万千商家帮你免费找货
0 人在求购买到急需产品
- 详细信息
- 文献和实验
- 技术资料
- 供应商:
一研
- 库存:
56
- 靶点:
说明书
- 级别:
说明书
- 目录编号:
说明书
- 克隆性:
多克隆
- 抗原来源:
Rabbit
- 保质期:
说明书
- 抗体英文名:
Paxillin
- 抗体名:
桩蛋白Paxillin抗体
- 标记物:
Unconjugated
- 宿主:
说明书
- 适应物种:
说明书
- 免疫原:
KLH conjugated synthetic peptide derived from human Paxillin
- 亚型:
LgG
- 形态:
液体
- 应用范围:
说明书
- 保存条件:
Shipped at 4℃. Store at -20 °C for one year. Avoid repeated freeze/thaw cycles.
- 浓度:
1mg/ml
- 规格:
100ul
| 产品名称 | 浓度 | 型号 |
| 桩蛋白Paxillin抗体 | 1mg/ml | EY-01K0641 |
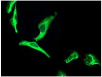
| 产品名称:桩蛋白Paxillin抗体 英文名称:Paxillin 英文别名:Paired box protein Pax 1; PAX 1; PAX1; Paxillin alpha; PXN; PXN protein; FLJ16691; FLJ23042; FLJ16691; PAXI_HUMAN; Paxillin; PXN protein. 交叉反应: Human, Mouse, Rat, Dog, Cow, Horse, Rabbit 标记: Unconjugated 抗体来源: Rabbit 抗体类型: Polyclonal 免疫原: KLH conjugated synthetic peptide derived from human Paxillin 蛋白细胞定位: 细胞浆,细胞膜 纯化方法: affinity purified by Protein A 亚型: IgG 性状: Liquid 浓度: 1mg/ml 储存液: 0.01M TBS(pH7.4) with 1% BSA, 0.03% Proclin300 and 50% Glycerol. 保存条件: Shipped at 4℃. Store at -20 °C for one year. Avoid repeated freeze/thaw cycles. 背景资料: This gene encodes a cytoskeletal protein involved in actin-membrane attachment at sites of cell adhesion to the extracellular matrix (focal adhesion). Alternatively spliced transcript variants encoding different isoforms have been described for this gene. These isoforms exhibit different expression pattern, and have different biochemical, as well as physiological properties (PMID:9054445). [provided by RefSeq, Aug 2011] |




一、准备好试剂与仪器:
磷酸盐缓冲盐水、荧光标记的抗体溶液、缓冲甘油、搪瓷桶三只、有盖搪瓷盒一只、荧光显微镜、玻片架、滤纸、37℃温箱等。
二、实验步骤
1.滴加0.01mol/L,pH7.4的PBS于待检标本片上,十分钟后弃去,使标本保持一定湿度。
2.滴加适当稀释的荧光标记的抗体溶液,使其完全覆盖标本,置于有盖搪瓷盒内,保温一定时间以三十分钟为参考。
3.取出玻片,置玻片架上,先用0.01mol/L,pH7.4的PBS冲洗后,再按顺序过0.01mol/L,pH7.4的PBS三缸浸泡,每缸三到五分钟,并不停地摇晃振荡。
