万千商家帮你免费找货
0 人在求购买到急需产品
- 详细信息
- 技术资料
- 服务名称:
外科类动物模型
- 提供商:
XSL
外科类动物模型
外科实验动物模型是提高临床上对某些外科疾病的认识,探讨疾病发生的本质和发展的规律,验证临床医学发现,推动外科手术学发展的重要工具。可以说,实验外科学对现代外科的发展起着重要的桥梁作用,而外科实验动物模型是现代外科学理论和新的手术方法创新、突破和发展的先导和前题,是外科学、手术学发展的重要基础,已经和正在起着越来越重要的作用。
公司拥有SPF级动物实验平台,能为广大科研用户提供动物疾病模型,以及动物实验外包技术服务。在外科类疾病动物模型中,公司可以提供下表中的技术服务,欢迎大家在线及电话咨询相关资讯。
大鼠类风湿性关节炎模型、大鼠骨关节炎模型、大鼠骨质酥松模型、激素股骨头坏死模型、大鼠足肿胀模型
案例一:大鼠骨质疏松模型
动物案例
雌性SD大鼠,体重250g
造模方法
手术摘除双侧卵巢
背侧部双切口入路切除卵巢,建立大鼠绝经后骨质疏松模型。切除双侧卵巢的大鼠体内雌激素分泌水平下降,破骨细胞功能活跃,成骨细胞的功能代偿性增强,但总趋势是骨吸收大于骨形成,骨骼呈高转换状态。该模型引起的骨质疏松与人类女性绝经后骨丢失相近。
造模周期
1-2天
模型成功率 60%
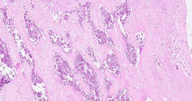
模型鉴定及图片
股骨HE染色
抗酒石酸性磷酸酶(TRAP)染色
外科实验动物模型是提高临床上对某些外科疾病的认识,探讨疾病发生的本质和发展的规律,验证临床医学发现,推动外科手术学发展的重要工具。可以说,实验外科学对现代外科的发展起着重要的桥梁作用,而外科实验动物模型是现代外科学理论和新的手术方法创新、突破和发展的先导和前题,是外科学、手术学发展的重要基础,已经和正在起着越来越重要的作用。
公司拥有SPF级动物实验平台,能为广大科研用户提供动物疾病模型,以及动物实验外包技术服务。在外科类疾病动物模型中,公司可以提供下表中的技术服务,欢迎大家在线及电话咨询相关资讯。
大鼠类风湿性关节炎模型、大鼠骨关节炎模型、大鼠骨质酥松模型、激素股骨头坏死模型、大鼠足肿胀模型
案例一:大鼠骨质疏松模型
动物案例
雌性SD大鼠,体重250g
造模方法
手术摘除双侧卵巢
背侧部双切口入路切除卵巢,建立大鼠绝经后骨质疏松模型。切除双侧卵巢的大鼠体内雌激素分泌水平下降,破骨细胞功能活跃,成骨细胞的功能代偿性增强,但总趋势是骨吸收大于骨形成,骨骼呈高转换状态。该模型引起的骨质疏松与人类女性绝经后骨丢失相近。
造模周期
1-2天
模型成功率 60%
模型鉴定及图片
股骨HE染色
抗酒石酸性磷酸酶(TRAP)染色
风险提示:丁香通仅作为第三方平台,为商家信息发布提供平台空间。用户咨询产品时请注意保护个人信息及财产安全,合理判断,谨慎选购商品,商家和用户对交易行为负责。对于医疗器械类产品,请先查证核实企业经营资质和医疗器械产品注册证情况。
技术资料暂无技术资料 索取技术资料
外科类动物模型
询价









