万千商家帮你免费找货
0 人在求购买到急需产品
- 详细信息
- 文献和实验
- 技术资料
- 服务名称:
内分泌代谢类动物模型
- 提供商:
XSL
1型糖尿病: 易发生酮病,依赖于胰岛素;
2型糖尿病: 属非酮病型,人类糖尿病 90% 以上为此类糖尿病。2型糖尿病及其并发症的迅速蔓延已经成为严重威胁人类健康的世界性公共卫生问题。而合适的糖尿病动物模型则是糖尿病研究的重要基础。公司拥有SPF级动物实验平台, 能为广大科研用户提供动物疾病模型,以及动物实验外包技术服务。在内分泌代谢类疾病动物模型中,公司可以提供自发性Ⅱ型糖尿病大鼠模型,诱发性Ⅱ型糖尿病大鼠模型技术服务,欢迎大家在线及电话咨询相关资讯。
案例一:
大鼠I型糖尿病模型
动物案例
取适应性饲养一周的健康雄性Wistar大鼠(具体选择根据要求确定)。
实验所需器械
- 注射器
- 链尿佐菌素(STZ)
- 柠檬酸缓冲液(PH4.2,柠檬酸、柠檬酸钠)
实验步骤
STZ配制:用柠檬酸缓冲液(PH4.2)配制,STZ终浓度为1%。柠檬酸(FW:210.14)2.1g加入双蒸水100mL中配成A 液;柠檬酸钠(FW:294.10)2.94g加入双蒸水100mL中配成B液。用时将A、B液按1:1.32混合(或1:1),PH计测定PH 值,调节PH=4.2-4.5,即是所需配置STZ的柠檬酸缓冲液,缓冲液须4℃保存,时效一周。 STZ要现配现用,配置最好在冰 上操作,注意避光,因为STZ见光易分解。注射要快(注射时最好将配好的STZ置冰浴上直至打完),要在配好后2小时内打完。
注射造模:
大鼠禁食24h后,精确称量体重,按照60mg/kg(55-75mg/kg均可,具体根据要求确定)的剂量予大鼠一次性腹腔注射1%STZ溶液。
饮食:普通饮食,勤加水,勤换垫料。
验证:注射72h后,剪掉大鼠尾部尖端少许,用血糖仪测量大鼠血糖,血糖高于16.7mmol/L视为造模成功。造模不成功者,补注STZ(10mg-20mg/kg)
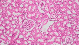
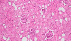
鉴定对比
I型糖尿病组-肾HE染色
正常组-肾HE染色
风险提示:丁香通仅作为第三方平台,为商家信息发布提供平台空间。用户咨询产品时请注意保护个人信息及财产安全,合理判断,谨慎选购商品,商家和用户对交易行为负责。对于医疗器械类产品,请先查证核实企业经营资质和医疗器械产品注册证情况。
文献和实验张锋/曹云霞/司维/谭跃球等团队联合发现首个灵长类特异的弱畸精子症致病基因 SSX1
基因,对于这一类致病基因,已经无法使用啮齿类动物进行致病性、表型和分子机理的研究。通过进化分析,研究者选用了与人类进化关系极为接近的食蟹猴和树鼩进行了表型和致病机理的分析。由于灵长类或近灵长类动物生殖周期较长,通过基因编辑构建的模型无法实现短时间内的表型观察研究。研究者们选用了技术上较为成熟的腺相关病毒介导的 shRNA 干扰方法,通过睾丸网注射实现了 Ssx1 基因的在体敲降。进一步的表型观察发现,食蟹猴和树鼩均表现为严重的弱精、精子畸形相关的表型(图 3,图 4)。 图 3. 树鼩 Ssx1 基因敲降模型
(11): 1413‒1429] 研究人员发现,很多 AAV 变体(如 AAV-PHP.eB)虽然在小鼠中表现优异,但是无法应用到灵长类动物等大型动物模型。这种物 种差异性严重限制了在小鼠中筛选得到的 AAV 变体向临床应用的转化。因此,直接在与人更近的非人灵长类体内做定向进化 筛选,成了提高临床可转化性的关键路径。 AAV9P801 是 Voyager Therapeutics 通过 TRACER™(Translationally Optimized Capsid Evolution
% 的尿酸从含嘌呤或核蛋白丰富的食物中分解得到。由于在人类中尿酸酶基因沉默不表达,因此患高尿酸血症的风险也大大增加。而在多数哺乳类动物中尿酸氧化酶基因正常表达,尿酸直接分解成尿囊素,随尿液排出体外。因此在动物模型中复制人类高尿酸血症具有一定困难。 高尿酸模型造模机制 常用的高尿酸血症动物模型主要分为两类:药物诱导模型和基因敲除模型。前者是根据尿酸的代谢途径使用药物,通过增加尿酸来源或减少尿酸排泄来实现,又分为三类:增加尿酸的摄入、抑制尿酸的排泄、抑制尿酸酶活性;后者主要涉及到尿酸酶 Uox 和转运
技术资料暂无技术资料 索取技术资料









