相关产品推荐更多 >
万千商家帮你免费找货
0 人在求购买到急需产品
- 详细信息
- 文献和实验
- 技术资料
- 免疫原:
Recombinant fragment of human SMYD3.
- 亚型:
IgG
- 形态:
Liquid
- 保存条件:
Store as concentrated solution. Centrifuge briefly prior to opening vial. For short-term storage (1-2 weeks), store at 4ºC. For long-term storage, aliquot and store at -20ºC or below. Avoid multiple freeze-thaw cycles.
- 克隆性:
Monoclonal
- 标记物:
Unconjugated
- 保质期:
12 months from the shipping date of the product.
- 抗原来源:
Human
- 目录编号:
GTX638782
- 级别:
Primary Antibodies
- 库存:
Available
- 供应商:
GeneTex
- 宿主:
Rabbit
- 应用范围:
WB, IHC-P
- 浓度:
1 mg/ml (Please refer to the vial label for the specific concentration.)
- 抗体英文名:
SMYD3 antibody [HL2464]
- 抗体名:
SMYD3 抗体 [HL2464]
- 规格:
100 μl/25 μl
| 规格: | 100 μl | 产品价格: | ¥4000.0 |
|---|---|---|---|
| 规格: | 25 μl | 产品价格: | ¥1700.0 |
Whole cell extract (30 μg) was separated by 10% SDS-PAGE, and the membrane was blotted with SMYD3 antibody [HL2464] (GTX638782) diluted at 1:1000. The HRP-conjugated anti-rabbit IgG antibody (GTX213110-01) was used to detect the primary antibody, and the signal was developed with Trident ECL plus-Enhanced.
SMYD3 antibody [HL2464] detects SMYD3 protein by immunohistochemical analysis.
Sample: Paraffin-embedded rat tissues.
SMYD3 stained by SMYD3 antibody [HL2464] (GTX638782) diluted at 1:100.
Antigen Retrieval: Citrate buffer, pH 6.0, 15 min
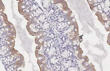
SMYD3 antibody [HL2464] detects SMYD3 protein at cytoplasm by immunohistochemical analysis.
Sample: Paraffin-embedded mouse colon.
SMYD3 stained by SMYD3 antibody [HL2464] (GTX638782) diluted at 1:100.
Antigen Retrieval: Citrate buffer, pH 6.0, 15 min
Whole zebrafish extract (50 μg) was separated by 10% SDS-PAGE, and the membrane was blotted with SMYD3 antibody [HL2464] (GTX638782) diluted at 1:1000. The HRP-conjugated anti-rabbit IgG antibody (GTX213110-01) was used to detect the primary antibody, and the signal was developed with Trident femto Western HRP Substrate.
Various whole cell extracts (30 μg) were separated by 10% SDS-PAGE, and the membrane was blotted with SMYD3 antibody [HL2464] (GTX638782) diluted at 1:1000. The HRP-conjugated anti-rabbit IgG antibody (GTX213110-01) was used to detect the primary antibody. Corresponding RNA expression data for the same cell lines are based on Human Protein Atlas program.
风险提示:丁香通仅作为第三方平台,为商家信息发布提供平台空间。用户咨询产品时请注意保护个人信息及财产安全,合理判断,谨慎选购商品,商家和用户对交易行为负责。对于医疗器械类产品,请先查证核实企业经营资质和医疗器械产品注册证情况。
文献和实验Lightning-Link 30 seconds hands on Very Easy to use 100% Antibody Recovery No separation steps Little antibody needed Easy to Scale Up Over 40 available labels http://www.youtube.com/v/w0XmU
charge (GEC) for three human acute myelogenous leukemia (AML) cell lines: HL60 (M3 subtype of AML), THP1 (M5 subtype of AML), and HEL (M6 subtype of AML) in French-American-British classification (FAB) and for one chronic myelogenous leukemia (CML) cell
Phenotype-specific immunodetection of cyclins using 488/630 nm dual laser flow cytometry
antibody against surface marker of interest 0.1% paraformaldehyde in PBS 70% EtOH in glycerol (stored at 4°C) staining buffer (1% BSA in PBS with 0.005% Tween 20 and 0.1% sodium azide) propidium iodide (50 m g/ml solution with 100 U/ml DNase-free
技术资料暂无技术资料 索取技术资料








![MCP1 / CCL2 antibody [2D8]](https://img1.dxycdn.com/2022/0328/464/9882087636523500453-14.jpg!wh200)
![TBCEL antibody [AT1B10]](https://img1.dxycdn.com/2022/0328/587/4289572225112400453-14.jpg!wh200)

