万千商家帮你免费找货
0 人在求购买到急需产品
- 详细信息
- 文献和实验
- 技术资料
- 提供商:
嘉兴硕玺生物有限公司
- 服务名称:
VonKossa染色实验服务
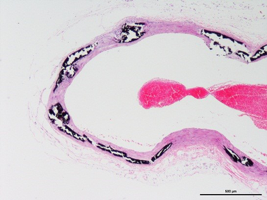
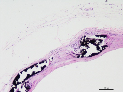
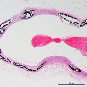
VonKossa染色实验原理: 钙盐变化是骨细胞增殖分化和骨组织成骨潜能的标志之一。通过嗜银染色,钙离子受到强光还原,由金属银沉积取代,呈现黑色。
VonKossa染色实验步骤:
- 石蜡切片脱蜡至水:依次将切片放入二甲苯Ⅰ20min-二甲苯Ⅱ20min-无水乙醇Ⅰ5min-无水乙醇Ⅱ5min-75%酒精5min, 自来水洗,蒸馏水洗三遍。
- XSY反应:切片滴加XSY溶液,用紫外灯连续照射2-3小时,蒸馏水洗多遍; 3、苏木素染色:切片入苏木素染液染3-5min,自来水洗,分化液分化,自来水洗,返蓝液返蓝,流水冲洗。
- 伊红染色:85%、95%的酒精梯度脱水各5min,入伊红染液5min;
- 脱水封片:切片依次放入无水乙醇I 5min -无水乙醇II 5min-无水乙醇Ⅲ5min -二甲苯Ⅰ5min -二甲苯Ⅱ5min透明,中性树 胶封片。
- 显微镜镜检,图像采集分析。
VonKossa染色实验结果:
钙盐沉积区域呈黑色或棕黑色,细胞核呈蓝色,背景呈红色。
注意事项:
- XSY溶液滴染前,切片必须用蒸馏水洗干净;
- 如果没有紫外灯,也可以用强太阳光照射。


大鼠胸主动脉Von Kossa染色
欢迎咨询详谈,我们会根据您的方案及需求制定详细的服务协议。
更多实验技术服务请浏览网站其他内容,或来电咨询!
做实验,找硕玺!您的科研生涯,我们一路相伴!
【平台项目开展范围】慢病毒,腺病毒,RNAi类,分子生物实验,病理实验,免疫学实验,细胞实验,动物实验,蛋白组学实验,芯片类实验,并为广大客户朋友们提供课题设计指导、基金申请指导等服务。
【时效性生物】已开展了数千个实验外包项目。我们专注于医学课题研究,已从课题申请、方案设计、试剂采购、模型构造、 标本检测、数据分析,各个环节积累了数千个成功案例经验,为数千个来自临床的科研工作者解决了大量的科研问题。更多相关实验服务信息请咨询硕玺生物。

风险提示:丁香通仅作为第三方平台,为商家信息发布提供平台空间。用户咨询产品时请注意保护个人信息及财产安全,合理判断,谨慎选购商品,商家和用户对交易行为负责。对于医疗器械类产品,请先查证核实企业经营资质和医疗器械产品注册证情况。
文献和实验背景:真核生物的基因组DNA以染色质的形式存在,研究蛋白质与DNA在染色质环境下的相互作用是阐明真核生物基因表达机制的基本途径。与传统的EMSA技术相比,染色质免疫沉淀技术(CHIP)能真实完整地反映结合在DNA序列上的调控蛋白,是目前研究体内DNA与蛋白质相互作用的最佳方法。原理:是在活细胞状态下以甲醛固定蛋白质-DNA复合物,超声将其随机切断为一定长度范围内的染色质小片段,然后加入目的蛋白抗体,通过抗体沉淀靶蛋白-DNA复合物,通过洗脱的方法得到富集的靶蛋白-DNA复合物,特异性地富集目的
成正比。 目前 ELISA 法应用 1、免疫酶染色各种细胞内成份的定位。 2、研究抗酶抗体的合成。 3、显现微量的免疫沉淀反应。 4、定量检测体液中抗原或抗体成份。 小优 ELISA 实验检测服务 优宁维公司提供空白板,buffer 缓冲液等 客户只需提供样本 小优结果形式:统计结果,实验流程,全程提供疑问解答 优宁维是专业的抗体公司,我们的实验服务团队是由博士后领衔的团队。我们实验室拥有先进的实验仪器平台,服务的价格是实惠亲民
Annexin V凋亡流式双染与Tunel凋亡免疫组化案例介绍
的好处是可以在细胞凋亡发生的早期,即可侦测到DNA片段的产生,并且可以直接使用在组织切片上,观察细胞凋亡发生的位置。所以TUNEL目前为广泛接受与使用的一种细胞凋亡的分析方法。 实验服务注意事项 1. 实验委托者提供实验分组情况及实验背景资料,有具体要求请事先说明; 2. 实验委托者可提供组织块(以中性福尔马林或多聚甲醛固定,如组织块极小请事先说明)、蜡块或切片(使用免疫组化专用切片,以避免实验过程中掉片); 3. TUNEL染色完毕后,照相1-2张/每切片,如需要图片分析请事先
技术资料暂无技术资料 索取技术资料










