEC) for three human acute myelogenous leukemia (AML) cell lines: HL60 (M3 subtype of AML), THP1 (M5 subtype of AML), and HEL (M6 subtype of AML) in French-American-British classification (FAB) and for one chronic myelogenous leukemia (CML) cell
技术资料暂无技术资料 索取技术资料







![PPP1A antibody [5E9]](https://img1.dxycdn.com/2022/0328/738/9251243674713500453-14.jpg!wh200)



