相关产品推荐更多 >
万千商家帮你免费找货
0 人在求购买到急需产品
- 详细信息
- 文献和实验
- 技术资料
- 免疫原:
Recombinant human full-length KRT19 protein
- 亚型:
IgG
- 形态:
Liquid
- 保存条件:
Store as concentrated solution. Centrifuge briefly prior to opening vial. Store at 4ºC.
- 克隆性:
Monoclonal
- 标记物:
Unconjugated
- 适应物种:
Human, Mouse
- 保质期:
12 months from the shipping date of the product.
- 抗原来源:
Human
- 目录编号:
GTX02659
- 级别:
Primary Antibodies
- 库存:
Available
- 供应商:
GeneTex
- 宿主:
Rabbit
- 应用范围:
WB, IHC-P
- 浓度:
200 μg/ml (Please refer to the vial label for the specific concentration.)
- 靶点:
Cytokeratin 19
- 抗体英文名:
Cytokeratin 19 antibody [KRT19/1959R]
- 抗体名:
Cytokeratin 19 抗体 [KRT19/1959R]
- 规格:
100 μg
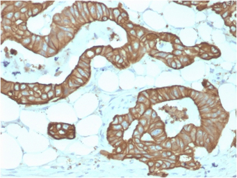
IHC-P analysis of human colon tissue section using GTX02659 Cytokeratin 19 antibody [KRT19/1959R].
WB analysis of HepG2 whole cell lysate using GTX02659 Cytokeratin 19 antibody [KRT19/1959R].
风险提示:丁香通仅作为第三方平台,为商家信息发布提供平台空间。用户咨询产品时请注意保护个人信息及财产安全,合理判断,谨慎选购商品,商家和用户对交易行为负责。对于医疗器械类产品,请先查证核实企业经营资质和医疗器械产品注册证情况。
文献和实验thresholds for antigen receptors and other surface receptors on B cells; also regulates B cell development, activation and differentiation CD19 antibody inhibits B cell activation from anti-immunoglobulin Coreceptor with CD21 Earliest B cell
人成纤维生长因子-19(FGF-19)ELISA试剂盒 说明书
人成纤维生长因子-19 ( FGF-19 )ELISA 试剂盒 ( 用于血清、血浆、细胞培养上清液和其它生物体液内 ) 原理 本实验采用双抗体夹心 ABC-ELISA 法。用抗人 FGF-19 单抗包被于酶标板上,标准品和样品中的 FGF-19与单抗结合,加入生物素化的抗人 FGF-19 ,形成免疫复合物连接在板上,辣根过氧化物酶标记的 Streptavidin 与生物素结合,加入底物工作
小鼠白介素-23 p19(IL-23 p19)ELISA试剂盒 说明书
上海西唐生物科技有限公司 021-55229872, 65333639 www.westang.com 小鼠白介素-23 p19 (IL-23 p19)ELISA 试剂盒 ( 用于血清、血浆、细胞培养上清液和其它生物体液内 ) 原理 本实验采用双抗体夹心 ABC-ELISA 法。用抗小鼠 IL-23 p19 单抗包被于酶标板上,标准品和样品中的 IL-23 p19
技术资料暂无技术资料 索取技术资料





![West Nile virus Envelope antibody [3671]](https://img1.dxycdn.com/2023/0711/451/6106825198874858761-14.jpg!wh200)

![FAST antibody [C1C3-2]](https://img1.dxycdn.com/2023/0516/895/8887749495766728561-14.jpg!wh200)


