相关产品推荐更多 >
万千商家帮你免费找货
0 人在求购买到急需产品
- 详细信息
- 文献和实验
- 技术资料
- 免疫原:
Recombinant human laminin-alpha 3B N-term ~190 kDa fragment
- 亚型:
IgG1
- 形态:
Liquid
- 保存条件:
Store as concentrated solution. Centrifuge briefly prior to opening vial. For short-term storage (1-2 weeks), store at 4ºC. For long-term storage, aliquot and store at -20ºC or below. Avoid multiple freeze-thaw cycles.
- 克隆性:
Monoclonal
- 标记物:
Unconjugated
- 适应物种:
Human
- 保质期:
12 months from the shipping date of the product.
- 抗原来源:
Human
- 目录编号:
GTX17684
- 级别:
Primary Antibodies
- 库存:
Available
- 供应商:
GeneTex
- 宿主:
Mouse
- 应用范围:
WB, IHC-P, IHC-Fr, IP, ELISA, Purification
- 靶点:
This antibody is specific for alpha 3B chain
- 抗体英文名:
Laminin alpha 3B antibody [F7]
- 抗体名:
Laminin alpha 3B 抗体 [F7]
- 规格:
100 μl
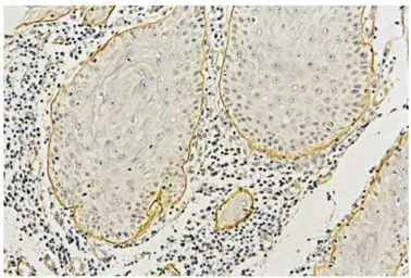
IHC-P analysis of various tissue samples using GTX17684 Laminin alpha 3B antibody [F7] (Black arrows : epithelial basement membranes ; Arrow heads : vascular basement membrane).
Figure A : Normal skin tissue (paraffin slice)
Figure B : Normal esophagus tissue (paraffin slice)
Figure C : Normal mammary gland (paraffin slice)
Figure D : Normal lung tissue (paraffin slice)
ELISA anaiysis of five recombinant human laminins using GTX17684 Laminin alpha 3B antibody [F7] and GTX17685 Laminin alpha 3A antibody [BG5]. Clone F7 specifically detects Lm3B32 isoform.
Protein structure of laminin-332s and binding sites of antibodies
IHC-P analysis of skin cancer tissue using GTX17684 Laminin alpha 3B antibody [F7].
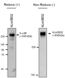
WB analysis of recombinant human intact laminin-3B32 (Lm3B32 , containing alpha 3B, Beta 3 and gamma 2 chains) using GTX17684 Laminin alpha 3B antibody [F7].
Dilution : 1:10000
Reduced condition : 7% gel
Non-reduced condition : 5% gel
风险提示:丁香通仅作为第三方平台,为商家信息发布提供平台空间。用户咨询产品时请注意保护个人信息及财产安全,合理判断,谨慎选购商品,商家和用户对交易行为负责。对于医疗器械类产品,请先查证核实企业经营资质和医疗器械产品注册证情况。
文献和实验PMID: 18670895, 2008
PMID: 27685891, 2016
PMID: 21276136, 2011
v468. chapter 4 WNT 细胞通路 检测细胞GSK3活性与表达水平
are prepared using Adobe Photoshop and MicrosoftPowerpoint software. 2.5. Immunoprecipitation Kinase Activity Assays 1. The anti-GSK3b monoclonal antibody is from BD TransductionLaboratories (#610201) and protein G-Sepharose is fromAmersham (#17-0618-01
Development of techniques for primary culture of C. elegans embryonic neurons
detailed studies of the interactions of growing axons with their substrates are possible, including antibody perturbation studies of cell-surface molecules, direct observation of growth cone behavior, and pharmacological manipulation of growing
种特异性IgV区上的抗原特异性。不同抗体形成细胞克隆所产生的IgV区具有与其客观存在抗体V区不同的抗原性,这是由可变区中成其是超变区的氨基酸组成、排列和构型所决定的。所以,在单一个体内所存在的独特型数量相当大,可达107以上。独特型的抗原决定簇称为独特位(idiotope),可在异种、同种异体以及自身体内诱产生相应在的抗体,称为抗独特型抗体(antiidiotypic antibody,αI d),独特型和抗独型抗体可形成复杂的免疫调节中占有得要地位。
技术资料暂无技术资料 索取技术资料






![ERp57 antibody [C3], C-term](https://img1.dxycdn.com/2023/0711/255/2344116916935858761-14.jpg!wh200)


