相关产品推荐更多 >
万千商家帮你免费找货
0 人在求购买到急需产品
- 详细信息
- 文献和实验
- 技术资料
- 免疫原:
Recombinant protein encompassing a sequence within the center region of human O-GlcNAc transferase. The exact sequence is proprietary.
- 亚型:
IgG2a
- 形态:
Liquid
- 保存条件:
Store as concentrated solution. Centrifuge briefly prior to opening vial. For short-term storage (1-2 weeks), store at 4ºC. For long-term storage, aliquot and store at -20ºC or below. Avoid multiple freeze-thaw cycles.
- 克隆性:
Monoclonal
- 标记物:
Unconjugated
- 适应物种:
Human, Mouse, Rat
- 保质期:
12 months from the shipping date of the product.
- 抗原来源:
Human
- 目录编号:
GTX629812
- 级别:
Primary Antibodies
- 库存:
Available
- 供应商:
GeneTex
- 宿主:
Mouse
- 应用范围:
WB, ICC/IF, IHC-P
- 浓度:
1 mg/ml (Please refer to the vial label for the specific concentration.)
- 靶点:
O-GlcNAc transferase
- 抗体英文名:
O-GlcNAc transferase antibody [GT678]
- 抗体名:
O-GlcNAc transferase 抗体 [GT678]
- 规格:
100 μl/25 μl
| 规格: | 100 μl | 产品价格: | ¥4000.0 |
|---|---|---|---|
| 规格: | 25 μl | 产品价格: | ¥1700.0 |
O-GlcNAc transferase antibody [GT678] detects O-GlcNAc transferase protein at nucleus (mainly) and cytoplasm (less) by immunofluorescent analysis.
Sample: HeLa cells were fixed in 4% PFA at RT for 15 min.
Green: O-GlcNAc transferase protein stained by O-GlcNAc transferase antibody [GT678] (GTX629812) diluted at 1:500.
Blue: Hoechst 33342 staining.
O-GlcNAc transferase antibody [GT6G8] detects O-GlcNAc transferase protein by western blot analysis.
A. 50 μg mouse brain lysate/extract
7.5% SDS-PAGE
O-GlcNAc transferase antibody [GT6G8] (GTX629812) dilution: 1:500
The HRP-conjugated anti-mouse IgG antibody (GTX213111-01) was used to detect the primary antibody.
O-GlcNAc transferase antibody [GT6G8] detects O-GlcNAc transferase protein by western blot analysis.
A. 30 μg PC-12 whole cell lysate/extract
7.5% SDS-PAGE
O-GlcNAc transferase antibody [GT6G8] (GTX629812) dilution: 1:500
The HRP-conjugated anti-mouse IgG antibody (GTX213111-01) was used to detect the primary antibody.
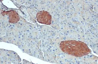
O-GlcNAc transferase antibody [GT678] detects O-GlcNAc transferase protein at cytoplasm of islet by immunohistochemical analysis.
Sample: Paraffin-embedded mouse pancreas.
O-GlcNAc transferase stained by O-GlcNAc transferase antibody [GT678] (GTX629812) diluted at 1:200.
Antigen Retrieval: Citrate buffer, pH 6.0, 15 min
风险提示:丁香通仅作为第三方平台,为商家信息发布提供平台空间。用户咨询产品时请注意保护个人信息及财产安全,合理判断,谨慎选购商品,商家和用户对交易行为负责。对于医疗器械类产品,请先查证核实企业经营资质和医疗器械产品注册证情况。
文献和实验Since the discovery of O -GlcNAc modification (O -GlcNAcylation) 20 years ago, much attention has been given to OGT (O -GlcNAc transferase), the unique enzyme responsible for the nuclear and cytosolic O -GlcNAcylation processes. This review
A Modified Coupled Enzyme Method for O-linked GlcNAc Transferase Activity Assay
In order to determine the activity of O-linked GlcNAc transferase (OGT), a modified coupled enzyme method was proposed. This method was based on the measurement of uridine 5′-(trihydrogen diphosphate) (UDP), a product generated
Enzymatic Characterization of Recombinant Enzymes of O-GlcNAc Cycling
. Here we describe the production of and methods for assay of the recombinant enzymes of O -GlcNAc cycling: O -linked GlcNAc Transferase (OGT) and O -GlcNAcase (OGA).
技术资料暂无技术资料 索取技术资料






![CD11b antibody [OX-42] (Biotin)](https://img1.dxycdn.com/2023/0711/451/6106825198874858761-14.jpg!wh200)


