相关产品推荐更多 >
万千商家帮你免费找货
0 人在求购买到急需产品
- 详细信息
- 文献和实验
- 技术资料
- 免疫原:
Peptide sequence around phosphorylation site of tyrosine 701 (T-G-Y(p)-I-K) derived from human STAT1.
- 亚型:
IgG
- 形态:
Liquid
- 保存条件:
Store as concentrated solution. Centrifuge briefly prior to opening vial. For short-term storage (1-2 weeks), store at 4ºC. For long-term storage, aliquot and store at -20ºC or below. Avoid multiple freeze-thaw cycles.
- 克隆性:
Polyclonal
- 标记物:
Unconjugated
- 适应物种:
Human, Mouse
- 保质期:
12 months from the shipping date of the product.
- 抗原来源:
Human
- 目录编号:
GTX50118
- 级别:
Primary Antibodies
- 库存:
Available
- 供应商:
GeneTex
- 宿主:
Rabbit
- 应用范围:
WB, IHC-P
- 浓度:
1 mg/ml (Please refer to the vial label for the specific concentration.)
- 靶点:
STAT1 (phospho Tyr701)
- 抗体英文名:
STAT1 (phospho Tyr701) antibody
- 抗体名:
STAT1 (phospho Tyr701) 抗体
- 规格:
100 μl
WB analysis of extracts from HeLa cells treated with IFNa or calf intestinal phosphatase (CIP) using GTX50118 STAT1 (phospho Tyr701) antibody.
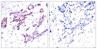
IHC-P analysis of human breast carcinoma tissue using GTX50118 STAT1 (phospho Tyr701) antibody.
Left : Primary antibody
Right : Primary antibody pre-incubated with the antigen specific peptide
WB analysis of extracts from MEF cells untreated or treated with interferon-ɤ (IFNɤ) using GTX50118 STAT1 (phospho Tyr701) antibody.
风险提示:丁香通仅作为第三方平台,为商家信息发布提供平台空间。用户咨询产品时请注意保护个人信息及财产安全,合理判断,谨慎选购商品,商家和用户对交易行为负责。对于医疗器械类产品,请先查证核实企业经营资质和医疗器械产品注册证情况。
文献和实验Chang JT et al., PLoS One 2015 (PMID:25646764)
Kanazawa N et al., Nat Commun 2021 (PMID:34819510)
颠覆认知!为了生存,癌细胞竟主动断裂 DNA,Science 研究揭开背后机制
有丝分裂细胞死亡,这使得细胞的放疗敏感性提高。事实上,缺乏 CAD 或 ICAD 表达的癌细胞就表现出更高的放射敏感性。 图片来源:Science 此外,研究人员注意到 G2 细胞周期检查点控制的缺失导致不稳定核的发生率增加。这种基因组的不稳定性被认为是激活炎症性 STAT1 信号的一个强有力的分子模式信号。因此,研究人员评估了在野生型和 CAD 缺陷细胞中,发现 IR 后 STAT1 位点 Tyr701 的激活磷酸化。这表明,在 IR 后,CAD 缺陷细胞中 p-Tyr701 STAT1 升高
有丝分裂细胞死亡,这使得细胞的放疗敏感性提高。事实上,缺乏 CAD 或 ICAD 表达的癌细胞就表现出更高的放射敏感性。 图片来源:Science 此外,研究人员注意到 G2 细胞周期检查点控制的缺失导致不稳定核的发生率增加。这种基因组的不稳定性被认为是激活炎症性 STAT1 信号的一个强有力的分子模式信号。因此,研究人员评估了在野生型和 CAD 缺陷细胞中,发现 IR 后 STAT1 位点 Tyr701 的激活磷酸化。这表明,在 IR 后,CAD 缺陷细胞中 p-Tyr701 STAT1
Using Phospho‐Motif Antibodies to Determine Kinase Substrates
comprising both the phosphorylated residue and the surrounding residues that determine kinase specificity, with degenerate residues taking up the remaining positions. Currently, several categories of phospho?motif antibody are commercially available
技术资料暂无技术资料 索取技术资料






![Mig-6 antibody [N1C1]](https://img1.dxycdn.com/2023/0711/255/2344116916935858761-14.jpg!wh200)


![TGF beta Receptor III antibody [5G9]](https://img1.dxycdn.com/2023/0711/451/6106825198874858761-14.jpg!wh200)
