相关产品推荐更多 >
万千商家帮你免费找货
0 人在求购买到急需产品
- 详细信息
- 文献和实验
- 技术资料
- 免疫原:
Recombinant full-length human LAMP4 / CD68 protein
- 亚型:
IgG
- 形态:
Liquid
- 保存条件:
Store as concentrated solution. Centrifuge briefly prior to opening vial. Store at 4ºC.
- 克隆性:
Monoclonal
- 标记物:
Unconjugated
- 适应物种:
Human
- 保质期:
12 months from the shipping date of the product.
- 抗原来源:
Human
- 目录编号:
GTX02611
- 级别:
Primary Antibodies
- 库存:
Available
- 供应商:
GeneTex
- 宿主:
Rabbit
- 应用范围:
WB, IHC-P
- 浓度:
200 μg/ml (Please refer to the vial label for the specific concentration.)
- 靶点:
CD68
- 抗体英文名:
CD68 antibody [C68/2908R]
- 抗体名:
CD68 抗体 [C68/2908R]
- 规格:
100 μg
WB analysis of human Spleen tissue lysate using GTX02611 CD68 antibody [C68/2908R].
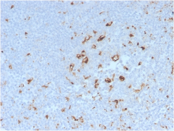
IHC-P analysis of human tonsil tissue section using GTX02611 CD68 antibody [C68/2908R].
风险提示:丁香通仅作为第三方平台,为商家信息发布提供平台空间。用户咨询产品时请注意保护个人信息及财产安全,合理判断,谨慎选购商品,商家和用户对交易行为负责。对于医疗器械类产品,请先查证核实企业经营资质和医疗器械产品注册证情况。
文献和实验大鼠ED-1/sCD68分子(ED-1)ELISA试剂盒 说明书
上海西唐生物科技有限公司 021-55229872, 65333639 www.westang.com 大鼠 ED-1/sCD68 分子 (ED-1)ELISA 试剂盒 ( 用于血清、血浆、细胞培养上清液和其它生物体液内 ) 原理 本实验采用双抗体夹心 ABC-ELISA 法。用抗大鼠 CD68 单抗包被于酶标板上,标准品和样品中的 CD68 与单抗结合,加入生物素化的抗大鼠 CD68 ,形成免疫
、CD66a-CD68、CD87-CD93 NK细胞 CD56、CD57、CD94 血小板 CD9、CD31、CD36、CD4la、CD4lb、CD42a-CD42d、CD61、CD63、CD107a、CD107b、CD26、CD30、CD69、CD70、CD71、CD95-CD97 激活抗原 CD26、CD30、CD69、CD70、CD71、CD95-CD97 粘附分子 CD11a-CD11c、CD15s、CD18、CD29、CD43、CD44、CD44R、CD48、CD49a-CD49f、CD
Phage‐Based Expression Cloning to Identify Interacting Proteins
, W., Sellers, W.R., DeCaprio, J.A., Ajchenbaum, F., Fuchs, C.S., Chittenden, T., Li, Y., Farnham, P.J., Blanar, M.A., Livingston, D.M., and Flemington, E.K. 1992. Expression cloning of a cDNA encoding a retinoblastoma‐binding protein with E2F
技术资料暂无技术资料 索取技术资料








![BDH1 antibody [1A5]](https://img1.dxycdn.com/2023/0711/451/6106825198874858761-14.jpg!wh200)