4.取出玻片,用滤纸吸去多余水分,但不使标本干燥,加一滴缓冲甘油,以盖玻片覆盖。
5.立即用荧光显微镜观察。观察标本的特异性荧光强度。
抗体的生活习性:
(1)结合特异性抗原:抗体与其他免疫球蛋白分子区别,就在于抗体能与相应抗原发生特异性结合,在体内导致生理或病理效应;在体外产生各种直接或间接的可见的抗原抗体结合反应。抗体是靠其分子上的特殊的结合部位与抗原结合的。
(2)激活补体:抗体与相应抗原结合后,借助暴露的补体结合点去激活补体系统、激发补体的溶菌、溶细胞等免疫作用。
(3)结合细胞:不同类别的免疫球蛋白,可结合不同种的细胞,产生不同的疚,参与免疫应答。
(4)可通过胎盘及粘膜:免疫球蛋白G(IgG)能通过胎盘进入胎儿血流中,使胎儿形成自然被动免疫。免疫球蛋白A(IgA)可通过消化道及呼吸道粘膜,是粘膜局部抗感染免疫的主要因素。
(5)具有抗原性:抗体分子是一种蛋白质,也具有刺激机体产生免疫应答的性能。不同的免疫球蛋白分子,各具有不同的抗原性。
(6)抗体对理化因子的抵抗力与一般球蛋白相同:不耐热,60~70℃即被破坏。各种酶及能使蛋白质凝固变性的物质,均能破坏抗体的作用。抗体可被中性盐类沉淀。在上常可用硫酸铵或硫酸钠从免疫血清中沉淀出含有抗体的球蛋白,再经透析法将其纯化。
Anti-Bax(phospho Ser184) /FITC 荧光素标记兔抗人、大、小鼠等磷酸化Bax抗体IgGMulti-class antibodies规格: 0.2ml
Anti-GFR Alpha-1/GDNF /FITC 荧光素标记GDNF家族受体α-1抗体IgGMulti-class antibodies规格: 0.2ml
Rhesus antibody Rh CKLFSF2/CMTM2 趋化素样超家族成员2抗体 规格 0.2ml
ER-alpha 雌激素受体alpha 0.5mg
Insulin Receptor 胰岛素受体抗体 0.1ml
Rhesus antibody Rh TRAP220/MED1 甲状腺受体相关220抗体 规格 0.2ml
Anti-GFR Alpha-1/GDNF /FITC 荧光素标记GDNF家族受体α-1抗体IgGMulti-class antibodies规格: 0.2ml
MCT(Human mast cell tryptase) ELISA Kit 人肥大类Multi-class antibodies规格: 48T
Anti-Phospho-NMDAR2A (Tyr1246) 磷酸化受体2A抗体Multi-class antibodies规格: 0.1ml
Rhesus antibody Rh IGFBP2 胰岛素样生长结合2抗体 规格 0.1ml
VE ELISA Kit 大鼠E 96T
PKA regulatory subunit I beta 激酶受体相关1β抗体 0.2ml
CDK6 周期素依赖性激酶6抗体 0.1ml
Anti-Phospho-NMDAR2A (Tyr1246) 磷酸化受体2A抗体Multi-class antibodies规格: 0.1ml
Anti-CD33L/OBBP1/FITC 荧光素标记兔CD33L抗体IgGMulti-class antibodies规格: 0.2ml
Anti-HSP-27/FITC 荧光素标记HSP-27抗体IgGMulti-class antibodies规格: 0.2ml
Rhesus antibody Rh CD83/HB15 CD83抗体 规格 0.2ml
PEPT2 (Peptide-transporters 2) 肠道肽转运2/小肽转运2抗原 0.5mg
phospho-IKK beta(Tyr188) 磷酸化KB抑制激酶β抗体 0.1ml
Rhesus antibody Rh TBX1/Brachyury 先心相关TBX1抗体 规格 0.2ml
Anti-HSP-27/FITC 荧光素标记HSP-27抗体IgGMulti-class antibodies规格: 0.2ml
Neurocan 神经粘抗原 0.5mg
ICAM5 间粘附分子5抗体 0.1ml
Rhesus antibody Rh CD337/NKp30/NCR3 毒性受体NK-p30抗体 规格 0.1ml
