万千商家帮你免费找货
0 人在求购买到急需产品
- 详细信息
- 技术资料
- 提供商:
XSL
- 服务名称:
肺动脉高压动物模型动物实验
肺动脉高压(Pulmonary hypertension,PH)是以小肺动脉的血管增生和重构为主要特征的一种疾 病。小肺动脉的血管增生和重构导致肺血管阻力进行性增加,最终引起右心衰竭和死亡。
目前诊断肺动脉高压的标准为:海平面、静息状态下,右心导管测定平均肺动脉压>25 mmHg,或运 动状态下平均肺动脉压>30 mmHg。对于PH,除了上述标准外,尚需满足肺毛细血管嵌顿压或左心室舒张 末压≤15 mmHg,肺血管阻力>3 Wood单位。如无右心导管检查资料,一般认为,多普勒超声检查提示肺 动脉收缩压>40 mmHg(相当于多普勒超声检查三尖瓣血流反流速率>310 m/s)也可初步诊断为PH。根据静 息状态下的平均肺动脉压水平可分为轻度PH(26~35 mmHg)、中度PH(36~45 mmHg)和重度PH (>45 mmHg)。
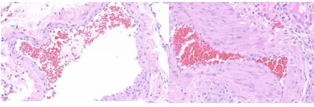
模型组大鼠(右)相对于对照组小鼠肺部动脉血管HE染色对比
实验动物选择:
研究肺动脉高压所用的实验动物有大鼠、犬、绵羊、牛、猪等。
造模方法:
目前常用模型制作方法为慢性低氧(chronically hypoxic)法、野百合碱 (Monocrotaline,MCT)注射、分 流手术(surgical shunt)等方法,近年报道有新生内膜产生的重度肺动脉高压模型。
野百合碱注射法:
野百合碱造肺动脉高压常采用雄性Wistar大鼠。原理是野百合碱的毒性损害肺动脉致肺动脉高压,野 百合碱是双咯类生物碱,在肝脏内经P450单氧化酶转化后,经由血液循环到达肺脏,可引起肺动脉血管不 可逆性的损伤。
肺动脉血管内皮细胞被认为是野百合碱的靶细胞,内皮细胞损伤在肺动脉血管重建过程中起着关键作 用。野百合碱诱导的大鼠肺动脉高压过程中,炎症反应在其发病机制中扮演重要角色,是一种很接近结缔 组织相关肺动脉高压发病机制的动物模型。应用该模型对结缔组织相关肺动脉高压的发病机制以及药物干 预进行研究,是比较合理的选择。
野百合碱造肺动脉高压模型,常使用两种浓度的野百合碱溶液。将MCT结晶用乙醇和生理盐水(多为 2∶8)混合液配成1%~2%溶液,大鼠按50~60 mg/kg,一次性腹腔或皮下注射,一般在给药后2~3周, 即可形成PH,发生肺动脉重构。
将MCT先溶于1 mol/L浓盐酸,加1 ml的去离子水,然后用1 mol/L的氢氧hua钠调pH至7.4,最后加5 ml去离子水。MCT组大鼠一次性腹腔注射MCT(60 mg/kg),3周后成功复制肺动脉高压模型。
有报道认为雌激素能抑制MCT的作用,雌性鼠对MCT较不敏感,且雌激素血浓度有周期性变化,将会 影响病理模型的稳定。此外野百合碱导致肺动脉各级血管内皮细胞广泛、不可逆的损伤,不利于进行干预 效果的研究。
该法操作简单、难度小、试剂易获得、花费较低,一般给药后3~4周模型即可成功,且可在较短时间 内进行大量动物的造模操作。单纯用该法复制的肺动脉高压模型不能形成肺小动脉新生内膜。
手术分流术:
实验动物选择牛、猪、羊、兔、大鼠等动物。
动脉与肺动脉间的分流
大中动脉压力要高于肺动脉的压力,在动脉与肺动脉间建立分流,可以有效的使体循环的血液向肺循 环内分流,使得肺循环血液增多,达到左向右分流的目的。多数是利用猪、羊和狗等大动物,采用左锁骨 下动脉与左肺动脉、左肺动脉分支与降主动脉行端侧吻合或者左锁骨下动脉与左下叶肺动脉行端端吻合或 者在主动脉与肺动脉之间放置移植物行侧侧吻合。
对4~12周龄的猪手术行胸主动脉与肺动脉主干吻合术,术后经过1~3个月发现4周龄猪有更加严重的肺动脉高压,认为该模型能够模拟先天性心脏病的左向右分流导致的肺动脉高压。
本类模型对先天性心脏病的左向右分流的模拟较好,目与肺动脉高压的病理生理情况相似。但此类模型手术血管间吻合术技术性高,难度大,创伤大,死亡率较高,目实验动物体型要求较大,成本较高
动静脉之间的分流
动静脉之间压力差较大,在动静脉之间建立吻合,动脉血分流入静脉,致使回流入右心血液增加,右 心射入肺动脉的血液增加,最终形成高动力型肺动脉高压。常采用手术对大鼠施行腹主动脉-下腔静脉分 流,造成体循环之间的分流,可造成PH模型。
将兔麻醉后,采用颈部正中切口,显露右侧颈外静脉,在颈外静脉第一个属支下方结扎其远端。游离 右侧颈总动脉,近心端用小血管夹阻断血流,在颈内、外动脉分叉处下方约0.5 cm处结扎并斜行切断颈总 动脉。用小血管夹阻断颈外静脉近心端,于颈外静脉内侧适当位置做一约2 mm切口,使用7-0 Prolene线 行颈动。
