万千商家帮你免费找货
0 人在求购买到急需产品
- 详细信息
- 文献和实验
- 技术资料
- 提供商:
XSL
- 服务名称:
牙正畸模型
随着社会经济的发展,生活水平的日益提高,人们对美的追求也随之越来越高, 尤其是颜面部的美观。加之口腔保健知识的普及,人们认识到错(黔)畸形不仅在很大程度上影响颌面部的美观,还影响呼吸,语言等功能,具有较大危害。牙齿接受正畸治疗时受正畸力产生移动。牙齿移动的过程正是颌骨改建的过程。口腔正畸治疗过程中在牙齿上施加矫治力,施加的矫治力必然产生一个大小相等但方向相反的力。“支抗”的作用就是抵消矫治力的反作用力,支抗所产生的支抗力构成了牙齿矫正的力学基础。大鼠牙正畸模型的基于此而开发,主要用于构建诊治牙齿畸形的新药研究提供理想的动物模型。
应用方向:牙科相关课题。
关键词:牙正畸、正畸牙移动、Orthodontic tooth movement、OTM
实验动物:大鼠品系:SD、Wistar;小鼠品系:C57BL/6;周龄:6-8周;性别不限。
造模方法:麻醉后固定于板上,仰面扩开口腔,清洁口腔牙面后在上门牙及上颌左侧第一颗门牙处涂抹37%磷酸酸蚀剂,30s后去除酸蚀剂,可见牙面呈白垩色,用0.2mm结扎丝穿过左侧第一颗磨牙与第二颗磨牙,将结扎丝把镍钛弹簧一段固定与第一颗磨牙牙颈处,再将一根 0.2mm结扎丝把镍钛弹簧另一端固定于上门牙处,用测力计测定拉力。用流动树脂将弹簧两头的结扎丝分别固定于左侧上颌第一磨牙处、上门牙牙颈处,防止装置脱落。
图1牙齿位移定点示意图
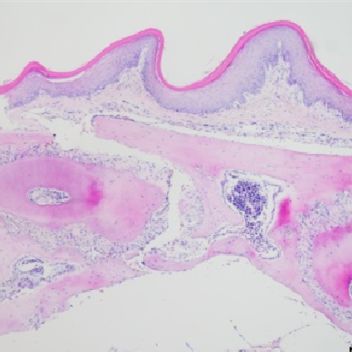
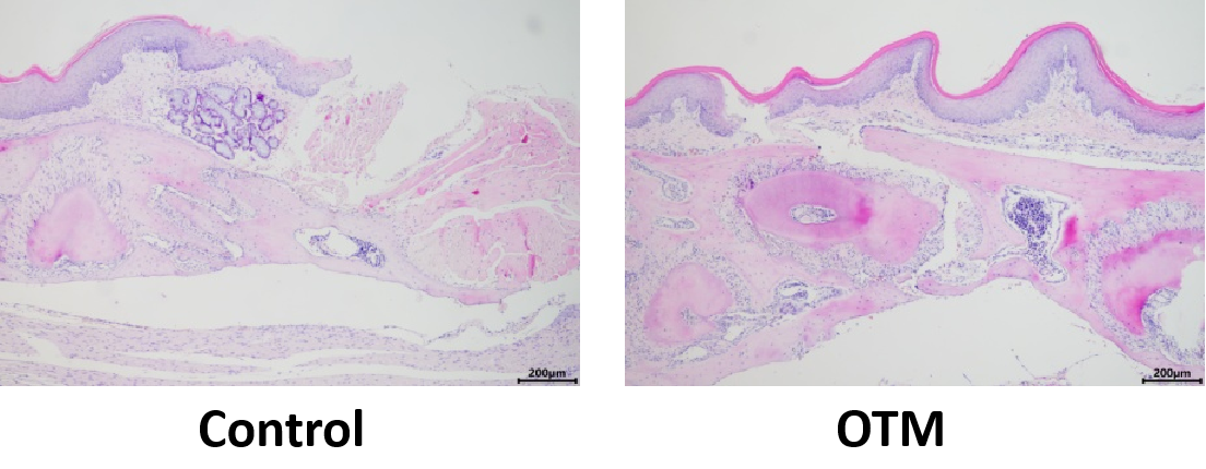
模型验证:取牙周组织进行HE染色,与对照组相比,模型组细胞排列疏散,且胞浆染色加深,炎症细胞浸润加重,表明模型成功。
图2 HE模型验证(200X)
风险提示:丁香通仅作为第三方平台,为商家信息发布提供平台空间。用户咨询产品时请注意保护个人信息及财产安全,合理判断,谨慎选购商品,商家和用户对交易行为负责。对于医疗器械类产品,请先查证核实企业经营资质和医疗器械产品注册证情况。
文献和实验深覆盖者则上前牙暴露在口外,侧面像显得下颌及颏部后缩,上下颌极不相称。 诊断依据 1.下颌后缩的口腔模型与上颌前突者相似,前牙深覆盖常伴有深覆合,不同之处为上颌位置正常,下颌颏部后缩。 2.X线头影测量显示SNB角和面角小于正常范围。ANB角大于正常,SNA角正常。 治疗原则 1.功能型下颌后缩疗法:(1)戴入附平面导板的上颌活动矫治器,同时尽量磨除个别牙间干扰,并做翼外肌功能锻炼,当中性咬合习惯已基本完成,则将平面导板改做斜面导板,等后牙恢复接触后,需继续戴斜面
, 625U/ml ; 培养液: DMEM + 10 % FBS ; 2、 Protocol : u 取拔除的正畸牙或阻生牙(年龄小者较佳),置于培养皿中,用手术刀仔细刮除附着在牙根上的牙龈组织,然后用 PBS 反复冲洗,以去除残余组织以及牙根表面的血细胞; u 将牙放入离心管,加入胶原酶 2 - 3ml/ 牙, 37 ℃ , 1 小时; u 加入等量培养
前牙深覆盖是指自上前牙切端至下前牙唇面的最大水平距离过高3mm者,是较常见的错合畸形,常伴有前牙深覆合。 临床表现 1.按深覆盖量的多少将深覆盖分为3度。 Ⅰ度深覆盖:上前牙切端下前牙唇面的最大水平距离为3-5mm。 Ⅱ度深覆盖:5-7mm。 Ⅲ度深覆盖:7mm以上。 严重者可达10mm以上。 2.分型 牙型:其上下颌骨之间以及与颅面关系一般正常,即磨牙关系为中性合,没有明显骨骼异常,上下前牙呈深覆盖。 功能型:上颌发育一般正常,后牙为远中合关系,但让
技术资料暂无技术资料 索取技术资料










