相关产品推荐更多 >
万千商家帮你免费找货
0 人在求购买到急需产品
- 详细信息
- 文献和实验
- 技术资料
- 免疫原:
Recombinant human UCHL1 protein
- 亚型:
IgG1
- 形态:
Liquid
- 保存条件:
Store as concentrated solution. Centrifuge briefly prior to opening vial. For short-term storage (1-2 weeks), store at 4ºC. For long-term storage, aliquot and store at -20ºC or below. Avoid multiple freeze-thaw cycles.
- 克隆性:
Monoclonal
- 标记物:
Unconjugated
- 适应物种:
Human, Rat
- 保质期:
12 months from the shipping date of the product.
- 抗原来源:
Human
- 目录编号:
GTX34971
- 级别:
Primary Antibodies
- 库存:
Available
- 供应商:
GeneTex
- 宿主:
Mouse
- 应用范围:
WB, IHC-P
- 浓度:
0.2 mg/ml (Please refer to the vial label for the specific concentration.)
- 靶点:
PGP9.5
- 抗体英文名:
PGP9.5 antibody [UCHL1/775]
- 抗体名:
PGP9.5 抗体 [UCHL1/775]
- 规格:
100 μg
IHC-P analysis of rat testis tissue using GTX34971 PGP9.5 antibody [UCHL1/775].
WB analysis of human brain tissue lysate using GTX34971 PGP9.5 antibody [UCHL1/775].
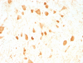
IHC-P analysis of rat cerebellum tissue using GTX34971 PGP9.5 antibody [UCHL1/775].
风险提示:丁香通仅作为第三方平台,为商家信息发布提供平台空间。用户咨询产品时请注意保护个人信息及财产安全,合理判断,谨慎选购商品,商家和用户对交易行为负责。对于医疗器械类产品,请先查证核实企业经营资质和医疗器械产品注册证情况。
文献和实验Studies of the Ubiquitin Proteasome System
phosphatase inhibitors and 50 µM MG132 (or lactacystin) Anti‐E3 or anti‐substrate antibody Nondenaturing Triton X‐100 wash buffer (see recipe ) Tris‐buffered saline (TBS
a subset of genomic DNA sequences of type 5'-(NNN )3 -3', whereas the 6ZF library would recognize a subset of genomic sequences of type 5'-(NNN )6 -3'. Given the zinc-finger domains used, both libraries were more likely to recognize (RNN)x -type sequences
Phage‐Based Expression Cloning to Identify Interacting Proteins
the interacting protein. This technique leads directly to the isolation of a cDNA encoding the interacting protein, bypassing the need for labor?intensive protein purification, microsequencing, or antibody production.
技术资料暂无技术资料 索取技术资料








![CD147 antibody [125]](https://img1.dxycdn.com/2023/0711/451/6106825198874858761-14.jpg!wh200)

