万千商家帮你免费找货
0 人在求购买到急需产品
- 详细信息
- 技术资料
- 供应商:
一研
- 库存:
36
- 靶点:
说明书
- 级别:
说明书
- 目录编号:
说明书
- 克隆性:
多克隆
- 抗原来源:
Rabbit
- 保质期:
说明书
- 抗体英文名:
PDE7B
- 抗体名:
磷酸二酯酶7B抗体
- 标记物:
Unconjugated
- 宿主:
说明书
- 适应物种:
说明书
- 免疫原:
KLH conjugated synthetic peptide derived from human PDE7B
- 亚型:
LgG
- 形态:
液体
- 应用范围:
说明书
- 保存条件:
Shipped at 4℃. Store at -20 °C for one year. Avoid repeated freeze/thaw cycles.
- 浓度:
1mg/ml
- 规格:
100ul








产品属性:
| 产品名称 | 磷酸二酯酶7B抗体 |
| 浓度 | 1mg/ml |
| 型号 | EY-01K1227 |
英文名称:PDE7B
英文别名:PDE 7B; PDE7B protein; Phosphodiesterase 7B; Phosphodiesterase7B; RNPDE7B; Rolipram insensitive phosphodiesterase type 7; bA472E5.1; cAMP specific 3 5 cyclic phosphodiesterase 7B; cAMP specific 3'5' cyclic phosphodiesterase 7B; High affinity cAMP specific 3 5 cyclic phosphodiesterase; High affinity cAMP specific 3'5' cyclic phosphodiesterase; PDE7B_HUMAN.
交叉反应: Human, Mouse, Rat, Dog, Pig, Cow, Horse, Sheep
标记: Unconjugated
抗体来源: Rabbit
抗体类型: Polyclonal
免疫原: KLH conjugated synthetic peptide derived from human PDE7B
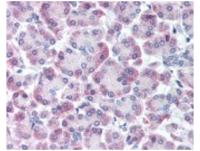
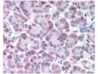
蛋白细胞定位: 细胞浆
纯化方法: affinity purified by Protein A
亚型: IgG
性状: Liquid
浓度: 1mg/ml
储存液: 0.01M TBS(pH7.4) with 1% BSA, 0.03% Proclin300 and 50% Glycerol.
保存条件: Shipped at 4℃. Store at -20 °C for one year. Avoid repeated freeze/thaw cycles.
背景资料: Phosphodiesterases (PDE, also designated cyclic nucleotide phosphodiesterase) are important for the downregulation of the intracellular level of the second messenger cyclic adenosine monophosphate (cAMP) by hydrolyzing cAMP to 5'AMP. Phosphodiesterase type 3 isoforms, PDE3A and 3B, are expressed primarily in cardiovascular tissue and adipose tissue, respectively. PDE3A, is found in myocardium and platelets and PDE3B is found in lymphocytes. The PDE7A1 (HCP1) isozyme and the PDE7A2 proteins, alternate splice products of PDE7A, are highly expressed in skeletal muscle. PDE7B is most highly expressed in pancreas. The PDE family contains proteins that serve tissue-specific roles in regulation of lipolysis, glycogenolysis, myocardial contractility, and smooth muscle relaxation.
抗体分子标记技术:
(一)原理
当应用化学氧化法时(NaI)遇强氧化剂,离子被氧化为分子,所生成的自由分子可与某些基团进行卤化反应。蛋白质分子可进行卤化反应的基团主要为酪氨酸残基,某些组氨酸残基也可能进行化。在应用胺T( Chloramine T)法的实验中,所用的氧化剂(1,3,4,6- tetrachloro-3a,6adipheny l-glucoluril)强挥发性的有机溶剂中。该溶剂加入试管后,先让其挥发(即让氧化剂将试管包被),然后把Na125I和蛋白质液加入包被好的试管中,反应完成即将混合液移入他管终止反应。
(二)准备
1.试剂
经亲和层析纯化的多克隆抗体或单克隆抗体;0.5mol/L磷酸钠缓冲液,pH7.5;无载体的Na125I3.7GBq/ml(100mCi/ml)的NaOH液;100g/L三醋酸;70%乙醇;新鲜制备的含2mg/m1络胺T的0.5mol/L磷酸钠缓冲液(pH7.5);胺T反应终止缓冲液;