目前诊断肺动脉高压的标准为:海平面、静息状态下,右心导管测定平均肺动脉压>25 mmHg,或运 动状态下平均肺动脉压>30 mmHg。对于PH,除了上述标准外,尚需满足肺毛细血管嵌顿压或左心室舒张 末压≤15 mmHg,肺血管阻力>3 Wood单位。如无右心导管检查资料,一般认为,多普勒超声检查提示肺 动脉收缩压>40 mmHg(相当于多普勒超声检查三尖瓣血流反流速率>310 m/s)也可初步诊断为PH。根据静 息状态下的平均肺动脉压水平可分为轻度PH(26~35 mmHg)、中度PH(36~45 mmHg)和重度PH (>45 mmHg)。
模型组大鼠(右)相对于对照组小鼠肺部动脉血管HE染色对比
实验动物选择:
研究肺动脉高压所用的实验动物有大鼠、犬、绵羊、牛、猪等。
造模方法:
目前常用模型制作方法为慢性低氧(chronically hypoxic)法、野百合碱 (Monocrotaline,MCT)注射、分 流手术(surgical shunt)等方法,近年报道有新生内膜产生的重度肺动脉高压模型。
野百合碱注射法:
野百合碱造肺动脉高压常采用雄性Wistar大鼠。原理是野百合碱的毒性损害肺动脉致肺动脉高压,野 百合碱是双咯类生物碱,在肝脏内经P450单氧化酶转化后,经由血液循环到达肺脏,可引起肺动脉血管不 可逆性的损伤。
肺动脉血管内皮细胞被认为是野百合碱的靶细胞,内皮细胞损伤在肺动脉血管重建过程中起着关键作 用。野百合碱诱导的大鼠肺动脉高压过程中,炎症反应在其发病机制中扮演重要角色,是一种很接近结缔 组织相关肺动脉高压发病机制的动物模型。应用该模型对结缔组织相关肺动脉高压的发病机制以及药物干 预进行研究,是比较合理的选择。
野百合碱造肺动脉高压模型,常使用两种浓度的野百合碱溶液。将MCT结晶用乙醇和生理盐水(多为 2∶8)混合液配成1%~2%溶液,大鼠按50~60 mg/kg,一次性腹腔或皮下注射,一般在给药后2~3周, 即可形成PH,发生肺动脉重构。
将MCT先溶于1 mol/L浓盐酸,加1 ml的去离子水,然后用1 mol/L的氢氧hua钠调pH至7.4,最后加5 ml去离子水。MCT组大鼠一次性腹腔注射MCT(60 mg/kg),3周后成功复制肺动脉高压模型。
有报道认为雌激素能抑制MCT的作用,雌性鼠对MCT较不敏感,且雌激素血浓度有周期性变化,将会 影响病理模型的稳定。此外野百合碱导致肺动脉各级血管内皮细胞广泛、不可逆的损伤,不利于进行干预 效果的研究。
该法操作简单、难度小、试剂易获得、花费较低,一般给药后3~4周模型即可成功,且可在较短时间 内进行大量动物的造模操作。单纯用该法复制的肺动脉高压模型不能形成肺小动脉新生内膜。
手术分流术:
实验动物选择牛、猪、羊、兔、大鼠等动物。
动脉与肺动脉间的分流
大中动脉压力要高于肺动脉的压力,在动脉与肺动脉间建立分流,可以有效的使体循环的血液向肺循 环内分流,使得肺循环血液增多,达到左向右分流的目的。多数是利用猪、羊和狗等大动物,采用左锁骨 下动脉与左肺动脉、左肺动脉分支与降主动脉行端侧吻合或者左锁骨下动脉与左下叶肺动脉行端端吻合或 者在主动脉与肺动脉之间放置移植物行侧侧吻合。
对4~12周龄的猪手术行胸主动脉与肺动脉主干吻合术,术后经过1~3个月发现4周龄猪有更加严重的肺动脉高压,认为该模型能够模拟先天性心脏病的左向右分流导致的肺动脉高压。
本类模型对先天性心脏病的左向右分流的模拟较好,目与肺动脉高压的病理生理情况相似。但此类模型手术血管间吻合术技术性高,难度大,创伤大,死亡率较高,目实验动物体型要求较大,成本较高
动静脉之间的分流
动静脉之间压力差较大,在动静脉之间建立吻合,动脉血分流入静脉,致使回流入右心血液增加,右 心射入肺动脉的血液增加,最终形成高动力型肺动脉高压。常采用手术对大鼠施行腹主动脉-下腔静脉分 流,造成体循环之间的分流,可造成PH模型。
将兔麻醉后,采用颈部正中切口,显露右侧颈外静脉,在颈外静脉第一个属支下方结扎其远端。游离 右侧颈总动脉,近心端用小血管夹阻断血流,在颈内、外动脉分叉处下方约0.5 cm处结扎并斜行切断颈总 动脉。用小血管夹阻断颈外静脉近心端,于颈外静脉内侧适当位置做一约2 mm切口,使用7-0 Prolene线 行颈动。
风险提示:丁香通仅作为第三方平台,为商家信息发布提供平台空间。用户咨询产品时请注意保护个人信息及财产安全,合理判断,谨慎选购商品,商家和用户对交易行为负责。对于医疗器械类产品,请先查证核实企业经营资质和医疗器械产品注册证情况。
技术资料暂无技术资料 索取技术资料
肺动脉高压动物模型动物实验
询价










