相关产品推荐更多 >
万千商家帮你免费找货
0 人在求购买到急需产品
- 详细信息
- 文献和实验
- 技术资料
- 免疫原:
The clone AT1C1 is derived from hybridization of mouse F0 myeloma cells with spleen cells from BALB/c mice immunized with a recombinant human Cofilin 3 protein.
- 亚型:
IgG1
- 形态:
Liquid
- 保存条件:
Store as concentrated solution. Centrifuge briefly prior to opening vial. For short-term storage (1-2 weeks), store at 4ºC. For long-term storage, aliquot and store at -20ºC or below. Avoid multiple freeze-thaw cycles.
- 克隆性:
Monoclonal
- 标记物:
Unconjugated
- 适应物种:
Human
- 保质期:
12 months from the shipping date of the product.
- 抗原来源:
Human
- 目录编号:
GTX57545
- 级别:
Primary Antibodies
- 库存:
Available
- 供应商:
GeneTex
- 宿主:
Mouse
- 应用范围:
WB, ICC/IF, FACS
- 浓度:
1 mg/ml (Please refer to the vial label for the specific concentration.)
- 靶点:
Cofilin 1
- 抗体英文名:
Cofilin 1 antibody [AT1C1]
- 抗体名:
Cofilin 1 抗体 [AT1C1]
- 规格:
100 μl
FACS analysis of HeLa cells using GTX57545 Cofilin 1 antibody.
Cell Number: 1 x 10⁶ cells
Red: Primary antibody
Antibody amount: 2-5 μg
WB analysis of HeLa whole cell lysate using GTX57545 Cofilin 1 antibody.
Loading : 20 μg
Dilution : 1:1000
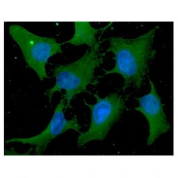
ICC/IF analysis of HeLa cells using GTX57545 Cofilin 1 antibody.
Blue: DAPI
Green: Primary antibody
Dilution: 1:100
风险提示:丁香通仅作为第三方平台,为商家信息发布提供平台空间。用户咨询产品时请注意保护个人信息及财产安全,合理判断,谨慎选购商品,商家和用户对交易行为负责。对于医疗器械类产品,请先查证核实企业经营资质和医疗器械产品注册证情况。
文献和实验补体成分 C1(C1q/C1r/C1s) 补体成分:C1q 血清浓度(μg/ml):75 分子量(kDa):410 亚单位(链)及分子量(kDa):A:24各6条B:23各6条C:22各6条 生物学活性:识别IgG、IgMFc的补体结合点 补体成分:C1r 血清浓度(μg/ml):50 分子量(kDa):85
C1q Assay for the Detection of Complement Fixing Antibody to HLA Antigens
complement fixing from non-complement fixing antibody, the former of which are considered the most clinically relevant in the peri-transplant period. This chapter describes a novel solid phase C1q binding assay to distinguish HLA antibodies that can bind
associates with the recognition protein C1q. The C1 complex circulates in serum as a zymogen and is activated upon binding of C1q to appropriate targets, such as antigen–antibody complexes. This property is used for the purification of C1r and C1s from human
技术资料暂无技术资料 索取技术资料





![IL24 antibody [C2C3], C-term](https://img1.dxycdn.com/2023/0711/255/2344116916935858761-14.jpg!wh200)

![Pyruvate dehydrogenase kinase 1 / PDK1 antibody [4A11]](https://img1.dxycdn.com/2023/0711/451/6106825198874858761-14.jpg!wh200)