2.仪器
凝胶过滤柱;¥-记数器;玻璃纤维滤。
(三)操作要点
1.用胺T法进行化,也可在大约pH7.0的缓冲液中进行;
2.如果氧化反应损伤蛋白质,可将抗体与异硫酸荧光素(FITC)偶联)胺T量减少到0.02mg/m,并将偏重亚硫酸液的浓度降到0.024mg/ml;
3. Iodogen-包被的试管可在干燥器中,于室温下保存多年;
4.1251标记的抗体,在制备后六周内均可使用(1251的半衰期为59.6天);
5.要注意保证所用的Na1251是新鲜的,陈旧制剂的比活性低;
6.酪氨酸的碘化偶尔会对抗原的抗体结合位点有干扰,因此降低其结合能力,但这种情况很少见。
抗体制备过程:
1.材料与试剂
a.提取的动物 Ig
b.弗氏完全佐剂和弗氏不完全佐剂
c.青霉素和链霉素
d.实验动物 兔
e.其它材料及试剂
2、选择实验活体。
3、进行动物免疫实验。
4、试取血样进行测试,查看免疫效果。
5、如果免疫成功,杀死实验活体,采集全部血清。
6、纯化出抗体。
7、鉴定抗体。胎牛血清(无菌采制)
Anti-DRADA/ADAR1/FITC 荧光素标记双链RNA腺苷酸脱氨基酶抗体(N端)IgGMulti-class antibodies规格: 0.2ml
Anti-Mdr-1/FITC 荧光素标记多药耐药抗体IgGMulti-class antibodies规格: 0.2ml
Rhesus antibody Rh CA II/Carbonic anhydrase 2 酶2抗体 规格 0.1ml
CFTR(cystic fibrosis transmembrane conductance regulator) 囊性纤维化跨膜转运调节抗原 0.5mg
HOXC9 同源盒HOXC9抗体 0.2ml
Rhesus antibody Rh SDHC 琥珀酸色素亚基B560抗体 规格 0.2ml
Anti-Mdr-1/FITC 荧光素标记多药耐药抗体IgGMulti-class antibodies规格: 0.2ml
SP-R ELISA Kit 大鼠P物质受体Multi-class antibodies规格: 48T
Anti-Phospho-Zap-70 (Tyr493) 磷酸化zeta相关70抗体Multi-class antibodies规格: 0.1ml
Rhesus antibody Rh FXR1 脆性X相关1抗体 规格 0.2ml
CR ELISA Kit 大鼠钙结合 96T
Neuropilin 2 神经纤毛2抗体 0.1ml
APOL5 载脂L5抗体 0.2ml
Anti-Phospho-Zap-70 (Tyr493) 磷酸化zeta相关70抗体Multi-class antibodies规格: 0.1ml
8-iso-PG(Human 8-iso prostaglandin) ELISA Kit 人8异素Multi-class antibodies规格: 48T
Anti-LHR/CGR 促黄体生成素受体抗体Multi-class antibodies规格: 0.1ml
Rhesus antibody Rh KLK4 4抗体 规格 0.1ml
PDGF-AB ELISA Kit 大鼠小板衍生生长AB 96T
Phospho-PRK1(Thr774) + PRK2 (Thr816) 磷酸化腺衍生管内皮生长抗体 0.1ml
CMG1 毛细管形态发生1抗体 0.2ml
Anti-LHR/CGR 促黄体生成素受体抗体Multi-class antibodies规格: 0.1ml
ANPEN/CD13(Aminopeptidase N) 肽酶N抗原 0.5mg
HPRG 组酸富含脯酸糖抗体 0.1ml
Rhesus antibody Rh C3orf24 3号染色体开放阅读框24抗体 规格 0.2ml
Anti-ED-1/FITC 荧光素标记外胚层抗体IgGMulti-class antibodies规格: 0.2ml
Rhesus antibody Rh SASS6 纺锤体组装异常6抗体 规格 0.2ml
Anti-Phospho-MKP1 (Ser296 + Ser318)/FITC 荧光素标记磷酸化原活化激酶磷酸酶-1抗体IgGMulti-class antibodies规格: 0.2ml
磷酸二酯酶7B抗体SP-A(Human Pulmonary surfatcant-associated protein A) ELISA Kit 人肺表面活性物质相关蛋白A规格: 48T
HP-CagA-IgG(Human Helicobacter pylori cytotoxin-associated gene A protein IgG) ELISA Kit 人幽门螺杆jun细胞毒su相关基因蛋白A-IgG规格: 48T
MUC7(Human Mucin-7) ELISA Kit 人粘蛋白/粘液su7规格: 48T
TGM2(human transglutaminase 2C polypeptide) ELISA Kit 人转谷氨酰anmei2C多肽规格: 48T
P I NP(Human procollagen I N-terminal peptide) ELISA Kit 人Ⅰ型前胶原N端前肽规格: 48T
风险提示:丁香通仅作为第三方平台,为商家信息发布提供平台空间。用户咨询产品时请注意保护个人信息及财产安全,合理判断,谨慎选购商品,商家和用户对交易行为负责。对于医疗器械类产品,请先查证核实企业经营资质和医疗器械产品注册证情况。
技术资料暂无技术资料 索取技术资料
磷酸二酯酶7B抗体
¥1080 - 3200









