相关产品推荐更多 >
万千商家帮你免费找货
0 人在求购买到急需产品
- 详细信息
- 文献和实验
- 技术资料
- 库存:
现货
- 英文名:
S6K2 Rabbit mAb
- 保质期:
一年
- 供应商:
翌圣生物科技(上海)股份有限公司
- 保存条件:
-20度
- 规格:
50µL
该基因编码丝氨酸/苏氨酸激酶RSK(核糖体S6激酶)家族的一个成员。该激酶包含一个激酶催化结构域,磷酸化S6核糖体蛋白和真核翻译起始因子4B (eIF4B)。S6的磷酸化导致蛋白质合成和细胞增殖增加。
产品性质
| 别名 | RPS6KB2; STK14B; Ribosomal protein S6 kinase beta-2; S6K-beta-2; S6K2; 70 kDa ribosomal protein S6 kinase 2; P70S6K2; p70-S6K 2; S6 kinase-related kinase; SRK; Serine/threonine-protein kinase 14B; p70 ribosomal S6 kinase beta; S6K-beta; p70 |
| SwissProt ID | Q9UBS0 |
| 基因ID | 6199 |
| 免疫原 | Recombinant protein of human P70 S6 Kinase beta |
| 缓冲液 | 50mM Tris-Glycine(pH 7.4), 0.15M NaCl, 40% Glycerol, 0.01% Sodium azide and 0.05% BSA |
| 分子量 | Calculated MW: 53 kDa; Observed MW: 60 kDa |
| 克隆类型 | Monoclonal Antibody |
| 亚型 | IgG |
| 宿主 | Rabbit |
| 物种反应 | Human,Mouse,Rat |
| 推荐应用 | WB,IHC-F,IHC-P,ICC/IF |
| 纯化方式 | Affinity Purified |
| 细胞定位 | 细胞质,细胞核 |
| 研究领域 | 表观遗传与核信号,内分泌代谢,信号转导,细胞生物学与发育生物学,免疫学与炎症 |
应用
稀释比 WB: 1/500-1/1000;IHC: 1/50-1/100;IF: 1/50-1/200
运输与保存方法
冰袋运输,-20℃保存,1年有效期。
注意事项
- 避免反复冻融。
- 为了您的安全和健康,请穿实验服并戴一次性手套操作。
- 本产品仅作科研用途!
产品数据
| Western blot | |
![]() |
Western blot analysis of P70 S6 Kinase beta in Rat Brain, C6, HeLa lysates using P70 S6 Kinase beta antibody. |
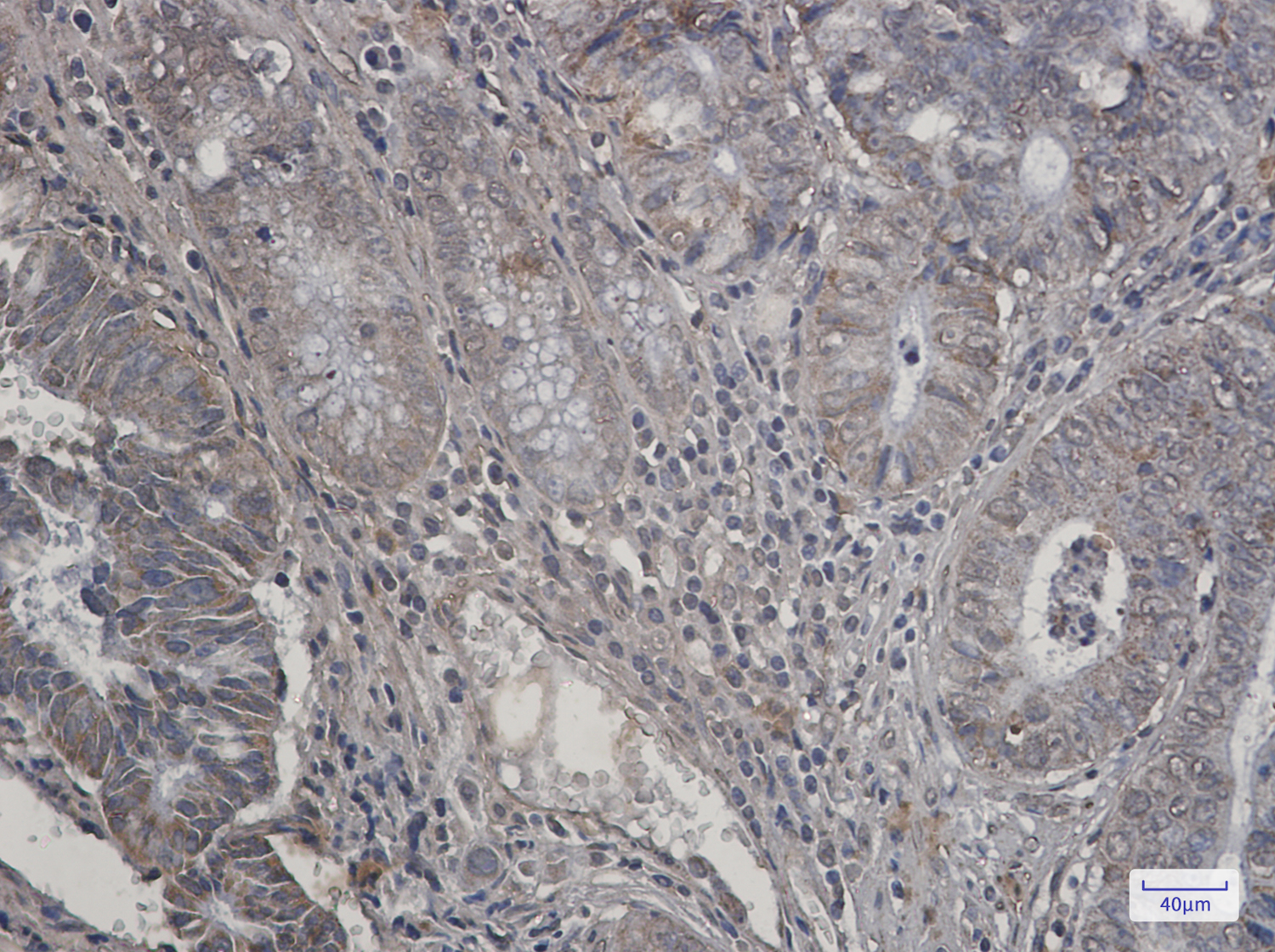
