相关产品推荐更多 >
万千商家帮你免费找货
0 人在求购买到急需产品
- 详细信息
- 文献和实验
- 技术资料
- 免疫原:
KLH conjugated synthetic peptide derived from human Adiponectin receptor 2 (315-340aa)
- 亚型:
IgG
- 形态:
Liquid
- 保存条件:
Store as concentrated solution. Centrifuge briefly prior to opening vial. For short-term storage (1-2 weeks), store at 4ºC. For long-term storage, aliquot and store at -20ºC or below. Avoid multiple freeze-thaw cycles.
- 克隆性:
Polyclonal
- 标记物:
Unconjugated
- 适应物种:
Human, Mouse, Rat
- 保质期:
12 months from the shipping date of the product.
- 抗原来源:
Human
- 目录编号:
GTX04314
- 级别:
Primary Antibodies
- 库存:
Available
- 供应商:
GeneTex
- 宿主:
Rabbit
- 应用范围:
WB, IHC-P
- 浓度:
1 mg/ml(Please refer to the vial label for the specific concentration.)
- 靶点:
Adiponectin Receptor 2
- 抗体英文名:
Adiponectin Receptor 2 antibody
- 抗体名:
Adiponectin Receptor 2 抗体
- 规格:
100μl
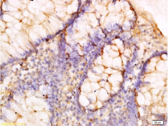
IHC-P analysis of human rectal tissue using GTX04314 Adiponectin Receptor 2 antibody.
Dilution : 1:300
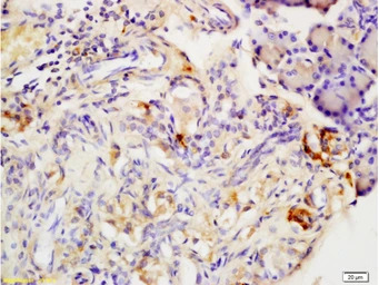
IHC-P analysis of rat pancreas tissue using GTX04314 Adiponectin Receptor 2 antibody.
Dilution : 1:200
WB analysis of various cell lysates using GTX04314 Adiponectin Receptor 2 antibody.
Lane 1 : Mouse heart tissue lysate
Lane 2 : Mouse skeletal muscle tissue lysate
Lane 3 : Rat heart tissue lysate
Lane 4 : Rat Skeletal muscle tissue lysate
Lane 5 : 293T whole cell lysate
Dilution : 1:1000
风险提示:丁香通仅作为第三方平台,为商家信息发布提供平台空间。用户咨询产品时请注意保护个人信息及财产安全,合理判断,谨慎选购商品,商家和用户对交易行为负责。对于医疗器械类产品,请先查证核实企业经营资质和医疗器械产品注册证情况。
文献和实验Aspects of CNS Lupus: Mouse Models of Anti-NMDA Receptor Antibody Mediated Reactivity
This chapter describes methods utilized in establishing a mouse model of neuropsychiatric lupus encompassing both cognitive and emotional dysfunction, and a model of the influence of maternal antibody on the developing brain. The antibody
Identification of Adipokine Receptor Agonists and Turning Them to Antagonists
organ that secretes a number of biologically active adipokines, including leptin and adiponectin. A recent discovery and design process for leptin and adiponectin receptor response modifier peptides can be generalized to a series
This work describes protocols for the production of single-chain antibody and T-cell receptor fragments inE. coli . A choice of methods is given for the purification of the recombinant fragments that rely on the use of either immunoaffinity
技术资料暂无技术资料 索取技术资料





![Mannose Receptor antibody [15-2] (PE)](https://img1.dxycdn.com/2022/0328/089/3589644901007700453-14.jpg!wh200)

![hCG beta antibody [SPM529]](https://img1.dxycdn.com/2022/0328/984/0756117284440700453-14.jpg!wh200)



