相关产品推荐更多 >
万千商家帮你免费找货
0 人在求购买到急需产品
- 详细信息
- 文献和实验
- 技术资料
- 免疫原:
Recombinant fragment of human GP2 protein (around aa 35-179)
- 亚型:
IgG
- 形态:
Liquid
- 保存条件:
Store as concentrated solution. Centrifuge briefly prior to opening vial. Store at 4ºC.
- 克隆性:
Monoclonal
- 标记物:
Unconjugated
- 适应物种:
Human
- 保质期:
12 months from the shipping date of the product.
- 抗原来源:
Human
- 目录编号:
GTX02646
- 级别:
Primary Antibodies
- 库存:
Available
- 供应商:
GeneTex
- 宿主:
Rabbit
- 应用范围:
WB, IHC-P, ELISA
- 浓度:
200 μg/ml (Please refer to the vial label for the specific concentration.)
- 靶点:
GP2
- 抗体英文名:
GP2 antibody [GP2/3134R]
- 抗体名:
GP2 抗体 [GP2/3134R]
- 规格:
100 μg
WB analysis of human pancreas tissue lysate using GTX02646 GP2 antibody [GP2/3134R].
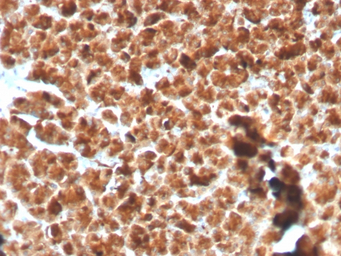
IHC-P analysis of human pancreas tissue section using GTX02646 GP2 antibody [GP2/3134R].
风险提示:丁香通仅作为第三方平台,为商家信息发布提供平台空间。用户咨询产品时请注意保护个人信息及财产安全,合理判断,谨慎选购商品,商家和用户对交易行为负责。对于医疗器械类产品,请先查证核实企业经营资质和医疗器械产品注册证情况。
文献和实验Overview of Protein Microarrays
. Chen, C.‐S., Sullivan, S., Anderson, T., Tan, A.C., Alex, P.J., Brant, S.R., Cuffari, C., Bayless, T.M., Talor, M.V., Burek, C.L., Wang, H., Li, R., Datta, L.W., Wu, Y., Winslow, R.L., Zhu, H., and Li, X. 2009
, and dipeptidylpeptidase. GPI-anchored proteins can be released from membranes with specific phospholipases and can be recovered from the detergent-insoluble pellet after Triton X-114 treatment of membranes. All GPI-anchored proteins are initially synthesized
Phage‐Based Expression Cloning to Identify Interacting Proteins
, W., Sellers, W.R., DeCaprio, J.A., Ajchenbaum, F., Fuchs, C.S., Chittenden, T., Li, Y., Farnham, P.J., Blanar, M.A., Livingston, D.M., and Flemington, E.K. 1992. Expression cloning of a cDNA encoding a retinoblastoma‐binding protein with E2F
技术资料暂无技术资料 索取技术资料







![CD52 antibody [11/305/44]](https://img1.dxycdn.com/2023/0711/451/6106825198874858761-14.jpg!wh200)

