万千商家帮你免费找货
0 人在求购买到急需产品
- 详细信息
- 技术资料
- 提供商:
嘉兴硕玺生物有限公司
- 服务名称:
阿利新蓝染色
阿利新蓝染色简介:
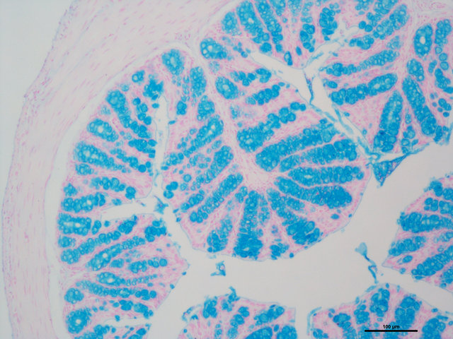
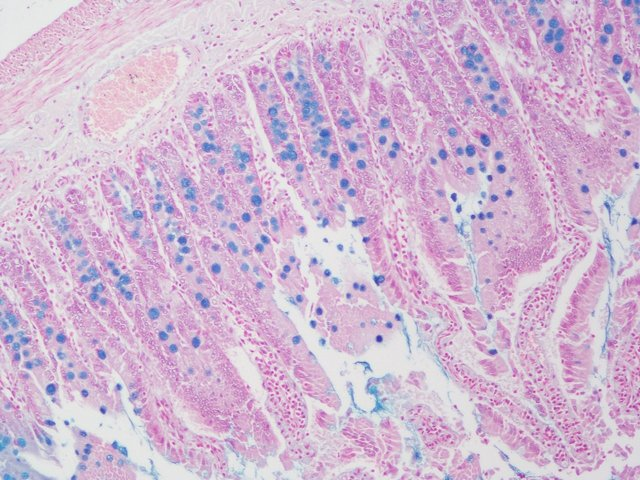
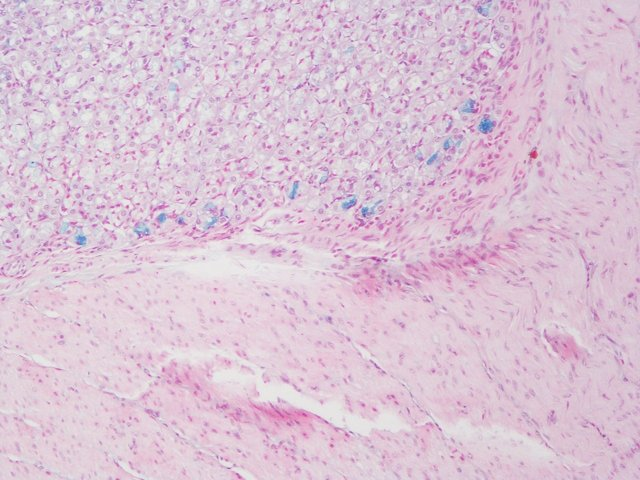
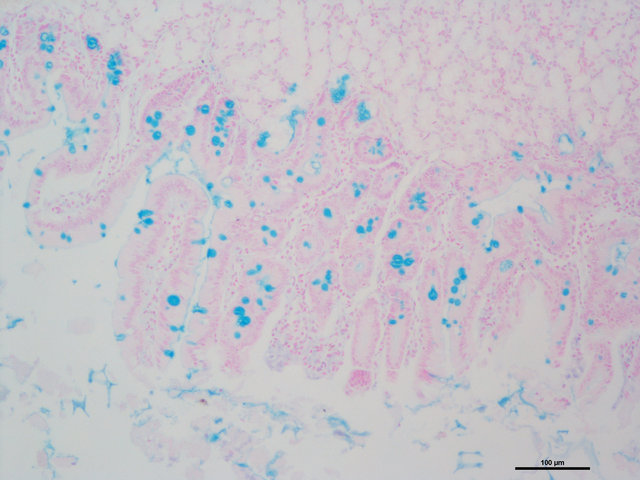
阿利新蓝(Alcian)又称爱先蓝或阿尔辛蓝等,是一种类铜钛花青共轭染料,该染料分子中带正电荷的盐键和酸性黏液物质中带负电荷的酸性基团结合呈蓝色。常用于软骨组织或早幼粒细胞、巨核细胞染色。
阿利新蓝染色实验意义:
颗粒增多的早幼粒细胞和Auer小体呈强阳性反应,有助于急性早幼粒细胞白血病的诊断。巨核细胞阳性反应对发现MDS中的 小巨核细胞有一定的价值。
实验步骤:
(1)二甲苯脱蜡,通过梯度乙醇后,入蒸馏水再水化。
(2)入阿利新蓝酸化液浸泡3min。
(3)入阿利新蓝染色液染色30min。
(4)流水冲洗5min。
(5)入核固染色液复染5-10min。
(6)流水冲洗1min。
实验结果:
酸性黏蛋白(硫酸黏蛋白和唾液黏蛋白)呈蓝色;蛋白多糖和透明质酸呈蓝色;细胞核呈红色。
实验技巧:
(1)固定液采用10%中性福尔马林。
(2)若要选择性鉴别硫酸黏蛋白和蛋白多糖,应使用PH值低(PH=1)的阿利新蓝,即调PH值为1.0。染色程序和孵育时间 与PH值为2.5的阿利新蓝操作相同,染色时间应相应延长。
阿利新蓝染色样片:




欢迎咨询详谈,我们会根据您的方案及需求制定详细的服务协议。
更多实验技术服务请浏览网站其他内容,或来电咨询!
做实验,找硕玺!您的科研生涯,我们一路相伴!
【平台项目开展范围】慢病毒,腺病毒,RNAi类,分子生物实验,病理实验,免疫学实验,细胞实验,动物实验,蛋白组学实验,芯片类实验,并为广大客户朋友们提供课题设计指导、基金申请指导等服务。
【硕玺生物】已开展了数千个实验外包项目。我们专注于医学课题研究,已从课题申请、方案设计、试剂采购、模型构造、 标本检测、数据分析,各个环节积累了数千个成功案例经验,为数千个来自临床的科研工作者解决了大量的科研问题。更多相关实验服务信息请咨询硕玺生物。


风险提示:丁香通仅作为第三方平台,为商家信息发布提供平台空间。用户咨询产品时请注意保护个人信息及财产安全,合理判断,谨慎选购商品,商家和用户对交易行为负责。对于医疗器械类产品,请先查证核实企业经营资质和医疗器械产品注册证情况。
技术资料暂无技术资料 索取技术资料










