万千商家帮你免费找货
0 人在求购买到急需产品
- 详细信息
- 询价记录
- 文献和实验
- 技术资料
一、技术简介:
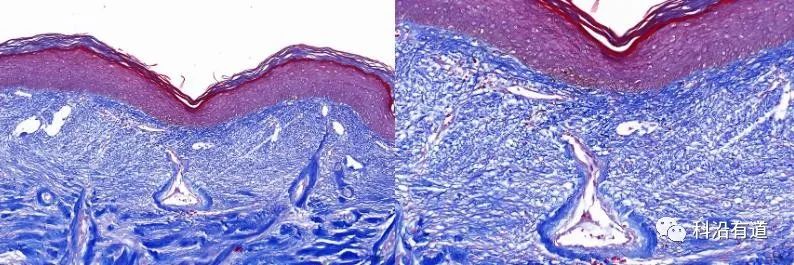
所谓三色染色通常是指染胞核和能选择性的显示胶原纤维和肌纤维。该法染色原理与阴离子染料分子的大小和组织的渗透有关:分子的大小由分子量来体现,小分子量易穿透结构致密、渗透性低的组织;而大分子量则只能进入结构疏松的、渗透性高的组织。然而,淡绿或苯胺蓝的分子量都很大,因此Masson染色后肌纤维呈红色,胶原纤维呈绿色(淡绿)或蓝色(苯胺蓝),主要用于区分胶原纤维和肌纤维。二、实验步骤:
1. 石蜡切片脱蜡至水。 2. 铬化处理或去汞盐沉淀(甲醛固定的组织此步可略)。 3. 依次自来水和蒸馏水洗。 4. 用Regaud苏 木 精染液或Weigert苏木 精液染核5-10min。 5. 充分水洗,如过染可盐酸酒精分化。 6. 蒸馏水洗。 7. 用Masson 丽春红酸性复红液5-10min。 8. 以2%冰 醋 酸水溶液浸洗片刻。 9. 1%磷钼酸水溶液分化3-5min。 10. 不经水洗,直接用苯胺蓝或光绿液染5min。 11.以0.2%冰 醋 酸 水溶液浸洗片刻。 12.95%酒精、无 水 酒精、二甲苯透明、中性树胶封固。三、结果判读:
胶原纤维、粘液、软骨呈蓝色(如光绿液染色为绿色),胞浆、肌肉、纤维素、神经胶质呈红色,胞核黑蓝色。

四、注意事项:
1.控制好染色步骤。 2.组织固定起着很重要的作用,根据不同的固定液可延长或缩短染色时间。 3.0.2%冰 醋 酸 水溶液洗,可使色调清晰鲜艳。 4.磷钼酸水溶液对丽春红、酸性复红有分化作用,分化时镜下控制, 肌纤维和纤维素呈红色,胶原纤维呈淡粉红色即可。五、常见问题解析:
1、细胞核染色过淡,与细胞质对比差。可能原因包括:①未使用铁苏 木 精进行细胞核染色,随后的丽春红酸性品红染料去除了细胞核染色;②未使用新鲜配制的铁苏 木 精,致氧化过度;③细胞核染色时间不足导致染色较弱;④复染分化差,掩盖了细胞核染色。
解决方案包括:①避免使用明矾苏 木 精;②在使用前混合等量的铁苏 木 精储备溶液,以获得较强的细胞核染色;③确定铁苏 木 精染色的最佳时间;④确保红色和蓝色复染的正确分化。 2、细胞核染色过深而模糊。可能原因包括:①铁苏 木 精过染;②铁苏 木 精染色后洗涤不足。
解决方案包括:①确定铁苏 木 精染色的最佳时间;②铁苏 木 精染色后用70%乙醇快速冲洗,然后在自来水中彻底清洗。 3、细胞质染色过浅,组织结构不明确。可能原因包括:①长时间水洗;②脱水过程中,在乙醇中停留时间过长;③甲醛固定的组织在染色前未经后固定处理;④使用陈旧的或多次使用的染色试剂;⑤组织自溶或固定延迟,导致组织结构保存不良。
解决方案包括:①缩短洗涤时间;②封固前避免在脱水溶液中长时间存放;③甲醛固定的组织在染色前应使用Bouin溶液、苦weisuan 溶液或氯 化 gong溶液预处理,以达到所需的效果;④细胞质染料溶液使用不应超过2次。 4、平滑肌纤维未染色或呈灰色而非红色。可能原因包括:①铁苏 木 精过染,或未结合的铁苏 木 精去除不充分;②使用陈旧的或多次使用的染色试剂;③甲醛固定的组织在染色前未进行预处理。
解决方案包括:①调整铁苏 木 精染色时间;②铁苏 木 精染色后使用70%乙醇和水彻底清洗;③及时更换新试剂;④甲醛固定的组织在染色前用Bouin溶液、苦weisuan溶液或氯化gong溶液进行预处理,以达到所需的效果。 5、组织结构呈现错误的染色或染色不均匀。可能原因包括:①甲醛固定的组织在染色前未经后固定;②组织分化不当;③1种或多种染色液的pH值不正确;④在乙酸溶液中清洗不当。
解决方案包括:①甲醛固定的组织在染色前应使用Bouin溶液、苦weisuan溶液或氯 化 gong溶液后固定,以达到所需的效果;②正确的分化,要求染色过程中每个步骤时间准确,避免在乙酸溶液中长时间洗涤,以防止去除所需结构上的染料;③验证染料溶液的pH值是否为2.5或更低。
风险提示:丁香通仅作为第三方平台,为商家信息发布提供平台空间。用户咨询产品时请注意保护个人信息及财产安全,合理判断,谨慎选购商品,商家和用户对交易行为负责。对于医疗器械类产品,请先查证核实企业经营资质和医疗器械产品注册证情况。
- 作者
- 内容
- 询问日期
文献和实验Masson染色,用于显示组织中纤维的染色方法之一。 试剂: Regaud 氏苏木精:苏木精1g,95%酒精10ml,甘油10ml,蒸馏水80ml。 将苏木精加入蒸馏水内加温溶解,冷却后加入酒精和甘油,放数日后即可应用。 Masson丽春红酸性复红液: 丽春红0.7g,酸性复红0.3g,蒸馏水99ml,冰醋酸1ml。
HE&尼式染色.pdf
组织形态染色 苏丹黑B染色 染色含切片 4%多聚甲醛固定,冰冻切片。对组织内脂质(如脂滴)染色 Masson染色 染色 观察组织纤维化和肌纤维的鉴别及组织纤维化程度 天狼猩红染色 染色 观察组织纤维化程度,及偏振光进行胶原亚型的分区 PAS糖原染色 染色 观察肝脏、肌肉等组织内糖原的变化; 肠胃肺支气管等杯状细胞酸性粘液物质变化 阿利新蓝染色 染色
技术资料暂无技术资料 索取技术资料










