相关产品推荐更多 >
万千商家帮你免费找货
0 人在求购买到急需产品
- 详细信息
- 文献和实验
- 技术资料
- 免疫原:
Immunogen for this antibody was a phosphorylated synthetic peptide, which represented a portion of human Structural Maintenance of Chromosomes 1 (GeneID 8243) around serine 966 according to the numbering given in entry NP_006297.2.
- 亚型:
IgG
- 形态:
Liquid
- 保存条件:
Store as concentrated solution. Centrifuge briefly prior to opening vial. Store at 4ºC. DO NOT FREEZE.
- 克隆性:
Polyclonal
- 标记物:
Unconjugated
- 适应物种:
Human, Mouse
- 保质期:
12 months from the shipping date of the product.
- 抗原来源:
Human
- 目录编号:
GTX21276
- 级别:
Primary Antibodies
- 库存:
Available
- 供应商:
GeneTex
- 宿主:
Rabbit
- 应用范围:
WB, ICC/IF, IHC-P, IP, ELISA, PLA
- 浓度:
1 mg/ml (Please refer to the vial label for the specific concentration.)
- 靶点:
SMC1 (phospho Ser966)
- 抗体英文名:
SMC1 (phospho Ser966) antibody
- 抗体名:
SMC1 (phospho Ser966) 抗体
- 规格:
50 μg
ICC/IF analysis of Neocarzinostatin treated asynchronous HeLa cells using GTX21276 SMC1 (phospho Ser966) antibody.
Red : Primary antibody
Blue : DAPI
WB analysis of NCS treated(+; 200 ng/ml; 1h) or mock treated (-) HeLa cell using GTX21276 SMC1 (phospho Ser966) antibody.
Dilution : 0.1 μg/ml
WB analysis of HeLa cells (30 μg/lane) treated with 10 Gy ionizing irradiation using GTX21276 SMC1 (phospho Ser966) antibody.
PLA analysis of HeLa cells using GTX21276 SMC1 (phospho Ser966) antibody and anti-human SA1 antibody.
Red : positive signal
Blue : DAPI
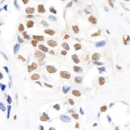
IHC-P analysis of human breast carcinoma tissue using GTX21276 SMC1 (phospho Ser966) antibody.
Dilution : 1 μg/ml
风险提示:丁香通仅作为第三方平台,为商家信息发布提供平台空间。用户咨询产品时请注意保护个人信息及财产安全,合理判断,谨慎选购商品,商家和用户对交易行为负责。对于医疗器械类产品,请先查证核实企业经营资质和医疗器械产品注册证情况。
文献和实验Sarkar A et al., Haematologica 2020 (PMID:32029507)
Sarkar A et al., Mol Cell Biochem 2020 (PMID:32996079)
Using Phospho‐Motif Antibodies to Determine Kinase Substrates
comprising both the phosphorylated residue and the surrounding residues that determine kinase specificity, with degenerate residues taking up the remaining positions. Currently, several categories of phospho?motif antibody are commercially available
Optimized Protocol to Make Phospho-Specific Antibodies that Work
, not simply its level of expression. In this review, we will discuss both the design of the phosphopeptide immunogen and immunization. The affinity purification of the phospho-specific antibody as well as the methods most suitable for characterizing
Absorption Control in Immunohistochemistry Using Phospho-Peptides Immobilized on Magnetic Beads
neutralization of phospho-specific antibodies with phospho-peptides immobilized on magnetic beads. This technique allows for sequestration of antibody–peptide complex from the incubation solution, minimizing the risk of formation of unblocked antibodies capable
技术资料暂无技术资料 索取技术资料





![FGR antibody [N1C1]](https://custom.dxycdn.com/trademd/upload/pic/2011/12/20/1324016002.jpg!small.t.1)
![Neisseria gonorrhoeae antibody [6141]](https://custom.dxycdn.com/trademd/upload/pic/2011/12/14/1323695851.jpg!small.t.1)
![alpha Synuclein antibody [4B12]](https://img1.dxycdn.com/2023/0711/451/6106825198874858761-14.jpg!wh200)



