相关产品推荐更多 >
万千商家帮你免费找货
0 人在求购买到急需产品
- 详细信息
- 文献和实验
- 技术资料
- 免疫原:
Recombinant human E-Cadherin protein
- 亚型:
IgG1
- 形态:
Liquid
- 保存条件:
Store as concentrated solution. Centrifuge briefly prior to opening vial. For short-term storage (1-2 weeks), store at 4ºC. For long-term storage, aliquot and store at -20ºC or below. Avoid multiple freeze-thaw cycles.
- 克隆性:
Monoclonal
- 标记物:
Unconjugated
- 适应物种:
Human
- 保质期:
12 months from the shipping date of the product.
- 抗原来源:
Human
- 目录编号:
GTX34679
- 级别:
Primary Antibodies
- 库存:
Available
- 供应商:
GeneTex
- 宿主:
Mouse
- 应用范围:
WB, ICC/IF, IHC-P, FACS
- 浓度:
0.2 mg/ml (Please refer to the vial label for the specific concentration.)
- 靶点:
E-Cadherin
- 抗体英文名:
E-Cadherin antibody [4A2]
- 抗体名:
E-Cadherin 抗体 [4A2]
- 规格:
100 μg
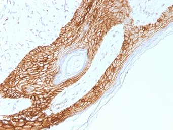
IHC-P analysis of human skin tissue using GTX34679 E-Cadherin antibody [4A2].
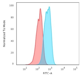
FACS analysis of trypsinized MCF-7 cells using GTX34679 E-Cadherin antibody [4A2].
Blue : Primary antibody
Red : Isotype control
WB analysis of MCF-7 cell lysate using GTX34679 E-Cadherin antibody [4A2].
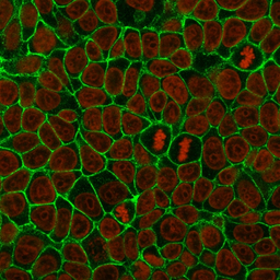
ICC/IF analysis of MCF-7 cells using GTX34679 E-Cadherin antibody [4A2].
Green : Primary antibody
Red : nucleus
风险提示:丁香通仅作为第三方平台,为商家信息发布提供平台空间。用户咨询产品时请注意保护个人信息及财产安全,合理判断,谨慎选购商品,商家和用户对交易行为负责。对于医疗器械类产品,请先查证核实企业经营资质和医疗器械产品注册证情况。
文献和实验) and reactive mesothelial cells or mesothelioma in an effusion or pleural biopsy (negative).b) Distinction between hepatocellular carcinoma (almost always negative) and other carcinomas (commonly positive).E-cadherin- Monoclonal antibody 4A2-C7- Source: Zymed
or cadherin-6) and osteoblast cadherin (OB-cadherin or cadherin-11) are type II cadherins. Pan Cadherin antibody can reacts with ALL cadherins, it is a good Plasma Membrane Marker. 2. One of the best characterized members is E-cadherin
Fluorescent Immunolabeling of Embryonic Kidney Samples
this protocol to detect the “usual suspects” in kidney development: CalbindinD-28k, E-cadherin, Pax2, podocalyxin, α-SMA, and Phospho-Histone H3 among others. This protocol also provides a starting point when trying to optimize labeling with a new antibody.
技术资料暂无技术资料 索取技术资料







![CD28 antibody [JJ319]](https://custom.dxycdn.com/trademd/upload/pic/2011/12/14/1323695851.jpg!small.t.1)
![Cardiac Troponin I antibody [4A3]](https://img1.dxycdn.com/2023/0711/451/6106825198874858761-14.jpg!wh200)