Anti-VE-cadherin/CD/VECD/FITC 荧光素标记上皮型钙粘附分子/管内皮钙粘抗体IgGMulti-class antibodies规格: 0.2ml
Rhesus antibody Rh SUMO 1 类泛素抗体 规格 0.1ml
Anti-IL-2R Gamma/FITC 荧光素标记白介素2受体γ链抗体IgGMulti-class antibodies规格: 0.2ml
桩蛋白Paxillin抗体鸡钙粘蛋白相关的神经受体1(CNR-1)酶联免疫试剂盒 Anti-VPS4B AntibodyAlexa Fluor 488标记的兔抗小鼠IgM
鸡细丝蛋白A(FLNα)酶联免疫试剂盒Anti-VRL1/TRPV2 AntibodyCy3标记的兔抗小鼠IgM
鸡磷酸肌-3-激酶催化亚基β肽(PIK3Cβ)酶联免疫试剂盒Anti-VIPR1 AntibodyFITC标记的兔抗小鼠IgM
鸡紧张素II (ANG II)酶联免疫试剂盒 Anti-VNN1 Antibody罗丹明标记的兔抗小鼠IgM
鸡Dickkopf相关蛋白1 (DKK1)酶联免疫试剂盒Anti-VPS4A Antibody罗丹明标记的兔抗小鼠k链
鸡补体因子D(CFD)酶联免疫试剂盒 Anti-VSX2 Antibody碱性磷酸酶(AP)标记的兔抗小鼠k链
鸡葡萄糖6磷酸异构酶(GPI)酶联免疫试剂盒 Anti-VRK1 AntibodyFITC标记的兔抗小鼠k链
实验原理 :
(1)特异性结合抗原:抗体本身不能直接溶解或杀伤带有特异抗原的靶细胞,通常需要补体或吞噬细胞等共同发挥效应以清除病原微生物或导致病理损伤。然而,抗体可通过与病毒或毒素的特异性结合,直接发挥中和病毒的作用。
(2)活补体:IgM、IgG1、IgG2和IgG3可通过经典途径激活补体,凝聚的IgA、IgG4和IgE可通过替代途径激活补体。
(3)结合细胞:不同类别的免疫球蛋白,可结合不同种的细胞,参与免疫应答。
(4)可通过胎盘及粘膜:免疫球蛋白G(IgG)能通过胎盘进入胎儿血流中,使胎儿形成自然被动免疫。免疫球蛋白A(IgA)可通过消化道及呼吸道粘膜,是粘膜局部抗感染免疫的主要因素。
(5)具有抗原性:抗体分子是一种蛋白质,也具有刺机体产生免疫应答的性能。不同的免疫球蛋白分子,各具有不同的抗原性。
(6)抗体对理化因子的抵抗力与一般球蛋白相同:不耐热,60~70℃即被破坏。各种酶及能使蛋白质凝固变性的物质,均能破坏抗体的作用。抗体可被中性盐类沉淀。在上常可用硫酸铵或硫酸钠从免疫血清中沉淀出含有抗体的球蛋白,再经透析法将其纯化。
风险提示:丁香通仅作为第三方平台,为商家信息发布提供平台空间。用户咨询产品时请注意保护个人信息及财产安全,合理判断,谨慎选购商品,商家和用户对交易行为负责。对于医疗器械类产品,请先查证核实企业经营资质和医疗器械产品注册证情况。
文献和实验【求助】谁有兔抗Paxillin和鼠抗phorsphotyrosine
kelvin12 请问各位同行谁有多余的兔抗Paxillin和鼠抗phorsphotyrosine,能否相赠?谢谢! iammonkey kelvin12战友:你知道paxillin磷酸化的阻断剂是什么吗?正做相关东西,刚接触不太明白! 磷酸化抗体 我公司有现货,具体如下: IBN4001 e-Acetylated Lysine Antibody IBN4006 e
patrogenesis|孤雄生殖 pattern|[特征序列]模式 patulin|展青霉素 Pauli exclusion principle|泡利不相容原理 pauperization|杂交弱势 paxillin|桩蛋白[见于粘着斑,被栓在膜上] pea enation mosaic virus|豌豆耳突花叶病毒 pectamycin|密旋霉素
祝贺〖雅裕睿安〗成为Signalway Antibody(SAB)独家
祝贺〖上海雅裕 〗成为 Signalway Antibody 品牌 (SAB) 的独家总代理。 促销【 ABCD 】细则如下: 【 A 】 买两支 SAB 抗体免费获得 8G 优盘 活动时间:即日起,至 2011 年
技术资料暂无技术资料 索取技术资料