| Immunohistochemistry | |
![]() |
IHC analysis of paraffin embedded Human colon cancer tissue using P70 S6 Kinase beta antibody. High pressure and temperature Sodium Citrate pH 6.0 was used for antigen retrieval. |
应用缩写
WB:蛋白质印迹法;IHC-P:石蜡切片样本的免疫组织化学法;IHC-F:冰冻切片样本的免疫组织化学法;ICC/IF:免疫细胞荧光;
IP:免疫沉淀法;FC:流式细胞术;ChIP:染色质免疫沉淀法;ELISA:酶联免疫吸附测定。
翌圣生物产品售后保障范围仅限官网产品详情页中“推荐应用”一栏写明的实验应用,请参照上方的缩写含义,仔细对照后选择合适的产品。
HB230131
风险提示:丁香通仅作为第三方平台,为商家信息发布提供平台空间。用户咨询产品时请注意保护个人信息及财产安全,合理判断,谨慎选购商品,商家和用户对交易行为负责。对于医疗器械类产品,请先查证核实企业经营资质和医疗器械产品注册证情况。
文献和实验:使用 Anti-phospho-Akt (Ser473) Rabbit mAb 对石蜡包埋的人乳腺癌组织进行免疫组织化学分析。(图 A)使用免疫组化试剂盒M&R HRP/DAB Detection IHC Kit,抗体 1:100 稀释;(图 B) 采用普通免疫组化试剂盒,抗体 1:25 稀释。 图 6 免疫组化实验检测 Erk1/2 表达 注:使用 Anti-Erk1/2 Mouse mAb与p44/42 MAPK (Erk1/2)Rabbit mAb 对正常小鼠心脏组织进行免疫
h)即可。2. 修复大法——不仅仅是「煮一煮」微波炉修复:简单易行效果好,CST 推荐使用微波炉完成修复。合适的修复液:根据抗体说明书使用合适的修复液。用柠檬酸修复后,切片需浸泡在修复液中,自然冷却;而用 EDTA 修复后,切片可直接从修复缸中取出,直接进行下一步。注:使用不同的修复方式和不同生产商的抗体检测人肺癌组织中 EGFR 的表达。第一排为 CST 的 EGF Receptor (D38B1) XP® Rabbit mAb(#4267),EDTA 的修复方式明显优于柠檬酸盐及胃蛋白
到 PVDF 膜上,同时减少蛋白不必要降解,这对于最终获得清晰、可信结果也是需要考虑因素。抗体信息:1.ACC1, Recombinant Rabbit monoclonal IgG. HuaAn. HuaAn biotechnology , inc.2.ATGL, Mouse mAb IgG1, Cat#:RT1058. HuaAn biotechnology , inc.3.p-PERK(Thr981), Rabbit Polyclonal IgG primary antibodies, Cat
技术资料暂无技术资料 索取技术资料













