相关产品推荐更多 >
万千商家帮你免费找货
0 人在求购买到急需产品
- 详细信息
- 文献和实验
- 技术资料
- 免疫原:
Recombinant full-length human KRT8 protein & Recombinant full-length human KRT18 protein
- 亚型:
IgG1
- 形态:
Liquid
- 保存条件:
Store as concentrated solution. Centrifuge briefly prior to opening vial. Store at 4ºC.
- 克隆性:
Monoclonal
- 标记物:
Unconjugated
- 适应物种:
Human
- 保质期:
12 months from the shipping date of the product.
- 抗原来源:
Human
- 目录编号:
GTX02750
- 级别:
Primary Antibodies
- 库存:
Available
- 供应商:
GeneTex
- 宿主:
Mouse
- 应用范围:
IHC-P
- 浓度:
200 μg/ml (Please refer to the vial label for the specific concentration.)
- 靶点:
This antibody cocktail recognizes all simple epithelia including glandular epithelium, for example thyroid, female breast, gastrointestinal tract, respiratory tract, and urogenital tract including transitional epithelium.
- 抗体英文名:
Cytokeratin 8 + 18 antibody [rKRT8.18/1346]
- 抗体名:
Cytokeratin 8 + 18 抗体 [rKRT8.18/1346]
- 规格:
100 μg
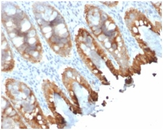
IHC-P analysis of human colon tissue section using GTX02750 Cytokeratin 8 + 18 antibody [rKRT8.18/1346].
风险提示:丁香通仅作为第三方平台,为商家信息发布提供平台空间。用户咨询产品时请注意保护个人信息及财产安全,合理判断,谨慎选购商品,商家和用户对交易行为负责。对于医疗器械类产品,请先查证核实企业经营资质和医疗器械产品注册证情况。
文献和实验negative, while the bile ducts are positive.CAM 5.2- Monoclonal antibody against low M.W. cytokeratin (including CK8 and CK18).- Source: Becton-Dickinson.- Dilution 1:8.- Antigen retrieval method: HIER (pressure cooking) using EDTA.- Staining pattern
Staining protocols for placental explant cultures
-cytokeratin 7 (OV-TL 12/30; Dako; use at 1/50). This identifies the outgrowing cells unequivocally as trophoblast. Anticytokeratin 8/18 can be used for marking cells (e.g CAM5.2, Beckton-Dickenson) but beware that some placental fibroblasts express this marker
H. X . , S p a rks, C. A . a n d Jo n es, H. D. (2006) C h a ra cterisa tio n o fT -D N A lo ci a n d vector b a ckb o n e seque几 in Agrobacteriummec^aiec?艺 Mol. Breed. 18 , 195-208. 17. Yao, Q ., Cong, L ., Chang, J.
技术资料暂无技术资料 索取技术资料






![CD20 antibody [L26]](https://img1.dxycdn.com/2023/0711/451/6106825198874858761-14.jpg!wh200)
![E-Cadherin antibody [HL1228]](https://img1.dxycdn.com/2023/0711/058/8406876405285858761-14.jpg!wh200)


